CSK Recombinant Monoclonal Antibody
-
中文名稱:CSK Recombinant Monoclonal Antibody
-
貨號:CSB-RA228697A0HU
-
規格:¥1320
-
圖片:
-
Flow cytometric analysis of C-terminal Src kinase expression in HT-1080 cells using C-terminal Src kinase antibody. Green, isotype control; red, C-terminal Src kinase.
-
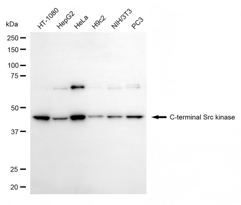
Western blotting analysis using C-terminal src kinase antibody. Total cell lysates (30 μg) from various cell lines were loaded and separated by SDS-PAGE. The blot was incubated with C-terminal src kinase antibody and HRP-conjugated goat anti-rabbit secondary antibody respectively.
-
-
其他:
產品詳情
-
Uniprot No.:
-
基因名:CSK
-
別名:CSK; C-Terminal Src Kinase; CSK, Non-Receptor Tyrosine Kinase; Tyrosine-Protein Kinase CSK; Protein-Tyrosine Kinase CYL; C-Src Tyrosine Kinase; C-Src Kinase; EC 2.7.10.2; EC 2.7.10
-
反應種屬:Human, Mouse, Rat
-
免疫原:Recombinant Human CSK protein
-
免疫原種屬:Homo sapiens (Human)
-
標記方式:Non-conjugated
-
克隆類型:Monoclonal
-
抗體亞型:Rabbit IgG
-
純化方式:Affinity-chromatography
-
克隆號:15A7
-
濃度:It differs from different batches. Please contact us to confirm it.
-
保存緩沖液:Rabbit IgG in PBS (pH 7.4) containing 50% glycerol, and 0.02% sodium azide.
-
產品提供形式:Liquid
-
應用范圍:ELISA, WB, FC
-
推薦稀釋比:
Application Recommended Dilution WB 1:1000-1:5000 FC 1:200-1:2000 -
Protocols:
-
儲存條件:Upon receipt, store at -20°C or -80°C. Avoid repeated freeze.
-
貨期:Basically, we can dispatch the products out in 1-3 working days after receiving your orders. Delivery time maybe differs from different purchasing way or location, please kindly consult your local distributors for specific delivery time.
-
用途:For Research Use Only. Not for use in diagnostic or therapeutic procedures.
相關產品
靶點詳情
-
功能:Non-receptor tyrosine-protein kinase that plays an important role in the regulation of cell growth, differentiation, migration and immune response. Phosphorylates tyrosine residues located in the C-terminal tails of Src-family kinases (SFKs) including LCK, SRC, HCK, FYN, LYN, CSK or YES1. Upon tail phosphorylation, Src-family members engage in intramolecular interactions between the phosphotyrosine tail and the SH2 domain that result in an inactive conformation. To inhibit SFKs, CSK is recruited to the plasma membrane via binding to transmembrane proteins or adapter proteins located near the plasma membrane. Suppresses signaling by various surface receptors, including T-cell receptor (TCR) and B-cell receptor (BCR) by phosphorylating and maintaining inactive several positive effectors such as FYN or LCK.
-
基因功能參考文獻:
- Study indicated that MTHFR rs1801133, FGF5 rs16998073 and CSK rs1378942 were associated with increased the risk of obesity in the Chinese children. PMID: 30217759
- These results identified a novel role for Csk as a host tyrosine kinase involved in dengue virus replication. PMID: 27457684
- Domain interactions of C-terminal Src Kinase determined through NMR spectroscopy with segmental isotope labeling PMID: 27815825
- Data suggest that myristoylation of Src kinase is essential to facilitate Src-induced and high-fat diet-accelerated prostatic tumor progression; targeting Src kinase myristoylation, which is required for Src kinase association at cellular membrane, blocks dietary fat-accelerated tumorigenesis. PMID: 28939770
- Linear mixed-effect regressions showed significant association between rs1378942 in CSK and systolic blood pressure (beta = 0.98+/-0.46, P = 3.4x10-2). The child genotype scores for diastolic and systolic blood pressure were not associated in children. PMID: 29045471
- H2O2-induced Csk translocation to the plasma membrane leads to phosphorylation of Src at the tyrosine 530 residue resulting in a reduction of ERK1/2 phosphorylation. PMID: 26234813
- Data suggest that as a natural inhibitor of c-Src kinase, naringin could be an effective candidate for the treatment of melanoma. PMID: 26476533
- deregulation of the Pragmin-Csk axis may induce aberrant cell migration that contributes to tumor invasion and metastasis PMID: 27116701
- Our results do not support association between PTPN22/CSK and Henoch-Schonlein purpura PMID: 26458874
- Results identify CSK downregulation as a principal driver of SRC activation and castration resistance. PMID: 26091350
- Variant rs1378942 near CSK was nominally associated with systolic blood pressure in a Chinese population. PMID: 25618516
- CSK is the kinase responsible for C-terminal phosphorylation of SRC, but not BRK. PMID: 25897081
- Data indicate that the potent c-Src inhibitors pyrazolo[3,4-d]pyrimidines showed in vivo activity in neuroblastoma xenograft model. PMID: 25469771
- Haemophilus ducreyi LspA1 protein inhibits phagocytosis by activation of host CSK. PMID: 24902122
- In Chinese children, no association of CSK rs1378942, MTHFR rs1801133, CYP17A1 rs1004467, STK39 rs3754777 and FGF5 rs16998073 with BP/risk of hypertension. PMID: 23759979
- the activity of SIRT2 is regulated by c-Src through post-translational modifications. PMID: 24996174
- Data indicate that the accumulation of the cleaved C-terminal small fragment of eukaryotic elongation factor 2 (eEF2) in the nucleus, and C-terminal Src kinase (Csk) could enhance the proteolytic cleavage of eEF2. PMID: 24648518
- alpha6beta4 integrin and c-Src activation is important early signaling events to lead mTOR activation and cap-dependent translation of VEGF. PMID: 24180592
- Induction of stem cell differentiation alters regulation of FAK and Src activities. PMID: 24015220
- JAM-A recruits Csk to the integrin-c-Src complex, where Csk negatively regulates c-Src activation, thereby suppressing the initiation of outside-in signaling. PMID: 24300854
- In summary, the free-energy landscape calculations demonstrate that phosphorylation of tyrosine 416 in the A-loop essentially "locks" the kinase into its catalytically competent conformation. PMID: 24103328
- An appreciable amount of Y416 was phosphorylated when c-Src was in a closed, repressed conformation under conditions by which c-Src was unable to phosphorylate substrate STAT3. PMID: 23923048
- We also unveiled a possible mechanistic link between ASPP2 and Csk/Src signaling pathway, implicating the multiple cellular functions of ASPP2. PMID: 23671128
- rs1378942 and rs34933034 variants were not significantly associated with giant cell arteritis. PMID: 23946333
- High C-terminal Src kinase expression is associated with colorectal cancer. PMID: 23824743
- Ca2+ sparklet activity is promoted by the action of c-Src on tyrosine2122 residue of the Cav1.2c COOH terminus. PMID: 23804206
- detailed study of LYP/CSK interaction, here presented, showed that LYP/CSK interaction was inducible upon TCR stimulation, and involved LYP P1 and P2 motifs, and CSK SH3 and SH2 do PMID: 23359562
- p140Cap phosphorylation sites and binding to Csk and Abl kinase PMID: 23383002
- No significant association was observed for CSK rs1378942 or MTHFR rs17367504 and hypertension in East Asians. PMID: 22959498
- This suggests that the Lyp-Csk complex increases susceptibility to lupus at multiple maturation and activation points in B cells. PMID: 23042117
- these results indicate that thrombin might activate c-Src to induce JAK2 activation, which in turn, causes STAT3 activation, and finally induces CCN2 expression in human lung fibroblasts. PMID: 23108098
- Data provide evidence for replication and overall genome-wide significance for systemic sclerosis (SSc) genetic risk locus: tyrosine-protein kinase CSK with P-value = 5.04 x 10(-12), odds ratio (OR) = 1.20. PMID: 22407130
- the association between Furin and its substrate MT1-MMP is regulated by PDGFR stimulation and c-Src. PMID: 22038627
- These findings suggest that 25-methoxyhispidol A-mediated inhibitory activity of human breast cancer cell growth might be related with the cell cycle arrest and modulation of signal transduction pathways. PMID: 21782877
- c-Src regulates nuclear factor kappa B signaling by targeting NEMO PMID: 21538482
- PTPIP51 is phosphorylated by Lyn and c-Src kinases lacking dephosphorylation by PTP1B in acute myeloid leukemia. PMID: 21513978
- c-Src signals through protein kinase Calpha, phospholipase Cgamma, and LKB1 to AMPK. AMPK controls internal ribosome entry site (IRES) dependent translation in these cells PMID: 21245141
- The ROS-c-Src kinase-mTOR pathway played a central role in the signaling pathway that linked albumin to epithelial mesenchynal transition and endoplasmic reticular stress. PMID: 21367918
- Results indicate that Cbp is required for the Csk-mediated inactivation of c-Src and may control the promotion of malignancy in NSCLC tumors that are characterized by c-Src upregulation. PMID: 21156787
- Data demonstrate the prognostic role of phospho-Src family kinase in tongue cancer in an inverse correlation between phospho-Src family kinase and patient survival. PMID: 19565264
- Cloning of the complete coding sequence of the cDNA of the Csk and Yes tyrosine kinases genes of the human lymphocytes and retina have been carried out. PMID: 19757166
- Consistent genetic factors for ATP2B1, CSK, ARSG and CSMD1 were present, which have been shown to be associated with high blood pressure and hypertension in two Korean cohorts. PMID: 19960030
- the SH2-domain-mediated activation of Csk is dependent on the binding of the beta3-alphaC loop Ala228 to the hydrophobic pocket formed by the side chains of Tyr116, Tyr133, Leu138, and Leu149 on the surface of the SH2 domain PMID: 20434462
- A sublethal dose of myoglobin (100 microg/ml) induced VCAM-1 expression via activation of AP-1 and NF-kappaB, which was mediated through activation of c-Src kinase PMID: 19887846
- Csk mis-localization defines a novel mechanism for SFK oncogenic activation in CRC cells. PMID: 20010872
- tyrosine kinase Csk dimerizes through Its SH3 domain PMID: 19888460
- NMR and site-directed mutagenesis reveal novel mechanism of enzyme regulation PMID: 11724538
- Regulation of an ERG K+ current by Src tyrosine kinase. PMID: 11834728
- Tyrosine kinase c-Src constitutes a bridge between cystic fibrosis transmembrane regulator channel failure and MUC1 overexpression in cystic fibrosis PMID: 11872746
- activation by adaptor protein Shc PMID: 12048194
顯示更多
收起更多
-
亞細胞定位:Cytoplasm. Cell membrane.
-
蛋白家族:Protein kinase superfamily, Tyr protein kinase family, CSK subfamily
-
組織特異性:Expressed in lung and macrophages.
-
數據庫鏈接:
Most popular with customers
-
-
YWHAB Recombinant Monoclonal Antibody
Applications: ELISA, WB, IHC, IF, FC
Species Reactivity: Human, Mouse, Rat
-
Phospho-YAP1 (S127) Recombinant Monoclonal Antibody
Applications: ELISA, WB, IHC
Species Reactivity: Human
-
-
-
-
-















