TNFSF11
TNFSF11,即腫瘤壞死因子超家族成員11,別名OPGL、RANKL、TRANCE,是一種關鍵的細胞因子,在骨代謝、免疫系統和腫瘤生物學中扮演重要角色。由T細胞產生,TNFSF11通過與其受體RANK結合,激活NF-κB信號通路,促進破骨細胞的分化和活性,影響骨吸收。異常的TNFSF11表達與骨質疏松癥、骨轉移癌等疾病有關,同時在腫瘤微環境中可能促進腫瘤細胞的侵襲和轉移,使其成為治療相關疾病的潛在靶點。
熱銷產品
驗證數據
(Tris-Glycine gel) Discontinuous SDS-PAGE (reduced) with 5% enrichment gel and 15% separation gel.
Activity
Measured by its binding ability in a functional ELISA. Immobilized Human TNFSF11 at 2 μg/ml can bind Human TNFRSF11B (CSB-MP023969HU). The EC50 is 4.514-5.152 ng/mL.
TNFSF11 Antibody (CSB-PA023986LA01HU)
驗證數據
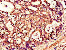
Immunohistochemistry of paraffin-embedded human gastric cancer using CSB-PA023986LA01HU at dilution of 1:100
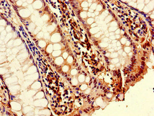
Immunohistochemistry of paraffin-embedded human colon cancer using CSB-PA023986LA01HU at dilution of 1:100
Immunofluorescent analysis of HepG2 cells using CSB-PA023986LA01HU at dilution of 1:100 and Alexa Fluor 488-congugated AffiniPure Goat Anti-Rabbit IgG(H+L)
TNFSF11 Antibodies
TNFSF11 for Mus musculus (Mouse)
| 產品貨號 | 產品名稱 | 種屬反應性 | 應用類型 |
|---|---|---|---|
| CSB-PA07964A0Rb | Tnfsf11 Antibody | Mouse | ELISA |
| CSB-PA07964C0Rb | Tnfsf11 Antibody, FITC conjugated | Mouse | |
| CSB-PA07964D0Rb | Tnfsf11 Antibody, Biotin conjugated | Mouse | ELISA |
| CSB-PA023986LA01MO | Tnfsf11 Antibody | Mouse | ELISA, IF |
| CSB-PA023986LB01MO | Tnfsf11 Antibody, HRP conjugated | Mouse | ELISA |
| CSB-PA023986LC01MO | Tnfsf11 Antibody, FITC conjugated | Mouse | |
| CSB-PA023986LD01MO | Tnfsf11 Antibody, Biotin conjugated | Mouse | ELISA |
TNFSF11 for Homo sapiens (Human)
| 產品貨號 | 產品名稱 | 種屬反應性 | 應用類型 |
|---|---|---|---|
| CSB-PA111246 | TNFSF11 Antibody | Human,Mouse | ELISA,WB,IF |
| CSB-PA003937 | TNFSF11 Antibody | Human,Mouse,Rat | WB, IF, ELISA |
| CSB-PA005647 | TNFSF11 Antibody | Human,Mouse,Rat | WB, ELISA |
| CSB-PA023986LA01HU | TNFSF11 Antibody | Human | ELISA, IHC, IF |
| CSB-PA023986LB01HU | TNFSF11 Antibody, HRP conjugated | Human | ELISA |
| CSB-PA023986LC01HU | TNFSF11 Antibody, FITC conjugated | Human | |
| CSB-PA023986LD01HU | TNFSF11 Antibody, Biotin conjugated | Human | ELISA |
TNFSF11 Proteins
TNFSF11 Proteins for Mus musculus (Mouse)
| 產品貨號 | 產品名稱 | 來源 |
|---|---|---|
| CSB-YP023986MO CSB-BP023986MO CSB-MP023986MO CSB-EP023986MO-B |
Recombinant Mouse Tumor necrosis factor ligand superfamily member 11 (Tnfsf11), partial | Yeast Baculovirus Mammalian cell In Vivo Biotinylation in E.coli |
| CSB-EP023986MO | Recombinant Mouse Tumor necrosis factor ligand superfamily member 11 (Tnfsf11), partial | E.coli |
| CSB-CF023986MO(A4) | Recombinant Mouse Tumor necrosis factor ligand superfamily member 11 (Tnfsf11) | in vitro E.coli expression system |
| CSB-AP005021MO | Recombinant Mouse Tumor necrosis factor ligand superfamily member 11 (Tnfsf11), partial (Active) | Mammalian |
TNFSF11 Proteins for Homo sapiens (Human)
| 產品貨號 | 產品名稱 | 來源 |
|---|---|---|
| CSB-YP023986HU1 CSB-EP023986HU1 CSB-BP023986HU1 CSB-MP023986HU1 CSB-EP023986HU1-B |
Recombinant Human Tumor necrosis factor ligand superfamily member 11 (TNFSF11), partial | Yeast E.coli Baculovirus Mammalian cell In Vivo Biotinylation in E.coli |
| CSB-CF023986HU | Recombinant Human Tumor necrosis factor ligand superfamily member 11 (TNFSF11) | in vitro E.coli expression system |
| CSB-AP004851HU | Recombinant Human Tumor necrosis factor ligand superfamily member 11 (TNFSF11), partial (Active) | E.coli |
| CSB-MP023986HU(F2) | Recombinant Human Tumor necrosis factor ligand superfamily member 11 (TNFSF11), partial (Active) | Mammalian cell |
| CSB-MP023986HU(F2)b0 | Recombinant Human Tumor necrosis factor ligand superfamily member 11 (TNFSF11), partial | Mammalian cell |
TNFSF11 Proteins for Rattus norvegicus (Rat)
| 產品貨號 | 產品名稱 | 來源 |
|---|---|---|
| CSB-YP880653RA CSB-EP880653RA CSB-BP880653RA CSB-MP880653RA CSB-EP880653RA-B |
Recombinant Rat Tumor necrosis factor ligand superfamily member 11 (Tnfsf11), partial | Yeast E.coli Baculovirus Mammalian cell In Vivo Biotinylation in E.coli |
TNFSF11 ELISA Kit
TNFSF11 ELISA Kit for Homo sapiens (Human)
| 產品貨號 | 產品名稱 | 樣本類型 | 靈敏度 |
|---|---|---|---|
| CSB-E05125h | Human soluble receptor activator of nuclear factor-kB ligand,sRANKL ELISA Kit | serum, plasma, cell culture supeernates, tissue homogenates | 1.95 pg/mL |
TNFSF11 ELISA Kit for Mus musculus (Mouse)
| 產品貨號 | 產品名稱 | 樣本類型 | 靈敏度 |
|---|---|---|---|
| CSB-E05127m | Mouse soluble receptor activator of nuclear factor-kB ligand,sRANKL ELISA Kit | serum, plasma, tissue homogenates. | 3.12 pg/ml. |
TNFSF11 ELISA Kit for Rattus norvegicus (Rat)
| 產品貨號 | 產品名稱 | 樣本類型 | 靈敏度 |
|---|---|---|---|
| CSB-E05126r | Rat soluble receptor activator of nuclear factor-kB ligand,sRANKL ELISA Kit | serum, plasma, cell culture supernates | 0.039 ng/mL |






