EPHA1
EPHA1,全稱Eph receptor A1,是一種受體酪氨酸激酶,屬于肝配蛋白受體亞家族。它主要在神經系統、內皮細胞和某些免疫細胞中表達。EPHA1通過與肝配蛋白A配體結合,激活下游信號通路,參與軸突導向、血管生成和免疫調節等過程。EPHA1在細胞凋亡中也可能發揮作用。研究發現,EPHA1的某些突變會增加阿爾茨海默病的發病風險,可能通過影響淀粉樣蛋白的清除或神經炎癥過程。在腫瘤中,EPHA1可能發揮雙重作用:在某些情況下抑制腫瘤生長和轉移,而在其他情況下促進腫瘤進展。EPHA1過表達可能增強細胞間粘附,抑制細胞遷移,從而在某些癌癥中起到抑癌作用;而表達降低可能導致細胞遷移增加,促進腫瘤侵襲和轉移。EPHA1作為治療靶點,在癌癥和神經系統疾病治療中具有潛在應用價值。目前,針對EPHA1的藥物研發尚處于探索階段,未來需要更多的研究來闡明其作用機制和臨床應用潛力。
熱銷產品
EPHA1 Antibody (CSB-PA007720LA01HU)
驗證數據
Western Blot
Positive WB detected in: Mouse brain tissue
All lanes: EPHA1 antibody at 3μg/ml
Secondary
Goat polyclonal to rabbit IgG at 1/50000 dilution
Predicted band size: 109, 53, 52 kDa
Observed band size: 109, 30 kDa
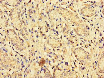
Immunohistochemistry of paraffin-embedded human gastric cancer using CSB-PA007720LA01HU at dilution of 1:100
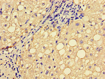
Immunohistochemistry of paraffin-embedded human liver cancer using CSB-PA007720LA01HU at dilution of 1:100
Immunofluorescent analysis of A549 cells using CSB-PA007720LA01HU at dilution of 1:100 and Alexa Fluor 488-congugated AffiniPure Goat Anti-Rabbit IgG(H+L)
EPHA1 Antibodies
EPHA1 for Homo sapiens (Human)
| 產品貨號 | 產品名稱 | 種屬反應性 | 應用類型 |
|---|---|---|---|
| CSB-PA007720GA01HU | EPHA1 Antibody | Human,Mouse | ELISA,WB,IHC |
| CSB-PA002360 | EPHA1 Antibody | Human | WB, IHC, IF, ELISA |
| CSB-PA122612 | EPHA1 Antibody | Human,Mouse | ELISA,IHC |
| CSB-PA007720LA01HU | EPHA1 Antibody | Human, Mouse | ELISA, WB, IHC, IF |
| CSB-PA007720LB01HU | EPHA1 Antibody, HRP conjugated | Human | ELISA |
| CSB-PA007720LC01HU | EPHA1 Antibody, FITC conjugated | Human | |
| CSB-PA007720LD01HU | EPHA1 Antibody, Biotin conjugated | Human | ELISA |
EPHA1 Proteins
EPHA1 Proteins for Homo sapiens (Human)
| 產品貨號 | 產品名稱 | 來源 |
|---|---|---|
| CSB-YP007720HU CSB-EP007720HU CSB-BP007720HU CSB-MP007720HU CSB-EP007720HU-B |
Recombinant Human Ephrin type-A receptor 1 (EPHA1), partial | Yeast E.coli Baculovirus Mammalian cell In Vivo Biotinylation in E.coli |






