MYL12B Antibody
-
中文名稱:MYL12B兔多克隆抗體
-
貨號:CSB-PA042133
-
規格:¥1100
-
圖片:
-
The image on the left is immunohistochemistry of paraffin-embedded Human brain tissue using CSB-PA042133(MYL12B Antibody) at dilution 1/20, on the right is treated with fusion protein. (Original magnification: ×200)
-
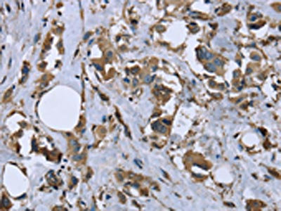
The image on the left is immunohistochemistry of paraffin-embedded Human breast cancer tissue using CSB-PA042133(MYL12B Antibody) at dilution 1/20, on the right is treated with fusion protein. (Original magnification: ×200)
-
Gel: 8%SDS-PAGE, Lysate: 40 μg, Lane 1-3: Mouse skeletal muscle, Mouse heart tissue, Mouse bladder tissue, Primary antibody: CSB-PA042133(MYL12B Antibody) at dilution 1/450, Secondary antibody: Goat anti rabbit IgG at 1/8000 dilution, Exposure time: 20 seconds
-
-
其他:
產品詳情
-
Uniprot No.:
-
基因名:
-
別名:ML12B_HUMAN antibody; MLC 2A antibody; MLC-2 antibody; MLC-2a antibody; MLC-B antibody; MLC20 antibody; MRLC2 antibody; MYL12B antibody; MYLC2B antibody; Myosin light chain 12B regulatory antibody; Myosin regulatory light chain 12B antibody; myosin regulatory light chain 2 antibody; Myosin regulatory light chain 2-B antibody; myosin regulatory light chain 2-B; smooth muscle isoform antibody; Myosin regulatory light chain 20 kDa antibody; Myosin regulatory light chain MRLC2 antibody; myosin; light chain 12B; regulatory antibody; OTTHUMP00000162244 antibody; OTTHUMP00000165806 antibody; OTTHUMP00000165807 antibody; OTTHUMP00000165808 antibody; SHUJUN-1 antibody; smooth muscle isoform antibody
-
宿主:Rabbit
-
反應種屬:Human,Mouse,Rat
-
免疫原:Fusion protein of Human MYL12B
-
免疫原種屬:Homo sapiens (Human)
-
標記方式:Non-conjugated
-
抗體亞型:IgG
-
純化方式:Antigen affinity purification
-
濃度:It differs from different batches. Please contact us to confirm it.
-
保存緩沖液:-20°C, pH7.4 PBS, 0.05% NaN3, 40% Glycerol
-
產品提供形式:Liquid
-
應用范圍:ELISA,WB,IHC
-
推薦稀釋比:
Application Recommended Dilution ELISA 1:2000-1:5000 WB 1:500-1:2000 IHC 1:25-1:100 -
Protocols:
-
儲存條件:Upon receipt, store at -20°C or -80°C. Avoid repeated freeze.
-
貨期:Basically, we can dispatch the products out in 1-3 working days after receiving your orders. Delivery time maybe differs from different purchasing way or location, please kindly consult your local distributors for specific delivery time.
-
用途:For Research Use Only. Not for use in diagnostic or therapeutic procedures.
相關產品
靶點詳情
-
功能:Myosin regulatory subunit that plays an important role in regulation of both smooth muscle and nonmuscle cell contractile activity via its phosphorylation. Phosphorylation triggers actin polymerization in vascular smooth muscle. Implicated in cytokinesis, receptor capping, and cell locomotion.
-
基因功能參考文獻:
- phosphorylated MRLC temporally controls its own accumulation, but not that of actin, in cultured mammalian cells. PMID: 22374324
- The study data show that manipulation of the activation sites (Thr18/Ser19) significantly alters myosin II function in a number of these assays while manipulation of the putative inhibitory sites (Ser1/Ser2/Thr9) does not. PMID: 22136066
- These results suggest that 2P-MRLC has a role different from that of 1P-MRLC at the midzone, and is not a subunit of myosin II. PMID: 22166199
- These results suggest that EGCG inhibits the cell growth by reducing the MRLC phosphorylation and this effect is mediated by the 67LR. PMID: 15946647
-
組織特異性:Ubiquitously expressed in various hematopoietic cells.
-
數據庫鏈接:
Most popular with customers
-
YWHAB Recombinant Monoclonal Antibody
Applications: ELISA, WB, IHC, IF, FC
Species Reactivity: Human, Mouse, Rat
-
Phospho-YAP1 (S127) Recombinant Monoclonal Antibody
Applications: ELISA, WB, IHC
Species Reactivity: Human
-
-
-
-
-
-
VDAC1 Recombinant Monoclonal Antibody
Applications: ELISA, WB, IHC
Species Reactivity: Human, Mouse, Rat















