NPY2R Antibody
-
中文名稱:NPY2R兔多克隆抗體
-
貨號:CSB-PA131945
-
規格:¥1100
-
圖片:
-
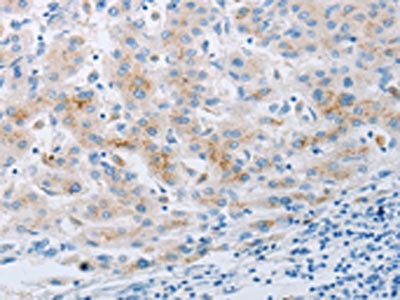
The image on the left is immunohistochemistry of paraffin-embedded Human lung cancer tissue using CSB-PA131945(NPY2R Antibody) at dilution 1/20, on the right is treated with synthetic peptide. (Original magnification: ×200)
-
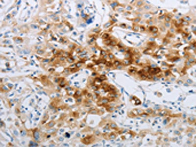
The image on the left is immunohistochemistry of paraffin-embedded Human liver cancer tissue using CSB-PA131945(NPY2R Antibody) at dilution 1/20, on the right is treated with synthetic peptide. (Original magnification: ×200)
-
-
其他:
產品詳情
-
Uniprot No.:
-
基因名:
-
別名:NPY2R; Neuropeptide Y receptor type 2; NPY2-R; NPY-Y2 receptor; Y2 receptor
-
宿主:Rabbit
-
反應種屬:Human,Mouse
-
免疫原:Synthetic peptide of Human NPY2R
-
免疫原種屬:Homo sapiens (Human)
-
標記方式:Non-conjugated
-
抗體亞型:IgG
-
純化方式:Antigen affinity purification
-
濃度:It differs from different batches. Please contact us to confirm it.
-
保存緩沖液:-20°C, pH7.4 PBS, 0.05% NaN3, 40% Glycerol
-
產品提供形式:Liquid
-
應用范圍:ELISA,IHC
-
推薦稀釋比:
Application Recommended Dilution ELISA 1:1000-1:2000 IHC 1:15-1:50 -
Protocols:
-
儲存條件:Upon receipt, store at -20°C or -80°C. Avoid repeated freeze.
-
貨期:Basically, we can dispatch the products out in 1-3 working days after receiving your orders. Delivery time maybe differs from different purchasing way or location, please kindly consult your local distributors for specific delivery time.
-
用途:For Research Use Only. Not for use in diagnostic or therapeutic procedures.
相關產品
靶點詳情
-
功能:Receptor for neuropeptide Y and peptide YY. The rank order of affinity of this receptor for pancreatic polypeptides is PYY > NPY > PYY (3-36) > NPY (2-36) > [Ile-31, Gln-34] PP > [Leu-31, Pro-34] NPY > PP, [Pro-34] PYY and NPY free acid.
-
基因功能參考文獻:
- The present study explored whether functional NPY2R variant rs6857715 (C-599T) showed an association with Major Depressive Disorder. Analysis of the overall sample (595 MDD cases; 1295 controls) showed an association with the AD risk allele C. The present findings suggest that the NPY2R rs6857715 C-allele makes a genuine contribution toward MDD PMID: 27584037
- not detected in infantile hemanogiomas PMID: 27889920
- polymorphisms in the NPY2R gene may be useful in identifying women at risk for osteoporosis. PMID: 25871004
- Data show that the Y2-receptor high expression G allele is associated with a less efficient mode of action cascading where different task goals are activated in parallel. PMID: 25157429
- The molecular mobility of the human neuropeptide Y receptor type 2 reconstituted into dimyristoylphosphatidylcholine (DMPC) membranes was investigated by means of solid-state NMR spectroscopy. PMID: 24623336
- The results of this study provide evidence that the functionally relevant single nucleotide polymorphism (SNP) in the NPY2R promoter gene affect circumscribed processes of early sensory processing PMID: 24709141
- This study reviews neuropeptide Y2 receptor modulators (mainly non-peptidic antagonists) and their structure-activity relationships. PMID: 24365162
- this study concludes that common genetic variation in the proximal NPY2R promoter influences transcription factor binding so as to alter gene expression in neuroendocrine cells, and consequently cardiometabolic traits in humans. PMID: 23149563
- we determined the role of the C-terminus in the anterograde transport of the human neuropeptide Y receptor (hYR) type 2 PMID: 23020974
- Surface masking of the Y2 receptor could to a degree reflect restricted access of the large (34-36-residue) physiological agonists. PMID: 22732667
- NPY2R expression in neonatal saliva is predictive of an immature feeding pattern. PMID: 22629465
- Four genetic loci were strongly and independently associated with obesity, NPY2R, NPFFR2, MC4R, and FTO. PMID: 21818152
- protocol for the preparation of fully active Y2 G protein-coupled receptor PMID: 21999704
- Data present a site-directed mutagenesis study of four amino acid positions in the human Y2 receptor. PMID: 21696823
- Results report on the functional reconstitution of the hY(2)R and the hY(4)R in Sf9 insect cells using the baculovirus system. PMID: 21745157
- Increased expression of NPY-Y2 receptors in symptomatic carotid plaque vascular smooth muscle cells. PMID: 21352822
- These results suggest that the rs4425326 polymorphism in NPY2R may be a possible genetic factor for nicotine dependence in the Japanese elderly population. PMID: 20811389
- Ligand-induced internalization and recycling of the human neuropeptide Y2 receptor is regulated by its carboxyl-terminal tail PMID: 20959467
- effect on metabolic parameters of single nucleotide polymorphisms in the 5'-flanking region of NPY2R gene PMID: 20359722
- NPY receptor Y2 polymorphism is independently associated with left ventricular mass index and interacts with plasma levels of NPY in explaining the variability of left ventricular hypertrophy in ESRD. PMID: 20543711
- Described is the membrane reconstitution of the refolded human neuropeptide Y receptor Type 2 (Y2 receptor) into phospholipid membranes. PMID: 20421142
- Several LEP, and NPY2R and PYY SNPs were associated with obesity-related phenotypes in young adults, particularly among African-Americans. PMID: 20642810
- Mutation rate of the rs1047214 polymorphism in NPY2R gene in Chinese adolescents was higher than in foreign populations. Polymorphism seemed to be associated with obesity in males but did not in phenotypes of metabolic syndrome. PMID: 19957593
- Report binding and pharmacology of neuropeptide Y Y2 receptor antagonist JNJ-31020028. PMID: 19953226
- Peptide YY and neuropeptide Y exert their effects through the NPY2 receptors, which are located on intrinsic neurons as well as epithelia in colon mucosa. PMID: 11906964
- tonic activation of submucosal Y(2) receptors could indirectly reduce mucosal ion transport in the colon, while direct activation of Y(2) receptors on longitudinal muscle results in contraction PMID: 12813010
- mutations in PYY and Y2R are not commonly found in humans with severe early-onset obesity. PMID: 15331560
- High expression of neuropeptide Y receptor Y2 is associated with tumors of the human adrenal gland and extra-adrenal paraganglia PMID: 15623622
- Y2R pathway may influence body weight through a sex-specific mechanism. PMID: 15855352
- Neuropeptide-Y induced endothelial cell migration was mimicked by agonists and fully blocked by antagonists for any specific NPY receptor (NPY2R). PMID: 16891622
- Common variants in the 5' region of NPY2R are associated with obesity in Danish white subjects. PMID: 17019604
- A rare variant of the NPY2R gene showed evidence of co-segregation with obesity. PMID: 17235527
- NPY2R should be considered a candidate gene for type 2 diabetes in men. PMID: 17325259
- In case-control analyses and a family-based association study an association with obesity for seven common variants was not detected; additional gender-stratified analyses were also nonsignificant. PMID: 17992642
- The rabbit kidney and the human CHO cell-expressed Y2 dimers are converted by agonists to monomers in vitro at a similar rate in the presence of divalent cations. PMID: 18569526
- Y2R gene variants are involved in blood pressure regulation in obese children and adolescents PMID: 18622237
- the N-terminal extracellular segment of the neuropeptide Y Y2 receptor thus apparently has a large role in anchoring and compartmentalization of the receptor PMID: 18700141
- Single nucleotide polymorphisms in NPY2R provide significant evidence of association with alcohol dependence, alcohol withdrawal symptoms, comorbid alcohol and cocaine dependence, and cocaine dependence. PMID: 18828811
顯示更多
收起更多
-
亞細胞定位:Cell membrane; Multi-pass membrane protein.
-
蛋白家族:G-protein coupled receptor 1 family
-
組織特異性:High levels in amygdala, corpus callosum, hippocampus and subthalamic nucleus. Also detectable in caudate nucleus, hypothalamus and substantia nigra.
-
數據庫鏈接:
Most popular with customers
-
YWHAB Recombinant Monoclonal Antibody
Applications: ELISA, WB, IHC, IF, FC
Species Reactivity: Human, Mouse, Rat
-
Phospho-YAP1 (S127) Recombinant Monoclonal Antibody
Applications: ELISA, WB, IHC
Species Reactivity: Human
-
-
-
-
-
-















