ABHD6
ABHD6,全稱為ABHD6蛋白,也被稱為ABHD6A。該蛋白在人體內廣泛分布,尤其在大腦、肝臟和褐色脂肪組織中含量較高。ABHD6蛋白作為一種新的代謝性疾病和炎癥靶點,其作用機制尚在研究中。目前,ABHD6蛋白與多種疾病相關,包括非小細胞肺癌和阿爾茨海默病。針對ABHD6蛋白的藥物研發正在逐步推進,旨在開發針對相關疾病的創新治療策略。
熱銷產品
ABHD6 Antibody (CSB-PA861144LA01HU)
驗證數據
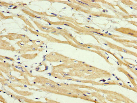
IHC image of CSB-PA861144LA01HU diluted at 1:400 and staining in paraffin-embedded human heart tissue performed on a Leica BondTM system. After dewaxing and hydration, antigen retrieval was mediated by high pressure in a citrate buffer (pH 6.0). Section was blocked with 10% normal goat serum 30min at RT. Then primary antibody (1% BSA) was incubated at 4°C overnight. The primary is detected by a biotinylated secondary antibody and visualized using an HRP conjugated SP system.
Immunofluorescence staining of A549 cells with CSB-PA861144LA01HU at 1:133, counter-stained with DAPI. The cells were fixed in 4% formaldehyde, permeabilized using 0.2% Triton X-100 and blocked in 10% normal Goat Serum. The cells were then incubated with the antibody overnight at 4°C. The secondary antibody was Alexa Fluor 488-congugated AffiniPure Goat Anti-Rabbit IgG(H+L).
ABHD6 Antibodies
ABHD6 for Homo sapiens (Human)
| 產品貨號 | 產品名稱 | 種屬反應性 | 應用類型 |
|---|---|---|---|
| CSB-PA449719 | ABHD6 Antibody | Human,Mouse,Rat | ELISA,WB,IF |
| CSB-PA000792 | ABHD6 Antibody | Human,Mouse,Rat | WB, IF, ELISA |
| CSB-PA861144LA01HU | ABHD6 Antibody | Human | ELISA, IHC, IF |
| CSB-PA861144LB01HU | ABHD6 Antibody, HRP conjugated | Human | ELISA |
| CSB-PA861144LC01HU | ABHD6 Antibody, FITC conjugated | Human | |
| CSB-PA861144LD01HU | ABHD6 Antibody, Biotin conjugated | Human | ELISA |
ABHD6 Proteins
ABHD6 Proteins for Homo sapiens (Human)
| 產品貨號 | 產品名稱 | 來源 |
|---|---|---|
| CSB-YP861144HU CSB-EP861144HU CSB-BP861144HU CSB-MP861144HU CSB-EP861144HU-B |
Recombinant Human Monoacylglycerol lipase ABHD6 (ABHD6), partial | Yeast E.coli Baculovirus Mammalian cell In Vivo Biotinylation in E.coli |






