BAG2
BAG2,全稱為Bcl-2相關抗凋亡基因2,它屬于BAG蛋白家族,通過其BAG結構域與熱休克蛋白70(Hsp70)相互作用,共同參與蛋白質折疊、降解和抗凋亡等過程。研究表明,BAG2能通過調節tau蛋白的降解途徑影響其聚集,與阿爾茨海默病等神經退行性疾病相關——BAG2表達降低會導致tau蛋白異常積累,形成神經纖維纏結;而過表達BAG2則可增強細胞清除錯誤折疊蛋白的能力。此外,BAG2還參與調控自噬過程,其表達水平變化會影響細胞應對應激的能力。在癌癥中,BAG2可能發揮雙重作用:一方面其抗凋亡特性可能促進腫瘤細胞存活,另一方面它維持蛋白質穩態的功能可能抑制致癌蛋白的積累。BAG2基因突變可能導致其與Hsp70相互作用異常,進而引發蛋白質折疊疾病。該基因的表達受多種轉錄因子調控,并與多種神經退行性疾病、癌癥及心血管疾病的發病機制相關。目前,針對BAG2的藥物研發主要集中在開發特異性結合BAG2的抗體或抑制劑,以抑制其抗凋亡活性或調節其與Hsp70的相互作用,從而抑制腫瘤細胞的生長和轉移。
熱銷產品
Recombinant Human BAG family molecular chaperone regulator 2 (BAG2) (CSB-EP002530HU)
驗證數據
(Tris-Glycine gel) Discontinuous SDS-PAGE (reduced) with 5% enrichment gel and 15% separation gel.
BAG2 Recombinant Monoclonal Antibody (CSB-RA104772A0HU)
驗證數據
Western Blot
Positive WB detected in: Hela whole cell lysate(30μg), Jurkat whole cell lysate(30μg), PC-3 whole cell lysate(30μg)
All lanes: BAG2 antibody at 1:1000
Secondary
Goat polyclonal to rabbit IgG at 1/40000 dilution
Predicted band size: 24 kDa
Observed band size: 24 kDa
Exposure time:1min
BAG2 Antibody (CSB-PA002530ESR1HU)
驗證數據
Western blot
All lanes: BAG family molecular chaperone regulator 2 antibody at 6μg/ml
Lane 1: Jurkat whole cell lysate
Lane 2: Hela whole cell lysate
Lane 3: HepG2 whole cell lysate
Secondary
Goat polyclonal to rabbit IgG at 1/10000 dilution
Predicted band size: 24, 21 kDa
Observed band size: 24 kDa
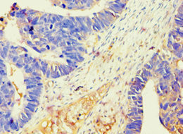
Immunohistochemistry of paraffin-embedded human ovarian cancer using CSB-PA002530ESR1HU at dilution of 1:100
Immunohistochemistry of paraffin-embedded human kidney tissue using CSB-PA002530ESR1HU at dilution of 1:100
BAG2 Antibodies
BAG2 for Homo sapiens (Human)
| 產品貨號 | 產品名稱 | 種屬反應性 | 應用類型 |
|---|---|---|---|
| CSB-PA002530ESR1HU | BAG2 Antibody | Human | ELISA, WB, IHC |
| CSB-RA104772A0HU | BAG2 Recombinant Monoclonal Antibody | Human | ELISA, WB |
BAG2 Proteins
BAG2 Proteins for Homo sapiens (Human)
| 產品貨號 | 產品名稱 | 來源 |
|---|---|---|
| CSB-YP002530HU CSB-BP002530HU CSB-MP002530HU CSB-EP002530HU-B |
Recombinant Human BAG family molecular chaperone regulator 2 (BAG2) | Yeast Baculovirus Mammalian cell In Vivo Biotinylation in E.coli |
| CSB-EP002530HU | Recombinant Human BAG family molecular chaperone regulator 2 (BAG2) | E.coli |
BAG2 Proteins for Arabidopsis thaliana (Mouse-ear cress)
| 產品貨號 | 產品名稱 | 來源 |
|---|---|---|
| CSB-YP604500DOA CSB-EP604500DOA CSB-BP604500DOA CSB-MP604500DOA CSB-EP604500DOA-B |
Recombinant Arabidopsis thaliana BAG family molecular chaperone regulator 2 (BAG2) | Yeast E.coli Baculovirus Mammalian cell In Vivo Biotinylation in E.coli |
BAG2 Proteins for Mus musculus (Mouse)
| 產品貨號 | 產品名稱 | 來源 |
|---|---|---|
| CSB-YP835596MO CSB-EP835596MO CSB-BP835596MO CSB-MP835596MO CSB-EP835596MO-B |
Recombinant Mouse BAG family molecular chaperone regulator 2 (Bag2) | Yeast E.coli Baculovirus Mammalian cell In Vivo Biotinylation in E.coli |






