THY1 Recombinant Monoclonal Antibody
-
中文名稱:THY1 Recombinant Monoclonal Antibody
-
貨號:CSB-RA151335A0HU
-
規格:¥1320
-
圖片:
-
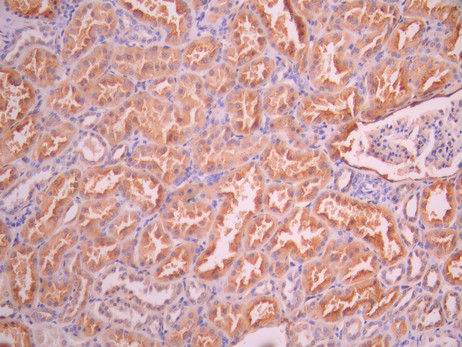
IHC image of CSB-RA151335A0HU diluted at 1:100 and staining in paraffin-embedded human kidney tissue performed on a Leica BondTM system. After dewaxing and hydration, antigen retrieval was mediated by high pressure in a citrate buffer (pH 6.0). Section was blocked with 10% normal goat serum 30min at RT. Then primary antibody (1% BSA) was incubated at 4°C overnight. The primary is detected by a Goat anti-rabbit polymer IgG labeled by HRP and visualized using 0.05% DAB.
-
-
其他:
產品詳情
-
Uniprot No.:
-
基因名:
-
別名:CD7 antibody; CD90 antibody; CD90 antigen antibody; CDw90 antibody; FLJ33325 antibody; MGC128895 antibody; T25 antibody; Theta antigen antibody; Thy 1 antibody; Thy 1 cell surface antigen antibody; Thy 1 membrane glycoprotein antibody; Thy 1 T cell antigen antibody; Thy 1.2 antibody; Thy-1 antigen antibody; Thy-1 membrane glycoprotein antibody; Thy1 antibody; Thy1 antigen antibody; Thy1 T cell antigen antibody; Thy1.1 antibody; Thy1.2 antibody; THY1_HUMAN antibody; Thymus cell antigen 1, theta antibody
-
反應種屬:Human
-
免疫原:A synthesized peptide from human THY1 protein
-
免疫原種屬:Homo sapiens (Human)
-
標記方式:Non-conjugated
-
克隆類型:Monoclonal
-
抗體亞型:Rabbit IgG
-
純化方式:Affinity-chromatography
-
克隆號:15B3
-
濃度:It differs from different batches. Please contact us to confirm it.
-
保存緩沖液:Rabbit IgG in 10mM phosphate buffered saline , pH 7.4, 150mM sodium chloride, 0.05% BSA, 0.02% sodium azide and 50% glycerol.
-
產品提供形式:Liquid
-
應用范圍:ELISA, IHC
-
推薦稀釋比:
Application Recommended Dilution IHC 1:50-1:200 -
Protocols:
-
儲存條件:Upon receipt, store at -20°C or -80°C. Avoid repeated freeze.
-
貨期:Basically, we can dispatch the products out in 1-3 working days after receiving your orders. Delivery time maybe differs from different purchasing way or location, please kindly consult your local distributors for specific delivery time.
-
用途:For Research Use Only. Not for use in diagnostic or therapeutic procedures.
相關產品
靶點詳情
-
功能:May play a role in cell-cell or cell-ligand interactions during synaptogenesis and other events in the brain.
-
基因功能參考文獻:
- High CD90 expression is associated with lymph node metastasis in intrahepatic cholangiocarcinoma. PMID: 30196535
- Data indicate that CD90 is an actor of glioblastoma (GBM) invasiveness through SRC-dependent mechanisms. PMID: 28939749
- Results show that CD90 distinguishes two interrelated, yet functionally distinct pericyte populations in the adult human brain that may have discrete roles in neurovascular function, immune response and scar formation. PMID: 27215737
- number of Thy-1(+) human peritoneal fibroblasts increased significantly in peritoneal dialysis patients PMID: 28724609
- CD90, CD166, and GD2 were identified as potential cancer stem cell markers. PMID: 27049037
- hese results suggest that LNGFR(+)THY-1(+) cells identified following NCLC induction from ESCs/iPSCs shared similar potentials with multipotent MSCs. PMID: 27178356
- High THY1 expression is associated with lung cancer. PMID: 27513329
- co-expression of CD90 and CD24 may have an important role in the development and progression of pancreatic intraepithelial neoplasia. PMID: 27332878
- Low CD90 expression is associated with ovarian cancer. PMID: 27633757
- Positive Thy1 and CD49f expression is significantly associated with the progression and poor prognosis of chondrosarcoma. PMID: 27155928
- CD90 could be used as a potential biomarker for Hepatocellular Carcinoma liver cancer stem cells, and cancer stem cell activity was elevated through up activated Notch pathway in CD90+ liver cancer stem cells. PMID: 26848615
- CD90 controls the differentiation of mesenchymal stromal cells by acting as an obstacle in the pathway of differentiation commitment. PMID: 27465541
- CD105+/CD90+ subpopulation from breast cancer MDA-MB-231 cells possesses "mesenchymal stem cell-like" characteristics, and its high migratory ability might be associated with epithelial-mesenchymal transformation. PMID: 26191205
- we found that THY-1 mediates human cytomegalovirus infection at the entry step and is important for infection PMID: 26147640
- CD90+ liver cancer cells modulate endothelial cell phenotype through the release of exosomes containing H19 lncRNA. PMID: 26272696
- CD90 could serve as a promising marker for pancreatic adenocarcinoma. PMID: 25536077
- Dynamic catch of a Thy-1-integrin alpha5beta1+syndecan-4 trimolecular complex explains extraordinary cancer cell adhesion to the vascular endothelium. PMID: 25216363
- these data suggest that CD90+CXCR4+ HCC cells may be CTSCs and selective elimination of these cells may substantially improve the current hepatocellular carcinoma therapy by reducing cancer metastasis. PMID: 25672610
- CD133, CD44, and CD90 could be used as prognostic and predictive markers in hepatoblastoma. PMID: 25168019
- Wnt/beta-catenin aids in regulating the proliferation of hepG2 cells mediated by thy-1. PMID: 25061736
- THY1 may be a promising novel prognostic marker for male breast cancer. PMID: 24194916
- We found that the vast majority of CD90(+) dermal cells are perivascularly located and generate a significantly higher percentage of regulatory T cells compared with cells expressing markers such as CD271 in vitro. PMID: 25050599
- TLR4 activation enhances the PD-L1-mediated tolerogenic capacity of colonic CD90+ stromal cells. PMID: 25070848
- In the present study we analyzed the expression of four cell surface antigens relevant to human hematopoiesis-CD90, CD96, CD117, and CD123-in bone marrow from pediatric acute myeloid leukemia patients and normal control subjects. PMID: 24751333
- Results indicate the importance of CD90 in the hepatocellular carcinoma (HCC). PMID: 24116172
- These findings suggest that CD90 could be a potential marker of lung cancer stem cells and thus provide new insight into further therapeutic strategies of lung cancer. PMID: 24101104
- CD90 is a diagnostic marker to differentiate between malignant pleural mesothelioma and lung carcinoma with immunohistochemistry. PMID: 24045552
- These results indicate that suppression of the RhoA-mediated pathway might participate in the Thy-1-induced migration inhibition in human umbilical vein endothelial cells. PMID: 23613866
- Positive correlation of Oct4 and ABCG2 to chemotherapeutic resistance in CD90(+)CD133(+) liver cancer stem cells. PMID: 23438193
- High CD90 tumor-initiating cell population is associated with an aggressive signature and metastatic capacity in esophageal cancer. PMID: 23382045
- We demonstrated that the expression of CSC marker CD90 is related to the expression of BORIS in hepatocellular carcinoma (HCC) tissue and HCC cell lines. PMID: 23237599
- Thy-1 contributes to metastasis of melanoma cells by mechanisms involving a Thy-1-mediated adhesion of melanoma cells to endothelial cells. PMID: 23159525
- concentrations were increased in the sera of systemic sclerosis patients, particularly in those with vascular involvement of the lungs PMID: 22807289
- an increased chondrogenic potential within the CD90+ fraction of human and canine synovial fluid mesenchymal progenitor cells PMID: 22952721
- The researchers demonstrate the role of CD90 as a marker of cancer stem cells within high-grade gliomas PMID: 22426060
- CD90 is not only a potential prognostic marker for high-grade gliomas but also a marker for cancer stem cells within gliomas PMID: 22203689
- human CD90 identifies a subset of Th17 and Tc17 cells within CD4(+) and CD8(+) T cells, respectively, which are depleted during HIV infection PMID: 22184726
- binding of leukocytes to activated endothelium mediated by the interaction of CD97 with Thy-1 is involved in firm adhesion of polymorphonuclear cells during inflammation and may play a role in the regulation of leukocyte trafficking to inflammatory sites. PMID: 22210915
- Data show that a cell population with the CD90 phenotype is enriched in sphere-cultured cells from gastric primary tumors. PMID: 21743497
- overexpression of Thy1 may not suppress the development of hepatocellular carcinoma(HCC) Thy1 could provide a clinical prognostic marker for HC PMID: 21272924
- Loss of Thy-1 in human lung fibroblasts induces a fibrogenic phenotype. PMID: 21577212
- we have identified a stromal cell type (CD90+ fibroblasts) and a molecule (CD90) that distinguishes cancer-associated stroma from 'benign' stroma in the prostate PMID: 20562849
- The decreased level of THY1 expression may be related with the occurrence and development of ovarian serous cystadenocarcinoma. PMID: 19538887
- Down-regulated/loss expression of THY1 protein in epithelial ovarian cancer is significantly correlated with cancer cell proliferation and metastasis in the epithelial ovarian cancer. PMID: 19615261
- Thy-1-integrin alpha(v)beta(5) interactions inhibit contraction-induced latent TGF-beta1 activation, presumably by blocking the binding of extracellular matrix-bound latent TGF-beta1 with integrin alpha(v)beta(5). PMID: 20463011
- Loss of expression of THY1 is associated with nasopharyngeal carcinoma. PMID: 19921696
- the distribution and proportion of CD90 positive cells in thyroid associated ophthalmopathy (TAO) and normal orbital tissue PMID: 17243294
- down-regulated KLF4, CHGA,GPX3, SST and LIPF, together with up-regulated SERPINH1, THY1 and INHBA is an 8-gene signature for gastric cancer PMID: 20043075
- Review article on CD90 structure and function. PMID: 11860231
- Thy-1/Thy-1 ligand interaction may play a role in adhesion of melanoma cells to endothelial cells PMID: 12074634
顯示更多
收起更多
-
亞細胞定位:Cell membrane; Lipid-anchor, GPI-anchor.
-
數據庫鏈接:
Most popular with customers
-
-
YWHAB Recombinant Monoclonal Antibody
Applications: ELISA, WB, IHC, IF, FC
Species Reactivity: Human, Mouse, Rat
-
Phospho-YAP1 (S127) Recombinant Monoclonal Antibody
Applications: ELISA, WB, IHC
Species Reactivity: Human
-
-
-
-
-















