SCP2 Recombinant Monoclonal Antibody
-
中文名稱:SCP2 Recombinant Monoclonal Antibody
-
貨號:CSB-RA286943A0HU
-
規格:¥1320
-
圖片:
-
Western Blot
Positive WB detected in: A431 whole cell lysate(30μg), THP-1 whole cell lysate(30μg), HEK293 whole cell lysate(30μg), NIH/3T3 whole cell lysate(30μg)
All lanes:Sterol carrier protein 2 antibody at 1:1000
Secondary
Goat polyclonal to rabbit IgG at 1/40000 dilution
Predicted band size: 59 kDa
Observed band size: 59 kDa
Exposure time:1min -
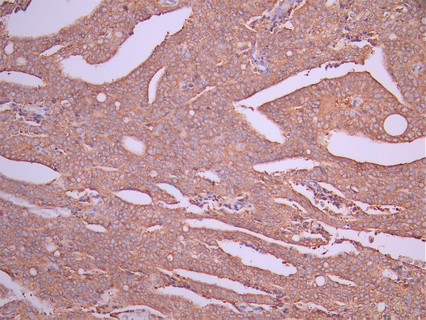
IHC image of CSB-RA286943A0HU diluted at 1:100 and staining in paraffin-embedded human liver tissue performed on a Leica BondTM system. After dewaxing and hydration, antigen retrieval was mediated by high pressure in a citrate buffer (pH 6.0). Section was blocked with 10% normal goat serum 30min at RT. Then primary antibody (1% BSA) was incubated at 4°C overnight. The primary is detected by a Goat anti-rabbit polymer IgG labeled by HRP and visualized using 0.05% DAB.
-
IHC image of CSB-RA286943A0HU diluted at 1:100 and staining in paraffin-embedded human prostate cancer performed on a Leica BondTM system. After dewaxing and hydration, antigen retrieval was mediated by high pressure in a citrate buffer (pH 6.0). Section was blocked with 10% normal goat serum 30min at RT. Then primary antibody (1% BSA) was incubated at 4°C overnight. The primary is detected by a Goat anti-rabbit polymer IgG labeled by HRP and visualized using 0.05% DAB.
-
Immunofluorescence staining of HepG2 cell with CSB-RA286943A0HU at 1:50 , counter-stained with DAPI. The cells were fixed in 4% formaldehyde, permeabilized using 0.2% Triton X-100 and blocked in 10% normal Goat Serum. The cells were then incubated with the antibody overnight at 4°C. The secondary antibody was Alexa Fluor 488-congugated AffiniPure Goat Anti-Rabbit IgG(H+L).
-
Overlay Peak curve showing MCF-7 cells stained with CSB-RA286943A0HU (red line) at 1:100. The cells were fixed in 4% formaldehyde and permeated by 0.2% TritonX-100 for 10min. Then 10% normal goat serum to block non-specific protein-protein interactions followed by the antibody (1ug/1*106cells) for 45min at 4℃. The secondary antibody used was FITC-conjugated goat anti-rabbit IgG (H+L) at 1/200 dilution for 35min at 4℃.Control antibody (green line) was Rabbit IgG (1ug/1*106cells) used under the same conditions. Acquisition of >10, 000 events was performed.
-
-
其他:
產品詳情
-
Uniprot No.:
-
基因名:
-
別名:DKFZp686C12188 antibody; DKFZp686D11188 antibody; NLTP antibody; NLTP_HUMAN antibody; Non-specific lipid-transfer protein antibody; Nonspecific lipid transfer protein antibody; NSL TP antibody; NSL-TP antibody; OTTHUMP00000010488 antibody; OTTHUMP00000231766 antibody; OTTHUMP00000231767 antibody; OTTHUMP00000231768 antibody; OTTHUMP00000231769 antibody; OTTHUMP00000231770 antibody; OTTHUMP00000231772 antibody; OTTHUMP00000231773 antibody; OTTHUMP00000231774 antibody; OTTHUMP00000231776 antibody; OTTHUMP00000234662 antibody; Propanoyl CoA C acyltransferase antibody; Propanoyl-CoA C-acyltransferase antibody; SCP 2 antibody; SCP chi antibody; SCP X antibody; SCP-2 antibody; SCP-chi antibody; SCP-X antibody; SCP2 antibody; SCPchi antibody; SCPX antibody; Sterol carrier protein 2 antibody; Sterol carrier protein X antibody
-
反應種屬:Human, Mouse
-
免疫原:A synthesized peptide from human SCP2 protein
-
免疫原種屬:Homo sapiens (Human)
-
標記方式:Non-conjugated
-
克隆類型:Monoclonal
-
抗體亞型:Rabbit IgG
-
純化方式:Affinity-chromatography
-
克隆號:11E6
-
濃度:It differs from different batches. Please contact us to confirm it.
-
保存緩沖液:Rabbit IgG in 10mM phosphate buffered saline , pH 7.4, 150mM sodium chloride, 0.05% BSA, 0.02% sodium azide and 50% glycerol.
-
產品提供形式:Liquid
-
應用范圍:ELISA, WB, IHC, IF, FC
-
推薦稀釋比:
Application Recommended Dilution WB 1:500-1:5000 IHC 1:50-1:200 IF 1:50-1:200 FC 1:50-1:200 -
Protocols:
-
儲存條件:Upon receipt, store at -20°C or -80°C. Avoid repeated freeze.
-
貨期:Basically, we can dispatch the products out in 1-3 working days after receiving your orders. Delivery time maybe differs from different purchasing way or location, please kindly consult your local distributors for specific delivery time.
-
用途:For Research Use Only. Not for use in diagnostic or therapeutic procedures.
相關產品
靶點詳情
-
功能:Plays a crucial role in the peroxisomal oxidation of branched-chain fatty acids. Catalyzes the last step of the peroxisomal beta-oxidation of branched chain fatty acids and the side chain of the bile acid intermediates di- and trihydroxycoprostanic acids (DHCA and THCA). Also active with medium and long straight chain 3-oxoacyl-CoAs. Stimulates the microsomal conversion of 7-dehydrocholesterol to cholesterol and transfers phosphatidylcholine and 7-dehydrocholesterol between membrances, in vitro. Isoforms SCP2 and SCPx cooperate in peroxisomal oxidation of certain naturally occurring tetramethyl-branched fatty acyl-CoAs.; Mediates the transfer of all common phospholipids, cholesterol and gangliosides from the endoplasmic reticulum to the plasma membrane. May play a role in regulating steroidogenesis. Stimulates the microsomal conversion of 7-dehydrocholesterol to cholesterol. Also binds fatty acids and fatty acyl Coenzyme A (CoA) such as phytanoyl-CoA. Involved in the regulation phospholipid synthesis in endoplasmic reticulum enhancing the incorporation of exogenous fatty acid into glycerides. Seems to stimulate the rate-limiting step in phosphatidic acid formation mediated by GPAT3. Isoforms SCP2 and SCPx cooperate in peroxisomal oxidation of certain naturally occurring tetramethyl-branched fatty acyl-CoAs.
-
基因功能參考文獻:
- We (1) analyzed the structural basis of the fold and the classification of SCP2 domains; (2) identified structure-determined sequence features; (3) compared the lipid binding cavity of SCP2 and other lipid binding proteins; (4) surveyed proposed mechanisms of SCP2 mediated lipid transfer between membranes; and (5) uncovered a possible new function of the SCP2 domain as a protein-protein recognition device. PMID: 28284963
- imported protein sterol carrier protein 2 (SCP2) occupies only a subregion of larger peroxisomes, highlighting the heterogeneous distribution of proteins even within the peroxisome. PMID: 27311714
- Mice harboring a deletion of the Scp2 locus present a modulated diurnal accumulation of lipids in the liver and a perturbed activation of several signaling pathways including PPARalpha, SREBP, LRH-1, TORC1 and its upstream regulators. PMID: 27097688
- We conclude that SCP-2 is a low affinity binding protein for arachidonylethanolamine that can facilitate its cellular uptake but does not contribute significantly to intracellular sequestration of AEA. PMID: 24510313
- cellular SCP-2 not only binds and translocates cholesterol but also cholesterol hydroperoxides, thus expanding their redox toxicity and signaling ranges under oxidative stress conditions PMID: 20656919
- Statistical analysis indicated that six genes, NFATC2, SCP2, CACNA1C, TCRA, POLE, and FAM3D, were associated with narcolepsy. PMID: 20677014
- data for the first time showed that while the N-terminal membrane binding domain of SCP(2) was itself inactive in mediating intermembrane sterol transfer, it nevertheless potentiated the ability of SCP(2) to enhance sterol transfer PMID: 12356316
- plays a hitherto unrecognized role in intracellular phosphatidylinositol transfer, distribution, and signaling PMID: 12641450
- SCP2 in the cellular defense against oxidative damage and found that a fluorescent fatty acid analog bound to SCP2 is protected against H2O2/Cu2+-induced oxidative damage PMID: 14563822
- Overexpression of human SCP-2 in murine fibroblasts significantly alters the sterol dynamics of caveolae/lipid rafts, but not nonlipid raft domains, to facilitate retention of cholesterol within the cell. PMID: 14661971
- By trafficking cholesterol hydroperoxides and phospholipid hydroperoxides in addition to parent lipids, SCP2 may exacerbate cell injury under oxidative stress conditions PMID: 15449949
- Long chain fatty acyl-coenzyme A (CoA)s are confirmed to be high affinity ligands for SCP2, while long chain fatty acyl-carnitines are demonstrated for the first time not to interact with SCP2. PMID: 17418802
- the importance of the N-terminal presequence in regulating SCP-2 structure, cholesterol localization within the ligand binding site, membrane association, and, potentially, intracellular targeting PMID: 18465878
- Results describe the dynamical effect of sterol carrier protein-2 (SCP-2) interacting between aqueous dispersions of dehydroergosterol monohydrate microcrystal donors and acceptors. PMID: 19020914
顯示更多
收起更多
-
相關疾病:Leukoencephalopathy with dystonia and motor neuropathy (LKDMN)
-
亞細胞定位:[Isoform SCP2]: Peroxisome. Cytoplasm. Mitochondrion. Endoplasmic reticulum. Mitochondrion.; [Isoform SCPx]: Peroxisome.
-
蛋白家族:Thiolase family
-
組織特異性:Liver, fibroblasts, and placenta.
-
數據庫鏈接:
Most popular with customers
-
-
YWHAB Recombinant Monoclonal Antibody
Applications: ELISA, WB, IHC, IF, FC
Species Reactivity: Human, Mouse, Rat
-
Phospho-YAP1 (S127) Recombinant Monoclonal Antibody
Applications: ELISA, WB, IHC
Species Reactivity: Human
-
-
-
-
-















