TRAPPC2 Recombinant Monoclonal Antibody
-
中文名稱:TRAPPC2 Recombinant Monoclonal Antibody
-
貨號:CSB-RA791753A0HU
-
規格:¥1320
-
圖片:
-
Western Blot
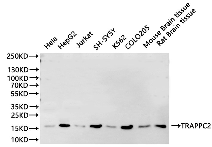
Positive WB detected in: Hela whole cell lysate(30μg), HEK293 whole cell lysate(30μg), Jurkat whole cell lysate(30μg), SH-SY5Y whole cell lysate(30μg), K562 whole cell lysate(30μg), COLO-205 whole cell lysate(30μg), Mouse brain tissue lysate(30μg), Rat brain tissue lysate(30μg)
All lanes:TRAPPC2 antibody at 1:1000
Secondary
Goat polyclonal to rabbit IgG at 1/40000 dilution
Predicted band size: 16 kDa
Observed band size: 14 kDa
Exposure time:2min -
IHC image of CSB-RA791753A0HU diluted at 1:100 and staining in paraffin-embedded human brain tissue performed on a Leica BondTM system. After dewaxing and hydration, antigen retrieval was mediated by high pressure in a citrate buffer (pH 6.0). Section was blocked with 10% normal goat serum 30min at RT. Then primary antibody (1% BSA) was incubated at 4°C overnight. The primary is detected by a Goat anti-rabbit polymer IgG labeled by HRP and visualized using 0.05% DAB.
-
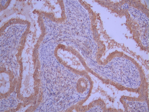
IHC image of CSB-RA791753A0HU diluted at 1:100 and staining in paraffin-embedded human endometrial cancer performed on a Leica BondTM system. After dewaxing and hydration, antigen retrieval was mediated by high pressure in a citrate buffer (pH 6.0). Section was blocked with 10% normal goat serum 30min at RT. Then primary antibody (1% BSA) was incubated at 4°C overnight. The primary is detected by a Goat anti-rabbit polymer IgG labeled by HRP and visualized using 0.05% DAB.
-
Immunofluorescence staining of HepG2 cell with CSB-RA791753A0HU at 1:50 , counter-stained with DAPI. The cells were fixed in 4% formaldehyde, permeabilized using 0.2% Triton X-100 and blocked in 10% normal Goat Serum. The cells were then incubated with the antibody overnight at 4°C. The secondary antibody was Alexa Fluor 488-congugated AffiniPure Goat Anti-Rabbit IgG(H+L).
-
Overlay Peak curve showing Hela cells stained with CSB-RA791753A0HU (red line) at 1:100. The cells were fixed in 4% formaldehyde and permeated by 0.2% TritonX-100 for 10min. Then 10% normal goat serum to block non-specific protein-protein interactions followed by the antibody (1ug/1*106cells) for 45min at 4℃. The secondary antibody used was FITC-conjugated goat anti-rabbit IgG (H+L) at 1/200 dilution for 35min at 4℃.Control antibody (green line) was Rabbit IgG (1ug/1*106cells) used under the same conditions. Acquisition of >10, 000 events was performed.
-
-
其他:
產品詳情
-
Uniprot No.:
-
基因名:TRAPPC2
-
別名:TRAPPC2 antibody; SEDL antibody; Trafficking protein particle complex subunit 2 antibody; Sedlin antibody
-
反應種屬:Human, Mouse, Rat
-
免疫原:A synthesized peptide from human TRAPPC2 protein
-
免疫原種屬:Homo sapiens (Human)
-
標記方式:Non-conjugated
-
克隆類型:Monoclonal
-
抗體亞型:Rabbit IgG
-
純化方式:Affinity-chromatography
-
克隆號:13F9
-
濃度:It differs from different batches. Please contact us to confirm it.
-
保存緩沖液:Rabbit IgG in 10mM phosphate buffered saline , pH 7.4, 150mM sodium chloride, 0.05% BSA, 0.02% sodium azide and 50% glycerol.
-
產品提供形式:Liquid
-
應用范圍:ELISA, WB, IHC, IF, FC
-
推薦稀釋比:
Application Recommended Dilution WB 1:500-1:5000 IHC 1:50-1:200 IF 1:50-1:200 FC 1:50-1:200 -
Protocols:
-
儲存條件:Upon receipt, store at -20°C or -80°C. Avoid repeated freeze.
-
貨期:Basically, we can dispatch the products out in 1-3 working days after receiving your orders. Delivery time maybe differs from different purchasing way or location, please kindly consult your local distributors for specific delivery time.
-
用途:For Research Use Only. Not for use in diagnostic or therapeutic procedures.
相關產品
靶點詳情
-
功能:Prevents transcriptional repression and induction of cell death by ENO1. May play a role in vesicular transport from endoplasmic reticulum to Golgi.
-
基因功能參考文獻:
- c.93+5G>A mutation in the TRAPPC2 gene is associated with X-linked spondyloepiphyseal dysplasia in a Chinese family. PMID: 26252088
- a novel hemizygous mutation, c.341-(11_9)delAAT, in an intron of TRAPPC caused spondyloepiphyseal dysplasia tarda PMID: 23656395
- Data suggest that c.267_271delAAGAC frameshift mutation of the exon 5 of the spondyloepiphyseal dysplasia, late protein (SEDL) gene probably underlies the disease in the family. PMID: 25297591
- identification of the novel nonsense mutation (c.61G>T) in the SEDT family enables carrier detection, genetic counseling, and prenatal diagnosis. PMID: 24841781
- A novel splicing mutation in the SEDL gene causes spondyloepiphyseal dysplasia tarda in a large Chinese pedigree. PMID: 23876379
- Studies indicate that splice site mutation that leads to aberrant splicing often causes genetic skeletal system disease, like COL1A1, SEDL and LRP. PMID: 23800666
- Sedlin bound and promoted efficient cycling of Sar1, a guanosine triphosphatase that can constrict membranes, and thus allowed nascent carriers to grow and incorporate procollagen prefibrils. PMID: 23019651
- Data show that a disease-causing mutation of TRAPPC2, D47Y, failed to interact with either TRAPPC9 or TRAPPC8, suggesting that aspartate 47 in TRAPPC2 is at or near the site of interaction with TRAPPC9 or TRAPPC8. PMID: 21858081
- Data indicate SPATA4 interacts with the C2 portion of the TRAPP complex. PMID: 21827752
- SEDLIN is present in the nucleus, forms homodimers and that SEDT-associated mutations cause a loss of interaction with the transcription factors MBP1, PITX1 and SF1. PMID: 20498720
- The results suggest that nucleus-localized Sedlin may play a role in regulation of transcriptional activities of the MRG family of transcription factors via binding to PAM14. PMID: 20108251
- Identification of the novel insertion mutation (c.370-371insA) in this X-linked spondyloepiphyseal dysplasia tarda family is predicted to result in frameshifts and generate a premature stop codon PMID: 19766614
- A novel mutation produces a truncated protein, which may be useful in determining carboxy-terminal function PMID: 12030902
- SEDL mutations are not a common cause of early primary osteoarthritis in men. PMID: 12123495
- The mutation IVS2 -2A-->C of SEDL gene was firstly determined in the world. The change of the splice acceptor in SEDL intron 2 may cause skipping of exon 3 which is responsible for the X-linked spondyloepiphyseal dysplasia tarda. PMID: 12579492
- A previously unreported deletion of T in exon 5 of SEDL gene (293delT) was observed in 2 spondyloepiphyseal dysplasia probands in a Chinese family; seven individuals in the family carry the mutation resulting in frameshift and a putative truncated protein PMID: 12650905
- 3 new SEDL mutations were found: 1 in the non-canonical 5' splice site of intron 4 (IVS4+4T>C), a deletion in exon 6 [333-336del(GAAT) & a 1.335-kb deletion (in5/ex6del). PMID: 12919139
- Sedl protein may participate in the ER-to-Golgi transport as part of a novel highly conserved multiprotein TRAPP complex PMID: 12939648
- Six novel SEDL mutations found in European X-linked spondyloepiphyseal dysplasia tarda patients. PMID: 15221797
- The 13 bp deletion mutation consisting of IVS5-2-1delAG and 322-332del TTTTCAATGAA was identified in SEDL patients, but not detected in unrelated normal male individuals. PMID: 15300622
- Data show that mutation of acceptor splice site of the SEDL gene in X-linked spondyloepiphyseal dysplasia tarda causes the activation of cryptic splice site. PMID: 15952107
- SEDL gene mutation in a Chinese family with X-linked spondyloepiphyseal dysplasia tarda (SEDL) PMID: 18247296
- A novel missense mutation (H80R) was identified for SEDL gene in the large Chinese SEDT pedigree. PMID: 18393234
- results illustrate how disruption of the AT donor site in a rare AT-AC intron, leading to a canonical GT donor site, resulted in a multitude of aberrant transcripts, thus impairing exon definition of the SEDL gene. PMID: 19002213
- A novel RNA-splicing mutation in TRAPPC2 gene causing x-linked spondyloepiphyseal dysplasia tarda in a large Chinese family. PMID: 19417549
顯示更多
收起更多
-
相關疾病:Spondyloepiphyseal dysplasia tarda (SEDT)
-
亞細胞定位:Cytoplasm, perinuclear region. Endoplasmic reticulum-Golgi intermediate compartment. Nucleus. Cytoplasm.
-
蛋白家族:TRAPP small subunits family, Sedlin subfamily
-
組織特異性:Expressed in brain, heart, kidney, liver, lung, pancreas, placenta, skeletal muscle, fetal cartilage, fibroblasts, placenta and lymphocytes.
-
數據庫鏈接:
Most popular with customers
-
-
YWHAB Recombinant Monoclonal Antibody
Applications: ELISA, WB, IHC, IF, FC
Species Reactivity: Human, Mouse, Rat
-
Phospho-YAP1 (S127) Recombinant Monoclonal Antibody
Applications: ELISA, WB, IHC
Species Reactivity: Human
-
-
-
-
-















