MAPK14 Recombinant Monoclonal Antibody
-
中文名稱:MAPK14重組抗體
-
貨號:CSB-RA236860A0HU
-
規格:¥1320
-
圖片:
-
Western Blot
Positive WB detected in: MCF-7 whole cell lysate, PC-3 whole cell lysate, L02 whole cell lysate
All lanes: p38 antibody at 1:1000
Secondary
Goat polyclonal to rabbit IgG at 1/50000 dilution
Predicted band size: 42, 42, 35, 36 kDa
Observed band size: 42 kDa -
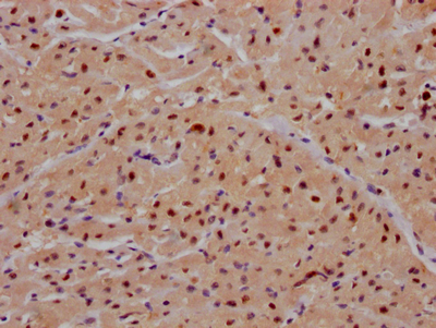
IHC image of CSB-RA236860A0HU diluted at 1:100 and staining in paraffin-embedded human heart tissue performed on a Leica BondTM system. After dewaxing and hydration, antigen retrieval was mediated by high pressure in a citrate buffer (pH 6.0). Section was blocked with 10% normal goat serum 30min at RT. Then primary antibody (1% BSA) was incubated at 4℃ overnight. The primary is detected by a Goat anti-rabbit IgG polymer labeled by HRP and visualized using 0.05% DAB.
-
IHC image of CSB-RA236860A0HU diluted at 1:100 and staining in paraffin-embedded human brain tissue performed on a Leica BondTM system. After dewaxing and hydration, antigen retrieval was mediated by high pressure in a citrate buffer (pH 6.0). Section was blocked with 10% normal goat serum 30min at RT. Then primary antibody (1% BSA) was incubated at 4℃ overnight. The primary is detected by a Goat anti-rabbit IgG polymer labeled by HRP and visualized using 0.05% DAB.
-
Immunofluorescence staining of Hela Cells with CSB-RA236860A0HU at 1:50, counter-stained with DAPI. The cells were fixed in 4% formaldehyde, permeated by 0.2% TritonX-100, and blocked in 10% normal Goat Serum. The cells were then incubated with the antibody overnight at 4℃. Nuclear DNA was labeled in blue with DAPI. The secondary antibody was FITC-conjugated AffiniPure Goat Anti-Rabbit IgG (H+L).
-
-
其他:
產品詳情
-
產品描述:MAPK14 Recombinant Monoclonal Antibody(CSB-RA236860A0HU)靶向絲裂原活化蛋白激酶14(MAPK14/p38α),該靶點作為MAPK信號通路的核心成員,廣泛參與細胞應激響應、炎癥調控及凋亡等關鍵生物學過程。本抗體采用重組單克隆技術制備,具有高特異性和批次穩定性,經嚴格驗證適用于多種實驗場景:在Western Blot中可清晰識別靶蛋白,推薦稀釋比為1:500至1:5000;免疫組織化學(IHC)分析組織樣本時建議使用1:50至1:200稀釋度;免疫熒光(IF)實驗針對固定細胞樣本推薦1:20至1:200的稀釋范圍,并提供典型實驗圖示供參考。該產品適用于探究MAPK14在炎癥相關疾病模型、應激信號通路調控機制以及藥物靶點篩選等基礎研究領域,可配合細胞裂解液、石蠟包埋組織切片或體外培養細胞等樣本類型開展實驗,為深入解析p38α介導的分子網絡提供可靠工具。
-
Uniprot No.:
-
基因名:
-
別名:Mitogen-activated protein kinase 14 (MAP kinase 14) (MAPK 14) (EC 2.7.11.24) (Cytokine suppressive anti-inflammatory drug-binding protein) (CSAID-binding protein) (CSBP) (MAP kinase MXI2) (MAX-interacting protein 2) (Mitogen-activated protein kinase p38 alpha) (MAP kinase p38 alpha) (Stress-activated protein kinase 2a) (SAPK2a), MAPK14, CSBP CSBP1 CSBP2 CSPB1 MXI2 SAPK2A
-
反應種屬:Human
-
免疫原:A synthesized peptide derived from human p38
-
免疫原種屬:Homo sapiens (Human)
-
標記方式:Non-conjugated
-
克隆類型:Monoclonal
-
抗體亞型:Rabbit IgG
-
純化方式:Affinity-chromatography
-
克隆號:2C11
-
濃度:It differs from different batches. Please contact us to confirm it.
-
保存緩沖液:Rabbit IgG in 10mM phosphate buffered saline , pH 7.4, 150mM sodium chloride, 0.05% BSA, 0.02% sodium azide and 50% glycerol.
-
產品提供形式:Liquid
-
應用范圍:ELISA, WB, IHC, IF
-
推薦稀釋比:
Application Recommended Dilution WB 1:500-1:5000 IHC 1:50-1:200 IF 1:20-1:200 -
Protocols:
-
儲存條件:Upon receipt, store at -20°C or -80°C. Avoid repeated freeze.
-
貨期:Basically, we can dispatch the products out in 1-3 working days after receiving your orders. Delivery time maybe differs from different purchasing way or location, please kindly consult your local distributors for specific delivery time.
-
用途:For Research Use Only. Not for use in diagnostic or therapeutic procedures.
相關產品
靶點詳情
-
功能:Serine/threonine kinase which acts as an essential component of the MAP kinase signal transduction pathway. MAPK14 is one of the four p38 MAPKs which play an important role in the cascades of cellular responses evoked by extracellular stimuli such as proinflammatory cytokines or physical stress leading to direct activation of transcription factors. Accordingly, p38 MAPKs phosphorylate a broad range of proteins and it has been estimated that they may have approximately 200 to 300 substrates each. Some of the targets are downstream kinases which are activated through phosphorylation and further phosphorylate additional targets. RPS6KA5/MSK1 and RPS6KA4/MSK2 can directly phosphorylate and activate transcription factors such as CREB1, ATF1, the NF-kappa-B isoform RELA/NFKB3, STAT1 and STAT3, but can also phosphorylate histone H3 and the nucleosomal protein HMGN1. RPS6KA5/MSK1 and RPS6KA4/MSK2 play important roles in the rapid induction of immediate-early genes in response to stress or mitogenic stimuli, either by inducing chromatin remodeling or by recruiting the transcription machinery. On the other hand, two other kinase targets, MAPKAPK2/MK2 and MAPKAPK3/MK3, participate in the control of gene expression mostly at the post-transcriptional level, by phosphorylating ZFP36 (tristetraprolin) and ELAVL1, and by regulating EEF2K, which is important for the elongation of mRNA during translation. MKNK1/MNK1 and MKNK2/MNK2, two other kinases activated by p38 MAPKs, regulate protein synthesis by phosphorylating the initiation factor EIF4E2. MAPK14 interacts also with casein kinase II, leading to its activation through autophosphorylation and further phosphorylation of TP53/p53. In the cytoplasm, the p38 MAPK pathway is an important regulator of protein turnover. For example, CFLAR is an inhibitor of TNF-induced apoptosis whose proteasome-mediated degradation is regulated by p38 MAPK phosphorylation. In a similar way, MAPK14 phosphorylates the ubiquitin ligase SIAH2, regulating its activity towards EGLN3. MAPK14 may also inhibit the lysosomal degradation pathway of autophagy by interfering with the intracellular trafficking of the transmembrane protein ATG9. Another function of MAPK14 is to regulate the endocytosis of membrane receptors by different mechanisms that impinge on the small GTPase RAB5A. In addition, clathrin-mediated EGFR internalization induced by inflammatory cytokines and UV irradiation depends on MAPK14-mediated phosphorylation of EGFR itself as well as of RAB5A effectors. Ectodomain shedding of transmembrane proteins is regulated by p38 MAPKs as well. In response to inflammatory stimuli, p38 MAPKs phosphorylate the membrane-associated metalloprotease ADAM17. Such phosphorylation is required for ADAM17-mediated ectodomain shedding of TGF-alpha family ligands, which results in the activation of EGFR signaling and cell proliferation. Another p38 MAPK substrate is FGFR1. FGFR1 can be translocated from the extracellular space into the cytosol and nucleus of target cells, and regulates processes such as rRNA synthesis and cell growth. FGFR1 translocation requires p38 MAPK activation. In the nucleus, many transcription factors are phosphorylated and activated by p38 MAPKs in response to different stimuli. Classical examples include ATF1, ATF2, ATF6, ELK1, PTPRH, DDIT3, TP53/p53 and MEF2C and MEF2A. The p38 MAPKs are emerging as important modulators of gene expression by regulating chromatin modifiers and remodelers. The promoters of several genes involved in the inflammatory response, such as IL6, IL8 and IL12B, display a p38 MAPK-dependent enrichment of histone H3 phosphorylation on 'Ser-10' (H3S10ph) in LPS-stimulated myeloid cells. This phosphorylation enhances the accessibility of the cryptic NF-kappa-B-binding sites marking promoters for increased NF-kappa-B recruitment. Phosphorylates CDC25B and CDC25C which is required for binding to 14-3-3 proteins and leads to initiation of a G2 delay after ultraviolet radiation. Phosphorylates TIAR following DNA damage, releasing TIAR from GADD45A mRNA and preventing mRNA degradation. The p38 MAPKs may also have kinase-independent roles, which are thought to be due to the binding to targets in the absence of phosphorylation. Protein O-Glc-N-acylation catalyzed by the OGT is regulated by MAPK14, and, although OGT does not seem to be phosphorylated by MAPK14, their interaction increases upon MAPK14 activation induced by glucose deprivation. This interaction may regulate OGT activity by recruiting it to specific targets such as neurofilament H, stimulating its O-Glc-N-acylation. Required in mid-fetal development for the growth of embryo-derived blood vessels in the labyrinth layer of the placenta. Also plays an essential role in developmental and stress-induced erythropoiesis, through regulation of EPO gene expression. Isoform MXI2 activation is stimulated by mitogens and oxidative stress and only poorly phosphorylates ELK1 and ATF2. Isoform EXIP may play a role in the early onset of apoptosis. Phosphorylates S100A9 at 'Thr-113'.; (Microbial infection) Activated by phosphorylation by M.tuberculosis EsxA in T-cells leading to inhibition of IFN-gamma production; phosphorylation is apparent within 15 minute and is inhibited by kinase-specific inhibitors SB203580 and siRNA.
-
基因功能參考文獻:
- p38-mediated phosphorylation at threonine 367 induces EZH2 cytoplasmic localization to promote breast cancer metastasis. PMID: 30022044
- High expression of p38MAPK is associated with diabetic cataract. PMID: 29936249
- p38 capital EM, Cyrilliccapital A, Cyrilliccapital ER, Cyrilliccapital KA, Cyrillic participates in the pathogenesis of epithelial-to-mesenchymal transition through Wnt pathway. PMID: 30074215
- The Cox proportional hazard models revealed that IL12Rb2 and p38MAPK predicted a long OS. To the best of our knowledge, the present study is the first to reveal a close association between IL12Rb2 and p38MAPK, and their possible function in nonsmall cell lung cancer progression PMID: 29956791
- Data show that miR-625-3p induces oxaliplatin resistance by abrogating MAP2K6-p38-regulated apoptosis and cell cycle control networks. PMID: 27526785
- Immune profiling of human prostate epithelial cells in health and pathology determined by expression of p38/TRAF-6/ERK MAP kinases pathways has been reported. PMID: 29475459
- The cytotoxicity induced by EB1 gene knockdown was due to the activation and generation of reactive oxygen species by p38 mitogen-activated protein kinase..this signaling cascade, however not nuclear factor-kappaB-mediated signaling, induced the expression of cyclooxygenase-2, a key effector of apoptotic death. PMID: 29484424
- Data, including data using network analysis, suggest that angiotensinogen (AGT), mitogen-activated protein kinase-14 (MAPK14), and prothrombin (F2) in placental villous tissues are core factors in early embryonic development; these studies involved proteomics and bioinformatics analysis of altered protein expression in placental villous tissue from early recurrent miscarriage patients in comparison to control tissues. PMID: 29277264
- The role of p38 MAP kinase signaling in metastatic clear cell renal cell carcinoma PMID: 28659173
- Rhythmic luciferase activity from clock gene luciferase reporter cells lines was used to test the effect of p38 MAPK inhibition on clock properties as determined using the damped sine fit and Levenberg-Marquardt algorithm.Glioma treatment with p38 MAPK inhibitors may be more effective and less toxic if administered at the appropriate time of the day. PMID: 29316898
- Hsp27 and P38MAPK could be used as prognostic factors in Esophageal squamous cell carcinoma. PMID: 29099815
- High p38MAPK expression is associated with non-small cell lung cancer metastasis. PMID: 28656293
- when the cells were treated with SB203580, an inhibitor of the p38 MAPK pathway, the osteogenic effects of Epo on hPDLSCs and pPDLSCs were attenuated. In conclusion, Epo may upregulate the bone formation ability of hPDLSCs and pPDLSCs via the p38 MAPK pathways PMID: 29207066
- KLF4 overcomes tamoxifen resistance by suppressing MAPK signaling pathway and predicts good prognosis in breast cancer. PMID: 28988130
- These results suggest that PYP treatment had a preventive effect on nephrotoxicity, specifically by downregulating the MAPK and NFkappaB signaling pathways and the mRNA levels of inflammatory genes PMID: 29115386
- hepatic p38alpha MAPK functions as a negative regulator of liver steatosis in maintaining hepatic bile acid synthesis and fatty acid beta-oxidation by antagonizing the c-Jun N-terminal kinase (JNK). PMID: 29022907
- The results reveal a new connection between p38MAPK, MYC and NOTCH signaling, demonstrate two mechanisms of NOTCH3 regulation and provide evidence for NOTCH3 involvement in prostate luminal cell differentiation. PMID: 28446540
- Overall, these results suggest that p53 is involved in improving insulin sensitivity of hepatic cells via inhibition of mitogen-activated protein kinases (MAPKs) and NF-kappaB pathways. PMID: 29258820
- Data show that the combination of targeting RAD51 and p38 inhibits cell proliferation both in vitro and in vivo, which was further enhanced by targeting of PARP1. PMID: 27507046
- Fas-FasL is the preferred death pathway for both Th1 and Th17 and that inherently low Erk2 activity protected Th17 cells from TCR AICD. PMID: 27486885
- provide the first report that p38-p38IP is required for the Snail-induced E-cadherin down-regulation and cell invasion in HNSCC PMID: 27531877
- GATA4 is a regulator of osteoblastic differentiation via the p38 signaling pathways. PMID: 28393293
- CX3CL1/CX3CR1 axis plays a key role in the development of ischemia-induced oligodendrocyte injury via p38MAPK signaling pathway. PMID: 26189830
- Data suggest that in vitro-induction of CD8+ Tregs depended in part on transforming growth factor beta 1 (TGF-beta1) activation of p38 MAPK signaling, and that p38 MAPK could be a therapeutic target in ovarian cancer (OC) anti-tumor immunotherapy. PMID: 27322208
- present study provides evidence that variations in GADD45B rs2024144T, MAPK14 rs3804451A and GADD45A rs581000C may predict platinum-based chemotherapy toxicity outcomes in patients with advanced non-small cell lung cancer PMID: 26993769
- Gab1/SHP2/p38MAPK signaling pathway and Ang-2 have an essential role in regulating thrombin-induced monocyte adhesion and vascular leakage PMID: 27241812
- Studies suugest Wip1 role in tumorigenesis through regulation of p53 and p38MAPK pathways. PMID: 26883196
- Data show that Cx43 was inhibited predominantly via IL-1beta-activated ERK1/2 and p38 MAP kinase cascades. PMID: 28938400
- cyclophilin-dependent isomerisation of p38MAPK is an important novel mechanism in regulating p38MAPK phosphorylation and functions. PMID: 27233083
- MEK2 was essential for the phosphorylation of MKK3/MKK6 and p38 MAPK that directly impacted on cyclin D1 expression. PMID: 27181679
- stress-induced activation of p38 MAPK and apoptosis in endothelial cells and established the link between the acid sphingomyelinase/ceramide and p38 MAPK pathways. PMID: 28179144
- The results of this study suggest for the first time that cadmium induces MUC8 expression via TLR4-mediated ERK1/2 and p38 MAPK signaling pathway in human airway epithelial cells PMID: 26782637
- These data suggested that t-BHP induced both apoptosis and necroptosis in endothelial cells which was mediated by ROS and p38MAPK. ROS derived from NADPH oxidase and mitochondria contributed to t-BHPL and t-BHPH-induced apoptosis and necroptosis, respectively PMID: 28088644
- TNF-alpha stimulated IL-33 expression through ERK, p38, and NFkappaB pathways in primary nasal epithelial cells and A549 cells PMID: 27060290
- S. aureus evades phagophores and prevents further degradation by a MAPK14/p38alpha MAP kinase-mediated blockade of autophagy. PMID: 27629870
- p38-dependent mechanism that phosphorylates GATA-2 and increases GATA-2 target gene activation has been demonstrated. This mechanism establishes a growth-promoting chemokine/cytokine circuit in acute myeloid leukemia cells. PMID: 27545880
- our results strongly indicate that the crosstalk between p38 and Akt pathways can determine special AT-rich sequence-binding protein 2 expression and epithelial character of non-small-cell lung carcinoma cells PMID: 28937318
- Osmotic stress promotes TEAD4 cytoplasmic translocation via p38 MAPK in a Hippo-independent manner. Stress-induced TEAD inhibition predominates YAP-activating signals and selectively suppresses YAP-driven cancer cell growth. PMID: 28752853
- TGF-beta induces p38alpha (mitogen-activated protein kinase 14 [MAPK14]), which in turn phosphorylates NR4A1, resulting in nuclear export of the receptor. PMID: 28674186
- Data suggest that suppression of nonsense-mediated RNA decay due to persistent DNA damage (from exposure to either mutagens, gamma rays, or oxidative stress) requires the activity of p38alpha MAPK (MAPK14, mitogen-activated protein kinase 14, MAP kinase p38 alpha); mRNA of ATF3 (activating transcription factor 3) is stabilized by persistent DNA damage in a p38alpha MAPK-dependent manner. PMID: 28765281
- VEGF-activated p38alpha phosphorylates coronin 1B at Ser2 and activates the Arp2/3 complex by liberating it from coronin 1B. PMID: 27592029
- findings show that endothelial MAPKs ERK, p38, and JNK mediate diapedesis-related and diapedesis-unrelated functions of ICAM-1 in cerebral and dermal microvascular endothelial cells PMID: 28373581
- Tetraarsenic hexoxide (As4O6) induced G2/M arrest, apoptosis and autophagic cell death through PI3K/Akt and p38 MAPK pathways alteration in SW620 colon cancer cells. PMID: 28355296
- The N-Terminal phosphorylation of RB by p38 bypasses its inactivation by cyclin-dependent kinases and prevents proliferation in cancer cells. PMID: 27642049
- Inhibition of MAPK14 conclusively facilitates elucidation of the impact of the complex network of p38 MAPK signaling on atherogenesis. PMID: 27871059
- Collectively, this study provides more insights into RELT expression, RELT family member function, and the mechanism of RELT-induced death. PMID: 28688764
- Data, including data from studies conducted in cells from transgenic/knockout mice, suggest that p38alpha MAPK (MAPK14) activity is required for hypoxia-induced pro-angiogenic activity involving cardiomyocytes and vascular endothelial cells; p38 MAPK activation in cardiomyocyte is sufficient to promote paracrine signaling-mediated, pro-angiogenic activity/myocardial revascularization. PMID: 28637870
- The findings indicate that p38alpha and GADD45alpha are involved in an enhanced vitamin D signaling on TRPV6 expression. PMID: 28578001
- These results suggest that the p38/NPM/PP2A complex acts as a dynamic sensor, allowing endothelial cells to react rapidly to acute oxidative stress. PMID: 27142525
- Inhibition of the inflammatory signaling intermediate p38 MAPK reduced tissue factor (TF) mRNA by one third but increased tumor necrosis factor (TNF) and interleukin-1 beta (IL-1beta) mRNA. PMID: 28343272
顯示更多
收起更多
-
亞細胞定位:Cytoplasm. Nucleus.
-
蛋白家族:Protein kinase superfamily, CMGC Ser/Thr protein kinase family, MAP kinase subfamily
-
組織特異性:Brain, heart, placenta, pancreas and skeletal muscle. Expressed to a lesser extent in lung, liver and kidney.
-
數據庫鏈接:
Most popular with customers
-
-
YWHAB Recombinant Monoclonal Antibody
Applications: ELISA, WB, IHC, IF, FC
Species Reactivity: Human, Mouse, Rat
-
Phospho-YAP1 (S127) Recombinant Monoclonal Antibody
Applications: ELISA, WB, IHC
Species Reactivity: Human
-
-
-
-
-















