CD7 Antibody
-
中文名稱:CD7兔多克隆抗體
-
貨號:CSB-PA004953YA01HU
-
規格:¥440
-
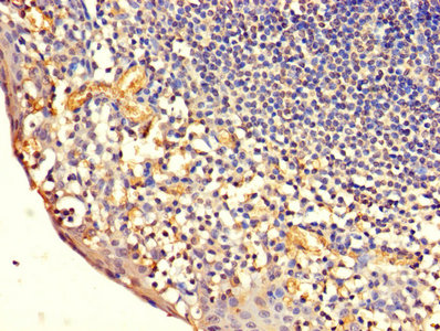
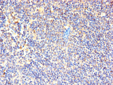
圖片:
-
其他:
產品詳情
-
產品名稱:Rabbit anti-Homo sapiens (Human) CD7 Polyclonal antibody
-
Uniprot No.:
-
基因名:
-
別名:CD7 antibody; CD7 antigen (p41) antibody; CD7 antigen antibody; CD7 molecule antibody; CD7_HUMAN antibody; GP40 antibody; LEU 9 antibody; LEU9 antibody; p41 protein antibody; T cell antigen CD7 antibody; T cell leukemia antigen antibody; T cell surface antigen Leu 9 antibody; T-cell antigen CD7 antibody; T-cell leukemia antigen antibody; T-cell surface antigen Leu-9 antibody; Tp 40 antibody; Tp40 antibody; TP41 antibody
-
宿主:Rabbit
-
反應種屬:Human
-
免疫原:Recombinant Human T-cell antigen CD7 protein (26-180AA)
-
免疫原種屬:Homo sapiens (Human)
-
標記方式:Non-conjugated
本頁面中的產品,CD7 Antibody (CSB-PA004953YA01HU),的標記方式是Non-conjugated。對于CD7 Antibody,我們還提供其他標記。見下表:
-
克隆類型:Polyclonal
-
抗體亞型:IgG
-
純化方式:>95%, Protein G purified
-
濃度:It differs from different batches. Please contact us to confirm it.
-
保存緩沖液:Preservative: 0.03% Proclin 300
Constituents: 50% Glycerol, 0.01M PBS, PH 7.4 -
產品提供形式:Liquid
-
應用范圍:ELISA, IHC
-
推薦稀釋比:
Application Recommended Dilution IHC 1:20-1:200 -
Protocols:
-
儲存條件:Upon receipt, store at -20°C or -80°C. Avoid repeated freeze.
-
貨期:Basically, we can dispatch the products out in 1-3 working days after receiving your orders. Delivery time maybe differs from different purchasing way or location, please kindly consult your local distributors for specific delivery time.
-
用途:For Research Use Only. Not for use in diagnostic or therapeutic procedures.
相關產品
靶點詳情
-
功能:Not yet known.
-
基因功能參考文獻:
- in acute myeloid leukemia patients the association of CD7 positivity and FLT3 positivity was found to be significant PMID: 25679063
- Data show that CD7 promotes extramedullary involvement of the B-ALL line Tanoue in an integrin beta2-dependent manner. PMID: 24920488
- We showed that the CADM1 versus CD7 plot is capable of discriminating clonally expanding HTLV-I-infected cells in indolent and acute-type T-cell leukemia-lymphomas and in asymptomatic carriers PMID: 24727323
- CD7 is present on monocytes and tumor macrophages and its ligand, SECTM1, is frequently expressed in corresponding melanoma tissues PMID: 24157461
- SECTM1 secreted from bone marrow stromal cells may interact with CD7 to influence GM-CSF expression in leukemic cells. PMID: 24211252
- epigenetic down-regulation of CD7 is associated with acute myeloid leukemia. PMID: 20398252
- CD7 loss in aggressive natural killer-cell leukemia; a useful diagnostic marker PMID: 20046078
- low expression in T-cell lymphomas due to Twist2-mediated suppression of promoter activity; enhanced by histone deacetylase inhibitors PMID: 19937140
- These findings indicate a link between epigenetic modifications and CD7 expression in primitive chronic myeloid leukemia cells. PMID: 20175919
- CD7 expression in hematopoitic cells denotes commitment to B-cell and natural killer cells lineages. PMID: 12393702
- Association of T cell antigen CD7 with type II phosphatidylinositol-4 kinase, a key component in pathways of inositol phosphate turnover. PMID: 12594831
- a novel fusion protein, designated scFvCD7:sFasL is designed to have leukemia-restricted activity. PMID: 16332967
- Patients expressing CD7 had significant shorter disease free (DFS) and post-remission survivals (PRS) than patients without CD7 (DFS of 12 months versus 42 months, P=0.005; PRS of 15 months versus 33 months, P=0.013). PMID: 16837044
- CD7 antigen notably expresses in lung microvascular endothelial cells (LME) and that it acts as an Fc receptor for IgM in LME cells. PMID: 16990185
- HTLV-IInfected cells acquired a profound decrease of intracellular calcium levels in response to ionomycin, timely correlated with decreased CD7 expression PMID: 17287851
- differential levels of CD7 identify the progressive stages of lineage commitment in human thymus, initiated from a primitive CD7(-) lympho-myeloid thymic progenitor PMID: 17959857
- close association of aberrant CD7 expression and FLT3/ITD mutation in the myeloblasts of FLT3/ITD+ acute myeloid leukemia suggests that FLT3/ITD- mediated leukemic transformation occurs in the more early stage of myeloid progenitor cells PMID: 18343790
- The CD7 expression in CD4(+) T cells discriminates between HL and reactive LAD, suggesting that this could be a useful and practical adjunctive tool in the diagnosis of Hodgkin lymphoma. PMID: 18956470
- by down-regulating CD7, ATLL cells could have escaped Gal-3-induced apoptosis to run a more aggressive clinical course PMID: 19207946
- the galectin-1 glycoprotein receptor CD7 maybe a novel target for GdA on T cells. PMID: 19683346
顯示更多
收起更多
-
亞細胞定位:Membrane; Single-pass type I membrane protein.
-
數據庫鏈接:
Most popular with customers
-
-
YWHAB Recombinant Monoclonal Antibody
Applications: ELISA, WB, IHC, IF, FC
Species Reactivity: Human, Mouse, Rat
-
Phospho-YAP1 (S127) Recombinant Monoclonal Antibody
Applications: ELISA, WB, IHC
Species Reactivity: Human
-
-
-
-
-















