PRKDC Recombinant Monoclonal Antibody
-
中文名稱:PRKDC Recombinant Monoclonal Antibody
-
貨號:CSB-RA069489A0HU
-
規格:¥1320
-
圖片:
-
Flow cytometric analysis of DNA PKcs expression in HepG2 cells using DNA PKcs antibody. Green, isotype control; red, DNA PKcs.
-
Immunocytochemical staining of HepG2 cells with DNA PKcs antibody. Nuclei were stained blue with DAPI; DNA PKcs was stained magenta with Alexa Fluor? 647. Images were taken using Leica stellaris 5. Protein abundance based on laser Intensity and smart gain: Medium. Scale bar, 20 μm.
-
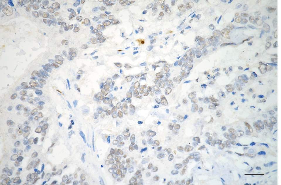
Immunohistochemistry was performed on paraffin-embedded human sigmoid colon carcinoma using DNA PKcs antibody. Antigen retrieval was done in sodium citrate buffer (pH 6.0). DAB was used for detection, with hematoxylin counterstaining. Images were acquired using a Nikon Ci-L Plus microscope (40× objective). Scale bar: 25 μm.
-
Western blotting analysis using DNA PKcs antibody. Total cell lysates (30 μg) from various cell lines were loaded and separated by SDS-PAGE. The blot was incubated with DNA PKcs antibody and HRP-conjugated goat anti-rabbit secondary antibody respectively.
-
-
其他:
產品詳情
-
Uniprot No.:
-
基因名:
-
別名:PRKDC; Protein Kinase, DNA-Activated, Catalytic Subunit; DNPK1; P460; DNA-Dependent Protein Kinase Catalytic Subunit; DNA-PKcs; DNA-PKC; DNAPK; XRCC7; HYRC1; P350; HYRC; Protein Kinase, DNA-Activated, Catalytic Polypeptide; DNA-PK Catalytic Subunit; EC 2.7.11.1; DNAPKc; Hyper-Radiosensitivity Of Murine Scid Mutation, Complementing 1; DNA-PKCS; DNAPKC; IMD26
-
反應種屬:Human
-
免疫原:Recombinant Human PRKDC protein
-
免疫原種屬:Homo sapiens (Human)
-
標記方式:Non-conjugated
-
克隆類型:Monoclonal
-
抗體亞型:Rabbit IgG
-
純化方式:Affinity-chromatography
-
克隆號:9D7
-
濃度:It differs from different batches. Please contact us to confirm it.
-
保存緩沖液:Rabbit IgG in PBS (pH 7.4) containing 50% glycerol, and 0.02% sodium azide.
-
產品提供形式:Liquid
-
應用范圍:ELISA, WB, FC, ICC, IHC
-
推薦稀釋比:
Application Recommended Dilution WB 1:1000-1:5000 FC 1:200-1:2000 ICC 1:100-1:1000 IHC 1:100-1:200 -
Protocols:
-
儲存條件:Upon receipt, store at -20°C or -80°C. Avoid repeated freeze.
-
貨期:Basically, we can dispatch the products out in 1-3 working days after receiving your orders. Delivery time maybe differs from different purchasing way or location, please kindly consult your local distributors for specific delivery time.
-
用途:For Research Use Only. Not for use in diagnostic or therapeutic procedures.
相關產品
靶點詳情
-
功能:Serine/threonine-protein kinase that acts as a molecular sensor for DNA damage. Involved in DNA non-homologous end joining (NHEJ) required for double-strand break (DSB) repair and V(D)J recombination. Must be bound to DNA to express its catalytic properties. Promotes processing of hairpin DNA structures in V(D)J recombination by activation of the hairpin endonuclease artemis (DCLRE1C). Recruited by XRCC5 and XRCC6 to DNA ends and is required to (1) protect and align broken ends of DNA, thereby preventing their degradation, (2) and sequester the DSB for repair by NHEJ. Act as a scaffold protein to aid the localization of DNA repair proteins to the site of damage. The assembly of the DNA-PK complex at DNA ends is also required for the NHEJ ligation step. Found at the ends of chromosomes, suggesting a further role in the maintenance of telomeric stability and the prevention of chromosomal end fusion. Also involved in modulation of transcription. As part of the DNA-PK complex, involved in the early steps of ribosome assembly by promoting the processing of precursor rRNA into mature 18S rRNA in the small-subunit processome. Binding to U3 small nucleolar RNA, recruits PRKDC and XRCC5/Ku86 to the small-subunit processome. Recognizes the substrate consensus sequence [ST]-Q. Phosphorylates 'Ser-139' of histone variant H2AX, thereby regulating DNA damage response mechanism. Phosphorylates DCLRE1C, c-Abl/ABL1, histone H1, HSPCA, c-jun/JUN, p53/TP53, PARP1, POU2F1, DHX9, FH, SRF, NHEJ1/XLF, XRCC1, XRCC4, XRCC5, XRCC6, WRN, MYC and RFA2. Can phosphorylate C1D not only in the presence of linear DNA but also in the presence of supercoiled DNA. Ability to phosphorylate p53/TP53 in the presence of supercoiled DNA is dependent on C1D. Contributes to the determination of the circadian period length by antagonizing phosphorylation of CRY1 'Ser-588' and increasing CRY1 protein stability, most likely through an indirect mechanism. Plays a role in the regulation of DNA virus-mediated innate immune response by assembling into the HDP-RNP complex, a complex that serves as a platform for IRF3 phosphorylation and subsequent innate immune response activation through the cGAS-STING pathway.
-
基因功能參考文獻:
- Small cell lung cancer (SCLC) subtype had amplified risk with XRCC7 6721G>T. Gene-environment interaction analysis revealed that XRCC6 61C>G showed a strong protective effect towards lung cancer. Survival analysis revealed poor prognosis in case of XRCC6 61C>G SCLC subtype. XRCC7 6721G>T subjects with SCLC subtype showed an increased susceptibility while poor prognosis in case of XRCC6 61C>G. PMID: 29397516
- Loss of DNA-PKc expression is associated with impairment of non-homologous end-joining of radiation-induced double strand break repair in nasopharyngeal carcinoma. PMID: 29344644
- DNA-dependent protein kinase plays a central role in transformation of breast epithelial cells following alkylation damage. PMID: 28923836
- miRNA-101 level is decreased in RCC tissues/cells, which could be responsible for DNA-PKcs overexpression and DNA-PKcs mediated oncogenic actions; DNA-PKcs over-expression regulates mTORC2-AKT activation, HIF-2alpha expression and RCC cell proliferation PMID: 27412013
- The study reveals a structural basis for the complex assembly of DNA-PK and an allosteric mechanism for the activation of DNA-PKcs. PMID: 28840859
- DNA-PK holoenzyme cryo-EM map reveals density for the C-terminal globular domain of Ku80 that interacts with the arm of DNA-PKcs PMID: 28652322
- Data indicate that abnormal ERGIC1 and DNA-PKcs expression may play an important role in gastric cancer initiation. PMID: 28970727
- The crystal structure defines a stage on which many of the components assemble and regulate the kinase activity through modulating the conformation and allosteric regulation of kinase activity. PMID: 28668119
- downregulation of PRKDC sensitized MCF-7 cells to chemo-drugs both in vitro and in a xenografted mouse model. Collectively, our study demonstrated that PRKDC is a prognostic biomarker for chemoresistance in breast cancer patients. PMID: 28498431
- Down-regulation of PRKDC attenuates tumor progression in prostate cancer (PCa). PRKDC may potentially be a prognostic biomarker in PCa. PMID: 27856181
- Suggest that IL-10 rs1800871 and PRKDC rs7003908 may be useful biomarkers for predicting glioma patient survival. PMID: 27811370
- Results provide evidence that DNA-PKcs is a primary resistance factor of salinomycin in osteosarcoma cells. PMID: 27765904
- This study showed that the levels of CD44 and DNA-PK are associated with a better survival and better response to radiotherapy and temozolomide. PMID: 28070830
- this study suggests that improved anti-proliferative and cytotoxic effects of Ag-np treatment in cancer cells can be achieved by the inhibition of DNA-PKcs. PMID: 29150048
- this study has solved the PRKDC structure in complex with the C-terminal peptide of Ku80 at 4.3 angstrom resolution using x-ray crystallography. PMID: 28154079
- DNA-PKcs, which is integral to the non-homologous end joining pathway, negatively regulates ATM activity through phosphorylation of ATM. PMID: 27939942
- that EZH2 is phosphorylated by the DNA damage responsive complex DNA-PK and regulates DNA damage-mediated T-cell apoptosis. PMID: 27468692
- DNA-PKcs is a potent regulator of IL-2 production in T lymphocytes. PMID: 28750002
- TMU-35435 enhances etoposide cytotoxicity by regulating ubiquitin-proteasomal degradation of DNA-PKcs and inhibiting the DNA repair pathway in triple negative breast cancer cells. PMID: 28450160
- DNA-PK directly phosphorylates hSSB1 at serine residue 134. While this modification is largely suppressed in undamaged cells by PPP-family protein phosphatases, S134 phosphorylation is enhanced following the disruption of replication forks and promotes cellular survival. PMID: 28448822
- DNA-PK activity in peripheral blood lymphocytes might be a useful marker for predicting prostate-specific antigen relapse and urinary toxicity, possibly contributing to personalized treatment of prostate cancer. PMID: 28399576
- Data suggest that the model can replicate amplified p53 responses under DNA-PK inhibition and provide insights into cell fate decision by manipulating p53 dynamics. PMID: 28177883
- Dual TORK/DNA-PK inhibition blocks critical signaling pathways in chronic lymphocytic leukemia. PMID: 27235137
- These studies clarify the role of PKCdelta in endothelial cell cytoskeleton regulation. PMID: 27442243
- T204 was identified as a main target for ATM/DNA-PKcs phosphorylation on human POLL, and this phosphorylation may facilitate the repair of a subset of IR-induced DSBs and the efficient POLL-mediated gap-filling during NHEJ. POLL phosphorylation might favor POLL interaction with the DNA-PK complex at DSBs. PMID: 28109743
- DNA-PKcs inhibitor acriflavine exerts a p53-dependent synergistic efficacy with melphalan against human cancer cells both in vitro and in vivo. PMID: 27693638
- EBV-LMP1 suppresses the DNA damage response through DNA-PK/AMPK signaling to promote radioresistance in nasopharyngeal carcinoma. PMID: 27255972
- Together, our results provide evidence that acetylation potentially regulates DNA-PKcs. PMID: 27297111
- Inhibiting PRKDC radiosensitizes human osteosarcoma cells. PMID: 28300555
- these results suggest that miR-101 sensitizes pancreatic cancer cells to gemcitabine possibly via downregulating DNA-PKcs. PMID: 27988337
- The bocavirus large viral nonstructural protein NS1 is sufficient to induce the DNA damage response and the activation of the host ATM, ATR, and DNAPK. PMID: 27733644
- inhibition of DNAPKcs decreases Pgp expression and sensitizes osteosarcoma cancer stem cells to chemotherapeutic agents in vitro PMID: 27499034
- These results suggested potential usefulness of the phosphorylation status of XRCC4 Ser320 as an indicator of DNA-PK functionality in living cells. PMID: 26666690
- Data show that elevated expression of DNA-dependent protein kinase catalytic subunit (DNA-PKcs), Akt3 protein, and tumor suppressor protein p53 (p53) in ovarian serous adenocarcinoma tissues are an indication of more advanced disease and worse prognosis. PMID: 27629740
- CDK2 and DNA-PK regulate PR transcriptional activity by distinct mechanisms. PMID: 26652902
- Results show that under hypoxia, Ku70 and DNA-PKcs interact with nuclear RON which activates non-homologous end joining DNA repair conferring chemoresistance. PMID: 26772202
- A significantly different distribution was found in the frequency of PRKDC (rs7003908) genotype between the ESCC group and controls. Individuals homozygous for the C allele had a significant (3.185-fold) increased risk of ESCC. PMID: 26166223
- Transient knockdown of PRKDC reduced cell proliferation/survival in HCT116 and DLD1, but not FHC cells. PRKDC down-regulation induced apoptosis partially through inhibiting AKT activation, and sensitized HCT116 cells to chemotherapeutic agents PMID: 26992638
- DNA methylation modification plays an important role to regulate the gene expression of XRCC5 and XRCC7, from the results that the gene methylation level of the glioma group is higher than that of the normal group PMID: 26464705
- The ends are then closely aligned, which requires XLF, a non-catalytic function of XRCC4-LIG4, and DNA-PK activity PMID: 26990988
- suggested that DNA-PK and PARP-dependent recruitment of XRCC1 is necessary to effectively protect, repair, and restart stalled replication forks, providing new insight into how genomic stability is preserved PMID: 26603896
- Data show that inhibition of DNA-dependent protein kinase catalytic subunit (DNA-PK) prevents type I DNA topoisomerase (Top1) degradation and proteasome activity in camptothecin (CPT)-treated quiescent WI38 cells. PMID: 26578593
- protein deficiency impairs Ig class switch recombination PMID: 26546606
- These results provide new evidence linking cell cycle to bystander responses and demonstrate that DNA-PKcs and ATM are two associated factors in co-regulating G2-M phase-related bystander effects. PMID: 26774662
- c-Myc protein functions in the process of DNA double-strand break repair, at least partially, through affecting the ATM phosphorylation and DNA-PKcs kinase activity. PMID: 26049366
- DNA-PKcs has a role in cancer metastasis through regulation of secreted proteins involved in migration and invasion PMID: 26017556
- Results show that activated DNA-PKcs is elevated in medullary thyroid tumor samples and its expression correlates with expression of RET in thyroid tumors. PMID: 26065416
- Our study supported that DNA-PKcs was involved in drug-induced DNA damage repair and related to chemosensitivity of osteosarcoma MG63 cells PMID: 26108997
- Kaposi's sarcoma-associated herpesvirus appears then to selectively activate DNA damage response pathways via the ATM and DNA-PK DNA damage response kinases. PMID: 26057167
- BRCA1-BER deficient cells could be targeted by ATM or DNA-PKcs inhibitors for personalized therapy. PMID: 25205036
顯示更多
收起更多
-
相關疾病:Immunodeficiency 26 with or without neurologic abnormalities (IMD26)
-
亞細胞定位:Nucleus. Nucleus, nucleolus.
-
蛋白家族:PI3/PI4-kinase family
-
數據庫鏈接:
Most popular with customers
-
-
YWHAB Recombinant Monoclonal Antibody
Applications: ELISA, WB, IHC, IF, FC
Species Reactivity: Human, Mouse, Rat
-
Phospho-YAP1 (S127) Recombinant Monoclonal Antibody
Applications: ELISA, WB, IHC
Species Reactivity: Human
-
-
-
-
-















