CDC45 Recombinant Monoclonal Antibody
-
中文名稱:CDC45 Recombinant Monoclonal Antibody
-
貨號:CSB-RA947574A0HU
-
規格:¥1320
-
圖片:
-
Flow cytometric analysis of Cell division cycle 45 expression in HepG2 cells using Cell division cycle 45 antibody. Green, isotype control; red, Cell division cycle 45.
-
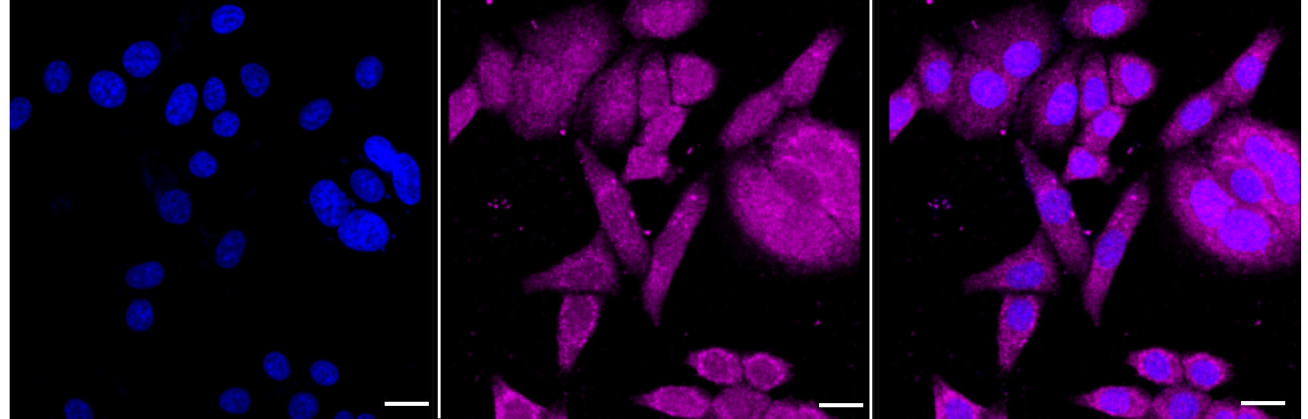
Immunocytochemical staining of HepG2 cells with Cell division cycle 45 antibody. Nuclei were stained blue with DAPI; Cell division cycle 45 was stained magenta with Alexa Fluor? 647. Images were taken using Leica stellaris 5. Protein abundance based on laser Intensity and smart gain: Medium. Scale bar: 20 μm.
-
Western blotting analysis using Cell division cycle 45 antibody. Total cell lysates (30 μg) from various cell lines were loaded and separated by SDS-PAGE. The blot was incubated with Cell division cycle 45 antibody and HRP-conjugated goat anti-rabbit secondary antibody respectively.
-
-
其他:
產品詳情
-
Uniprot No.:
-
基因名:
-
別名:CDC45; Cell Division Cycle 45; CDC45L2; CDC45L; Cell Division Control Protein 45 Homolog; Human CDC45; PORC-PI-1; CDC45 (Cell Division Cycle 45, S.Cerevisiae, Homolog)-Like; CDC45 Cell Division Cycle 45-Like (S. Cerevisiae); Cell Division Cycle 45 Homolog (S. Cerevisiae); CDC45 Cell Division Cycle 45 Homolog; CDC45 Cell Division Cycle 45-Like; Cell Division Cycle 45 Homolog; Cell Division Cycle 45-Like 2; CDC45-Related Protein; MGORS7
-
反應種屬:Human, Rat
-
免疫原:Recombinant Human CDC45 protein
-
免疫原種屬:Homo sapiens (Human)
-
標記方式:Non-conjugated
-
克隆類型:Monoclonal
-
抗體亞型:Rabbit IgG
-
純化方式:Affinity-chromatography
-
克隆號:7G10
-
濃度:It differs from different batches. Please contact us to confirm it.
-
保存緩沖液:Rabbit IgG in PBS (pH 7.4) containing 50% glycerol, and 0.02% sodium azide.
-
產品提供形式:Liquid
-
應用范圍:ELISA, WB, FC, ICC
-
推薦稀釋比:
Application Recommended Dilution WB 1:1000-1:5000 FC 1:200-1:2000 ICC 1:100-1:1000 -
Protocols:
-
儲存條件:Upon receipt, store at -20°C or -80°C. Avoid repeated freeze.
-
貨期:Basically, we can dispatch the products out in 1-3 working days after receiving your orders. Delivery time maybe differs from different purchasing way or location, please kindly consult your local distributors for specific delivery time.
-
用途:For Research Use Only. Not for use in diagnostic or therapeutic procedures.
相關產品
靶點詳情
-
功能:Required for initiation of chromosomal DNA replication.
-
基因功能參考文獻:
- The size and relative position of the three helices (alpha2, alpha7 and alpha8) that contribute to the active site architecture are highly conserved between Cdc45 and RecJ, whereas the helical structure on the solvent-exposed DHH side (alpha3, alpha4 and alpha5) shows more conformational variability. PMID: 27189187
- strong evidence that Cdc45 directly loads RPA on the emerging nascent ssDNA PMID: 28100698
- The oncogenic activity of cell division cycle 45 was also confirmed in vivo. In conclusion, cell division cycle 45 may serve as a novel biomarker and a potential therapeutic target for papillary thyroid cancer. PMID: 28474999
- Mutations in CDC45, Encoding an Essential Component of the Pre-initiation Complex, Cause Meier-Gorlin Syndrome and Craniosynostosis PMID: 27374770
- ectopic expression of Cdc45 led to increased firing of replication origins, severe replication stress, an early S-phase arrest, replication fork stalling, and eventually cell death by apoptosis. PMID: 26919204
- The depletion of HDHB from human cells diminishes Cdc45 association with chromatin, suggesting that HDHB may facilitate Cdc45 recruitment at G1/S in human cells. PMID: 25933514
- The findings suggest that hCdc45 not only binds to but also slides on DNA with a 3'-5' polarity and, thereby acts as a molecular 'wedge' to initiate DNA strand displacement. PMID: 24293646
- Data suggest that CDC45 and MCM10 (minichromosome maintenance complex component 10) directly interact and establish a mutual co-operation in DNA binding; key domains appear to interact and then interact with DNA inside cells or in cell-free systems. PMID: 23750504
- CDC45 directly interact with MCM2-7 proteins; with PSF2, PSF3 and SLD5 in GINS subunits; and with replication protein A2, AND-1. A considerable portion of CDC45 localizes in a region other than the DNA replication forks in nuclei. PMID: 23364835
- After UV-damage, Cdc45 is still present in a large multi-protein complex and that its mobility within living cells is consistently similar following UVC-mediated DNA damage. PMID: 22536402
- Data show that using a 200-nt primed circular DNA substrate, the combined action of DNA polymerase epsilon and the Cdc45/Mcm2-7/GINS (CMG complex) leads to the formation of products >10 kb in length. PMID: 22474384
- Structural and functional insights into the DNA replication factor Cdc45 reveal an evolutionary relationship to the DHH family of phosphoesterases PMID: 22147708
- Cdc45, which is known to be required for replication fork progression, shows similar patterns of origin association to those of Timeless PMID: 20124417
- The coordinated binding of DUE-B and Cdc45 to origins and the physical interactions of DUE-B, Cdc45, and TopBP1 suggest that complexes of these proteins are necessary for replication initiation. PMID: 20065034
- the Chk1-mediated S-phase checkpoint targets initiation factor Cdc45 via a Cdc25A/Cdk2-independent mechanism PMID: 16912045
- CDC45L is part of the GINS complex. PMID: 17557111
- Cdc45 may play an important role in elongation of DNA replication by bridging the processive DNA polymerases delta and epsilon with the replicative helicase in the elongating machinery PMID: 17573775
- Cdc45 expression is tightly associated with proliferating cell populations and Cdc45 seems to be a promising candidate for a novel proliferation marker in cancer cell biology PMID: 17608804
- Thus, the evidences for ubiquitylation of Cdc45 refer the first posttranslational modification of this essential replication factor. PMID: 17767920
- human TopBP1 is involved in the formation of the initiation complex of replication in human cells and is required for the recruitment of Cdc45 to origins of DNA replication PMID: 17887956
- Results suggest that apoptosis induced by replication inhibitors in Chk1-depleted cells is dependent upon the helicase cofactor Cdc45. PMID: 18239674
- CDT1 associates with CDC7 and recruits CDC45 to chromatin during S phase PMID: 19054765
- interactions between Cdc45, Mcm2-7, and the GINS complex (collectively called the CMG complex), which seem to play a key role in the formation and progression of replication forks PMID: 19805216
顯示更多
收起更多
-
亞細胞定位:Cytoplasm. Nucleus.
-
蛋白家族:CDC45 family
-
組織特異性:Widely expressed, highest levels are found in adult testis and thymus and in fetal liver.
-
數據庫鏈接:
Most popular with customers
-
-
YWHAB Recombinant Monoclonal Antibody
Applications: ELISA, WB, IHC, IF, FC
Species Reactivity: Human, Mouse, Rat
-
Phospho-YAP1 (S127) Recombinant Monoclonal Antibody
Applications: ELISA, WB, IHC
Species Reactivity: Human
-
-
-
-
-















