VCP Recombinant Monoclonal Antibody
-
中文名稱:VCP重組抗體
-
貨號:CSB-RA182227A0HU
-
規格:¥1320
-
圖片:
-
Western Blot
Positive WB detected in: Hela whole cell lysate, MCF-7 whole cell lysate, U251 whole cell lysate, Rat brain tissue, Rat liver tissue
All lanes: VCP antibody at 1:2000
Secondary
Goat polyclonal to rabbit IgG at 1/50000 dilution
Predicted band size: 90 kDa
Observed band size: 90 kDa -
IHC image of CSB-RA182227A0HU diluted at 1:100 and staining in paraffin-embedded human breast cancer performed on a Leica BondTM system. After dewaxing and hydration, antigen retrieval was mediated by high pressure in a citrate buffer (pH 6.0). Section was blocked with 10% normal goat serum 30min at RT. Then primary antibody (1% BSA) was incubated at 4℃ overnight. The primary is detected by a Goat anti-rabbit IgG polymer labeled by HRP and visualized using 0.05% DAB.
-
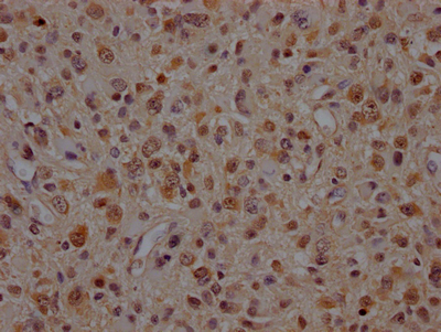
IHC image of CSB-RA182227A0HU diluted at 1:100 and staining in paraffin-embedded human glioma cancer performed on a Leica BondTM system. After dewaxing and hydration, antigen retrieval was mediated by high pressure in a citrate buffer (pH 6.0). Section was blocked with 10% normal goat serum 30min at RT. Then primary antibody (1% BSA) was incubated at 4℃ overnight. The primary is detected by a Goat anti-rabbit IgG polymer labeled by HRP and visualized using 0.05% DAB.
-
Immunofluorescence staining of SY5Y Cells with CSB-RA182227A0HU at 1:50, counter-stained with DAPI. The cells were fixed in 4% formaldehyde, permeated by 0.2% TritonX-100, and blocked in 10% normal Goat Serum. The cells were then incubated with the antibody overnight at 4℃. Nuclear DNA was labeled in blue with DAPI. The secondary antibody was FITC-conjugated AffiniPure Goat Anti-Rabbit IgG (H+L).
-
Immunoprecipitating VCP in U251 whole cell lysate
Lane 1: Rabbit control IgG instead of CSB-RA182227A0HU in U251 whole cell lysate. For western blotting,a HRP-conjugated Protein G antibody was used as the secondary antibody (1/2000)
Lane 2: CSB-RA182227A0HU(2μg)+ U251 whole cell lysate(500μg)
Lane 3: U251 whole cell lysate (10μg)
-
-
其他:
產品詳情
-
產品描述:CSB-RA182227A0HU VCP重組單克隆抗體是針對Valosin-Containing Protein(VCP)靶點開發的高特異性科研工具,適用于多種實驗場景。VCP作為AAA+ ATP酶家族成員,在泛素-蛋白酶體介導的蛋白質降解、內質網應激應答及DNA損傷修復中發揮核心作用,其功能異常與神經退行性疾病、腫瘤轉移等病理過程密切相關。該抗體經嚴格驗證,可在WB實驗中實現1:500-1:5000的高效檢測,并支持IHC(1:50-1:200)、IF(1:20-1:200)和IP(1:200-1:1000)等多種應用,其優越的抗原親和力與批次穩定性確保實驗結果的重復性。科研人員可將其用于探究VCP在細胞周期調控中的分子機制、蛋白質質量控制網絡的動態變化,或結合疾病模型研究病理狀態下VCP與伴侶蛋白的互作模式,為神經退行性疾病機理、腫瘤微環境調控等基礎研究提供可靠檢測工具,實驗數據表明其在復雜樣本中能有效識別天然構象的靶蛋白。
-
Uniprot No.:
-
基因名:
-
別名:Transitional endoplasmic reticulum ATPase (TER ATPase) (EC 3.6.4.6) (15S Mg(2+)-ATPase p97 subunit) (Valosin-containing protein) (VCP), VCP
-
反應種屬:Human, Rat
-
免疫原:A synthesized peptide derived from human VCP
-
免疫原種屬:Homo sapiens (Human)
-
標記方式:Non-conjugated
-
克隆類型:Monoclonal
-
抗體亞型:Rabbit IgG
-
純化方式:Affinity-chromatography
-
克隆號:5H12
-
濃度:It differs from different batches. Please contact us to confirm it.
-
保存緩沖液:Rabbit IgG in 10mM phosphate buffered saline , pH 7.4, 150mM sodium chloride, 0.05% BSA, 0.02% sodium azide and 50% glycerol.
-
產品提供形式:Liquid
-
應用范圍:ELISA, WB, IHC, IF, IP
-
推薦稀釋比:
Application Recommended Dilution WB 1:500-1:5000 IHC 1:50-1:200 IF 1:20-1:200 IP 1:200-1:1000 -
Protocols:
-
儲存條件:Upon receipt, store at -20°C or -80°C. Avoid repeated freeze.
-
貨期:Basically, we can dispatch the products out in 1-3 working days after receiving your orders. Delivery time maybe differs from different purchasing way or location, please kindly consult your local distributors for specific delivery time.
-
用途:For Research Use Only. Not for use in diagnostic or therapeutic procedures.
相關產品
靶點詳情
-
功能:Necessary for the fragmentation of Golgi stacks during mitosis and for their reassembly after mitosis. Involved in the formation of the transitional endoplasmic reticulum (tER). The transfer of membranes from the endoplasmic reticulum to the Golgi apparatus occurs via 50-70 nm transition vesicles which derive from part-rough, part-smooth transitional elements of the endoplasmic reticulum (tER). Vesicle budding from the tER is an ATP-dependent process. The ternary complex containing UFD1, VCP and NPLOC4 binds ubiquitinated proteins and is necessary for the export of misfolded proteins from the ER to the cytoplasm, where they are degraded by the proteasome. The NPLOC4-UFD1-VCP complex regulates spindle disassembly at the end of mitosis and is necessary for the formation of a closed nuclear envelope. Regulates E3 ubiquitin-protein ligase activity of RNF19A. Component of the VCP/p97-AMFR/gp78 complex that participates in the final step of the sterol-mediated ubiquitination and endoplasmic reticulum-associated degradation (ERAD) of HMGCR. Involved in endoplasmic reticulum stress-induced pre-emptive quality control, a mechanism that selectively attenuates the translocation of newly synthesized proteins into the endoplasmic reticulum and reroutes them to the cytosol for proteasomal degradation. Plays a role in the regulation of stress granules (SGs) clearance process upon arsenite-induced response. Also involved in DNA damage response: recruited to double-strand breaks (DSBs) sites in a RNF8- and RNF168-dependent manner and promotes the recruitment of TP53BP1 at DNA damage sites. Recruited to stalled replication forks by SPRTN: may act by mediating extraction of DNA polymerase eta (POLH) to prevent excessive translesion DNA synthesis and limit the incidence of mutations induced by DNA damage. Together with SPRTN metalloprotease, involved in the repair of covalent DNA-protein cross-links (DPCs) during DNA synthesis. Involved in interstrand cross-link repair in response to replication stress by mediating unloading of the ubiquitinated CMG helicase complex. Required for cytoplasmic retrotranslocation of stressed/damaged mitochondrial outer-membrane proteins and their subsequent proteasomal degradation. Essential for the maturation of ubiquitin-containing autophagosomes and the clearance of ubiquitinated protein by autophagy. Acts as a negative regulator of type I interferon production by interacting with DDX58/RIG-I: interaction takes place when DDX58/RIG-I is ubiquitinated via 'Lys-63'-linked ubiquitin on its CARD domains, leading to recruit RNF125 and promote ubiquitination and degradation of DDX58/RIG-I. May play a role in the ubiquitin-dependent sorting of membrane proteins to lysosomes where they undergo degradation. May more particularly play a role in caveolins sorting in cells. By controlling the steady-state expression of the IGF1R receptor, indirectly regulates the insulin-like growth factor receptor signaling pathway.
-
基因功能參考文獻:
- These results indicate that the outer membrane protein MCL1 is degraded by the VCP-UBXD1 complex and that the process is promoted by the presence of mutant Huntingtin. PMID: 27913212
- Study results suggest that VCP recruitment to mitochondria by mtHtt is a crucial step in the initiation of neuropathology in Huntington's disease. PMID: 27561680
- ASPL efficiently promotes p97 hexamer disassembly, resulting in the formation of stable p97:ASPL. Overproduction of ASPL disrupts p97 hexamer function in endoplasmic reticulum-associated protein degradation. PMID: 27762274
- Data indicate that approximately 9% of patients with valosin-containing protein (VCP) mutations had an amyotrophic lateral sclerosis (ALS) phenotype, 4% had been diagnosed with Parkinson's disease (PD), and 2% had been diagnosed with Alzheimer's disease (AD). PMID: 28692196
- CB-5083 decreases viability in multiple myeloma cell lines and patient-derived multiple myeloma cells, including those with background proteasome inhibitor (PI) resistance. CB-5083 has a unique mechanism of action that combines well with PIs, which is likely owing to the p97-dependent retro-translocation of the transcription factor, Nrf1, which transcribes proteasome subunit genes following exposure to a PI PMID: 28878026
- a p97 mutant that causes inclusion body myopathy, Paget's disease of bone, and frontotemporal dementia unfolds substrate faster, suggesting that excess activity may underlie pathogenesis PMID: 28512218
- Results report that VCP/p97 promotes the degradation of ubiquitylated GS, resulting in its accumulation in cells with compromised p97 function. Notably, p97 is also required for the degradation of all four known CRBN neo-substrates [IKZF1, IKZF3, CK1alpha, and GSPT1] whose ubiquitylation is induced by immunomodulatory drugs. PMID: 28320958
- non-cell-autonomous effects of VCP-mutant astrocytes on both control and mutant Motor neurons, were examined. PMID: 28564594
- AAA-ATPase p97 suppresses apoptotic and autophagy-associated cell death in rheumatoid arthritis synovial fibroblasts. PMID: 27623077
- Data suggest ATXN3 binds with low-micromolar affinity to both wild-type p97/VCP and mutants linked to proteostasis deficiency multisystem proteinopathy 1 (MSP1; also called hereditary inclusion body myopathy); stoichiometry of binding is one ATXN3 molecule per p97/VCP hexamer in presence of ATP; MSP1 mutants of p97/VCP bind ATXN3 irrespective of nucleotide state. (VCP = valosin-containing protein/ATPase; ATXN3 = ataxin-3) PMID: 28939772
- a substantial proportion of the beta2AR produced is non-functional and VCP plays a key role in the maturation and trafficking of the beta2AR. PMID: 27887991
- Its mutation is not found in a cohort of German patients with sporadic amyotrophic lateral sclerosis and frontotemporal lobar degeneration comorbidity. PMID: 28551275
- When HEK293T cells were co-transfected with IQGAP1 and VCP, an immunoprecipitation assay revealed that binding of IQGAP1 with disease-related mutant (R155H or A232E) VCP was markedly reduced compared to wild-type VCP. This suggests that reduction of IQGAP1 and VCP interaction may be associated with the pathophysiology of inclusion body myopathy with Paget's disease of bone and frontotemporal dementia (IBMPFD). PMID: 28970065
- Rare variants in VCP genes are risk for sporadic inclusion body myositis. PMID: 27594680
- Knockdown of the host ubiquitin-dependent segregase VCP/p97, results in loss of IE2 expression, subsequent suppression of early and late gene expression and, ultimately, failure in virus replication. NMS-873, a small molecule inhibitor of VCP, is a potent HCMV antiviral with potential as a novel host targeting therapeutic for HCMV infection. PMID: 28494016
- VCP removes sterically trapped Ku70/80 rings from DNA in double-strand break repair. PMID: 27716483
- Data suggest that AAA+ (ATPases associated with diverse cellular activities) ATPase p97 is essential to wide range of cellular functions, including endoplasmic reticulum-associated degradation, membrane fusion, NFkappaB (nuclear factor kappa-light-chain-enhancer of activated B cells) activation, and chromatin-associated processes, which are regulated by ubiquitination. [REVIEW] PMID: 28819009
- Upon damage, p97 translocates to lysosomes and there cooperates with a distinct set of cofactors including UBXD1, PLAA, and the deubiquitinating enzyme YOD1, which we term ELDR components for Endo-Lysosomal Damage Response. PMID: 27753622
- Data show that inhibition of VCP/p97, or siRNA-mediated ablation of VCP/p97 impairs ultraviolet radiation (UVR)-induced RNA polymerase II (RNAPII) degradation. PMID: 28036256
- p97 negatively regulates NRF2 through the canonical pathway by extracting ubiquitylated NRF2 from the KEAP1-CUL3 E3 complex. PMID: 28115426
- Data suggest that dimerization of UBX domain protein 7 (UBXD7) could affect the formation of the p97 ATPase-UBXD7 complex. PMID: 28274878
- a VCP mutation/knockdown-induced dysregulation in the adenine nucleotide translocase, which results in a slower rate of ADP or ATP translocation across the mitochondrial membranes. PMID: 28360103
- The functional motions of p97 using symmetric normal modes have been predicted. PMID: 27653958
- insights into the interactions between other SHP-containing proteins and p97N PMID: 27714797
- The findings of the present study indicated that VCP is very important for the proliferation and metastasis of colorectal cancer; therefore, targeting VCP and its downstream targets may represent novel therapies for the treatment of colorectal cancer. PMID: 27344168
- Timely and efficient degradation of ubiquitinated IkappaB[alpha], concomitant with timely and efficient liberation of RelA from ubiquitinated IkappaB[alpha] and RelA nuclear translocation, essentially depends on the presence of functional p97/VCP. PMID: 26463447
- Its gene mutation is correlated with occurrence of amyotrophic lateral sclerosis. PMID: 26511028
- results have revealed SUMOylation as a molecular signaling switch to regulate the distribution and functions of VCP during stress response, and suggest that deficiency in VCP SUMOylation caused by pathogenic mutations will render cells vulnerable to stress insults. PMID: 27226613
- depletion of VCP enzymatic activity triggers cancer cell death in part through inadequate regulation of protein synthesis and amino acid metabolism. PMID: 26720340
- new role of VCP/p97 segregase in the timely processing of ubiquitinated CSB from damaged chromatin. PMID: 26826127
- Ankrd13 proteins cooperate with VCP to regulate the lysosomal trafficking of ubiquitinated Cav-1. PMID: 26797118
- results suggest that human Cdc48 interacts functionally with the 20S proteasome. PMID: 26134898
- we show that loss of VCP induces endoplasmic reticulum stress and epithelial-mesenchymal transition PMID: 25970786
- interaction between SelK and p97(VCP) is SelS-dependent, and the resulting ERAD complex (SelS-p97(VCP)-SelK) plays an important role in ERAD and ER stress PMID: 26504085
- this study demonstrates significant correlation between the cytoplasmic expression of VCP and adverse prognosis in breast carcinoma, suggesting that VCP may serve as a prognostic biomarker in breast carcinoma. PMID: 26168958
- UBXD1-N intercalates into the p97-ND1 interface, thereby modulating interdomain communication of p97 domains and its activity with relevance for disease pathogenesis PMID: 26475856
- Our results provide the first structural clues of how VCP mutations may influence the activity and function of the D2 ATPase ring. PMID: 26549226
- Data indicate that ATPase p97 is a key mediator of several protein homeostasis processes and is a strong potential cancer target. PMID: 26555175
- activity of the p97-associated deubiquitinylase YOD1 is also required for substrate disposal PMID: 26463207
- specific silencing of Derlin-2, p97 and HRD1 by shRNAs increases steady state levels of proinsulin. these ERAD constituents are critically involved in proinsulin degradation and may therefore also play a role in subsequent antigen generation. PMID: 26107514
- A novel UGGT1- and p97-dependent protein quality checkpoint is shown. This checkpoint is alerted to prevent secretion of a polypeptide that passes the luminal quality control scrutiny by BiP and CNX but contains an intramembrane ionizable residue. PMID: 25694454
- Data show that UBXN10 localizes to cilia in a AAA-ATPase VCP-dependent manner and both VCP and UBXN10 are required for ciliogenesis. PMID: 26389662
- Valosin-containing protein is required for coronavirus exit from endosomes. PMID: 26311884
- Studies indicate that cofactor binding results in defined, productive p97 (also known as Cdc48, Ter94, and VCP) assemblies with specific cellular functions. PMID: 26320413
- A novel mutation, p.Arg487His Mutation in the VCP gene encoding valosin-containing protein (VCP) causes sporadic amyotrophic lateral sclerosis in Japanese. PMID: 25457024
- Data uncover an unexpected role for p97 in activation of transcription factor Nrf1 by relocalizing it from the endoplasmic reticulum lumen to the cytosol. PMID: 24448410
- Results support the idea that VCP is associated with the pathomechanism of sporadic amyotrophic lateral sclerosis and familial amyotrophic lateral sclerosis with a VCP mutation, presumably acting through a dominant-negative mechanism PMID: 25492614
- Data showed that VCP mutations are not a major cause of FALS in the UK population although novel rare variations in the 5' UTR of the VCP gene may be pathogenic. PMID: 25618255
- The level of VCP-intensity determined by immunohistochemistry could be an additional prognostic marker in HPV-negative (OSCC). PMID: 25463965
- targeting miR-129-5p/VCP signaling pathway may serve as a therapeutic strategy for osteosarcoma management PMID: 25566966
顯示更多
收起更多
-
相關疾病:Inclusion body myopathy with early-onset Paget disease with or without frontotemporal dementia 1 (IBMPFD1); Amyotrophic lateral sclerosis 14, with or without frontotemporal dementia (ALS14); Charcot-Marie-Tooth disease 2Y (CMT2Y)
-
亞細胞定位:Cytoplasm, cytosol. Endoplasmic reticulum. Nucleus. Cytoplasm, Stress granule.
-
蛋白家族:AAA ATPase family
-
數據庫鏈接:
Most popular with customers
-
Phospho-YAP1 (S127) Recombinant Monoclonal Antibody
Applications: ELISA, WB, IHC
Species Reactivity: Human
-
-
-
-
-
-
-















