RTN4RL1 Recombinant Monoclonal Antibody
-
中文名稱:RTN4RL1 Recombinant Monoclonal Antibody
-
貨號:CSB-RA783404A0HU
-
規格:¥1320
-
圖片:
-
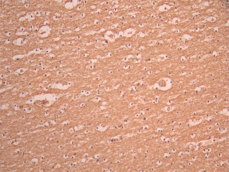
IHC image of CSB-RA783404A0HU diluted at 1:100 and staining in paraffin-embedded human brain tissue performed on a Leica BondTM system. After dewaxing and hydration, antigen retrieval was mediated by high pressure in a citrate buffer (pH 6.0). Section was blocked with 10% normal goat serum 30min at RT. Then primary antibody (1% BSA) was incubated at 4°C overnight. The primary is detected by a Goat anti-rabbit polymer IgG labeled by HRP and visualized using 0.05% DAB.
-
IHC image of CSB-RA783404A0HU diluted at 1:100 and staining in paraffin-embedded human kidney tissue performed on a Leica BondTM system. After dewaxing and hydration, antigen retrieval was mediated by high pressure in a citrate buffer (pH 6.0). Section was blocked with 10% normal goat serum 30min at RT. Then primary antibody (1% BSA) was incubated at 4°C overnight. The primary is detected by a Goat anti-rabbit polymer IgG labeled by HRP and visualized using 0.05% DAB.
-
Overlay Peak curve showing MCF-7 cells stained with CSB-RA783404A0HU (red line) at 1:100. The cells were fixed in 4% formaldehyde and permeated by 0.2% TritonX-100 for 10min. Then 10% normal goat serum to block non-specific protein-protein interactions followed by the antibody (1ug/1*106cells) for 45min at 4℃. The secondary antibody used was FITC-conjugated goat anti-rabbit IgG (H+L) at 1/200 dilution for 35min at 4℃.Control antibody (green line) was Rabbit IgG (1ug/1*106cells) used under the same conditions. Acquisition of >10, 000 events was performed.
-
-
其他:
產品詳情
-
Uniprot No.:
-
基因名:RTN4RL1
-
別名:DKFZp547J144 antibody; NgR 3 antibody; NgR3 antibody; NGRH 2 antibody; NGRH2 antibody; NGRL2 antibody; Nogo 66 receptor homolog 2 antibody; Nogo 66 receptor related protein 3 antibody; Nogo receptor like 2 antibody; Nogo receptor-like 2 antibody; Nogo-66 receptor homolog 2 antibody; Nogo-66 receptor-related protein 3 antibody; R4RL1_HUMAN antibody; Reticulon 4 receptor like 1 antibody; Reticulon-4 receptor-like 1 antibody; RTN4RL1 antibody
-
反應種屬:Human
-
免疫原:A synthesized peptide from human RTN4RL1 protein
-
免疫原種屬:Homo sapiens (Human)
-
標記方式:Non-conjugated
-
克隆類型:Monoclonal
-
抗體亞型:Rabbit IgG
-
純化方式:Affinity-chromatography
-
克隆號:5C1
-
濃度:It differs from different batches. Please contact us to confirm it.
-
保存緩沖液:Rabbit IgG in 10mM phosphate buffered saline , pH 7.4, 150mM sodium chloride, 0.05% BSA, 0.02% sodium azide and 50% glycerol.
-
產品提供形式:Liquid
-
應用范圍:ELISA, IHC, FC
-
推薦稀釋比:
Application Recommended Dilution IHC 1:50-1:200 FC 1:50-1:200 -
Protocols:
-
儲存條件:Upon receipt, store at -20°C or -80°C. Avoid repeated freeze.
-
貨期:Basically, we can dispatch the products out in 1-3 working days after receiving your orders. Delivery time maybe differs from different purchasing way or location, please kindly consult your local distributors for specific delivery time.
-
用途:For Research Use Only. Not for use in diagnostic or therapeutic procedures.
相關產品
靶點詳情
-
功能:Cell surface receptor. Plays a functionally redundant role in postnatal brain development and in regulating axon regeneration in the adult central nervous system. Contributes to normal axon migration across the brain midline and normal formation of the corpus callosum. Protects motoneurons against apoptosis; protection against apoptosis is probably mediated by MAG. Plays a role in inhibiting neurite outgrowth and axon regeneration via its binding to neuronal chondroitin sulfate proteoglycans. Binds heparin. Like other family members, plays a role in restricting the number dendritic spines and the number of synapses that are formed during brain development. Signaling mediates activation of Rho and downstream reorganization of the actin cytoskeleton.
-
基因功能參考文獻:
- Duplication of 10q22.3-q23.3 encompassing NGR3 gene is associated with congenital heart disease, microcephaly, and mild intellectual disability PMID: 26383923
- predominantly expressed in the neurons of the embryonic and adult nervous systems PMID: 14664809
-
亞細胞定位:Cell membrane; Lipid-anchor, GPI-anchor. Membrane raft. Perikaryon. Cell projection.
-
蛋白家族:Nogo receptor family
-
組織特異性:Predominantly expressed in brain. Expressed at lower levels in kidney, lung, mammary gland, placenta, salivary gland, skeletal muscle and spleen.
-
數據庫鏈接:
Most popular with customers
-
-
YWHAB Recombinant Monoclonal Antibody
Applications: ELISA, WB, IHC, IF, FC
Species Reactivity: Human, Mouse, Rat
-
Phospho-YAP1 (S127) Recombinant Monoclonal Antibody
Applications: ELISA, WB, IHC
Species Reactivity: Human
-
-
-
-
-















