ADGRB1 Antibody
-
中文名稱:ADGRB1兔多克隆抗體
-
貨號:CSB-PA002541ESR1HU
-
規格:¥440
-
圖片:
-
其他:
產品詳情
-
產品名稱:Rabbit anti-Homo sapiens (Human) ADGRB1 Polyclonal antibody
-
Uniprot No.:
-
基因名:
-
別名:B830018M07Rik antibody; BAI 1 antibody; BAI1 antibody; BAI1_HUMAN antibody; Brain specific angiogenesis inhibitor 1 antibody; Brain-specific angiogenesis inhibitor 1 antibody; GDAIF antibody; KIAA4089 antibody; mKIAA4089 antibody; R75078 antibody
-
宿主:Rabbit
-
反應種屬:Human
-
免疫原:Recombinant Human Adhesion G protein-coupled receptor B1 protein (60-350AA)
-
免疫原種屬:Homo sapiens (Human)
-
標記方式:Non-conjugated
-
克隆類型:Polyclonal
-
抗體亞型:IgG
-
純化方式:Antigen Affinity Purified
-
濃度:It differs from different batches. Please contact us to confirm it.
-
保存緩沖液:PBS with 0.02% sodium azide, 50% glycerol, pH7.3.
-
產品提供形式:Liquid
-
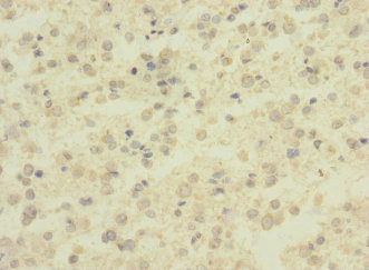
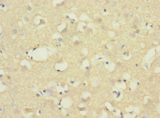
應用范圍:ELISA, IHC
-
推薦稀釋比:
Application Recommended Dilution IHC 1:20-1:200 -
Protocols:
-
儲存條件:Upon receipt, store at -20°C or -80°C. Avoid repeated freeze.
-
貨期:Basically, we can dispatch the products out in 1-3 working days after receiving your orders. Delivery time maybe differs from different purchasing way or location, please kindly consult your local distributors for specific delivery time.
-
用途:For Research Use Only. Not for use in diagnostic or therapeutic procedures.
相關產品
靶點詳情
-
功能:Phosphatidylserine receptor which enhances the engulfment of apoptotic cells. Also mediates the binding and engulfment of Gram-negative bacteria. Stimulates production of reactive oxygen species by macrophages in response to Gram-negative bacteria, resulting in enhanced microbicidal macrophage activity. In the gastric mucosa, required for recognition and engulfment of apoptotic gastric epithelial cells. Promotes myoblast fusion. Activates the Rho pathway in a G-protein-dependent manner. Inhibits MDM2-mediated ubiquitination and degradation of DLG4/PSD95, promoting DLG4 stability and regulating synaptic plasticity. Required for the formation of dendritic spines by ensuring the correct localization of PARD3 and TIAM1. Potent inhibitor of angiogenesis in brain and may play a significant role as a mediator of the p53/TP53 signal in suppression of glioblastoma.; Inhibits angiogenesis in a CD36-dependent manner.; Inhibits angiogenesis.
-
基因功能參考文獻:
- We have uncovered a new role for BAI1 in facilitating macrophage anti-viral responses. We show that arming oHSV with antiangiogenic Vstat120 also shields them from inflammatory macrophage antiviral response, without reducing safety PMID: 27852701
- Data suggest agonist-induced signal transduction via either BAI1/ADGRB1 or GPR56/ADGRG1 does not require conserved membrane-proximal stalk region; thus, it appears GAIN domain cleavage via autoproteolysis is not necessary for receptor activation. PMID: 26710850
- BAI1 may be involved in the negative regulation of bladder transitional cell carcinoma microvascular proliferation, and its expression may be associated with a reduction in p53 mutations. PMID: 26129954
- Results show that lower BAI1 expression correlates with poorer patient survival, and high Nestin expression is associated with an increased probability of metastases in breast cancer patients. PMID: 25376607
- recognition of apoptotic cells by BAI1 contributes to their clearance in the human gastric mucosa and this is associated with anti-inflammatory effects PMID: 24509909
- findings demonstrate that BAI1 is a synaptic receptor that can activate both the Rho and ERK pathways, with the N-terminal and C-terminal regions of the receptor playing key roles in the regulation of BAI1 signaling activity PMID: 23782696
- The results of this study indicated that BAI1 plays an important role in synaptogenesis that is mechanistically distinct from its role in phagocytosis. PMID: 23595754
- Proprotein convertases, primarily furin, activate latent matrix metalloproteinase-14, which then directly cleaves BAI1 to release the bioactive fragment. PMID: 22330140
- MBD2 overexpression during gliomagenesis may drive tumor growth by suppressing the antiangiogenic activity of a key tumor BAI1. PMID: 21724586
- brain-specific angiogenesis inhibitor 1 over-expression suppresses tumour angiogenesis PMID: 11875720
- BAI1 was expressed in cerebral neurons but not astrocytes. It was localized in the cytoplasm and cell membrane. BAI1 protein may play an important role in synapse formation and signal transduction PMID: 12074842
- BAI1 was widely expressed in normal brain but was absent in 28 glioma cell lines and in the majority of human glioblastoma investigated. BAI1 expression did not correlate with TP53 status PMID: 12507886
顯示更多
收起更多
-
亞細胞定位:Cell membrane; Multi-pass membrane protein. Cell projection, phagocytic cup. Cell junction, focal adhesion. Cell projection, dendritic spine. Cell junction, synapse, postsynaptic density.; [Vasculostatin-120]: Secreted.; [Vasculostatin-40]: Secreted.
-
蛋白家族:G-protein coupled receptor 2 family, LN-TM7 subfamily
-
組織特異性:Expressed in brain (at protein level). Expressed on mononuclear phagocytes and monocyte-derived macrophages in the gastric mucosa (at protein level). Expressed in normal pancreatic tissue but not in pancreatic tumor tissue. Reduced or no expression is obs
-
數據庫鏈接:
Most popular with customers
-
-
YWHAB Recombinant Monoclonal Antibody
Applications: ELISA, WB, IHC, IF, FC
Species Reactivity: Human, Mouse, Rat
-
Phospho-YAP1 (S127) Recombinant Monoclonal Antibody
Applications: ELISA, WB, IHC
Species Reactivity: Human
-
-
-
-
-















