RPS6KB2 Recombinant Monoclonal Antibody
-
中文名稱:RPS6KB2 Recombinant Monoclonal Antibody
-
貨號:CSB-RA175346A0HU
-
規格:¥1320
-
圖片:
-
Flow cytometric analysis of P70 S6 Kinase beta expression in HeLa cells using P70 S6 Kinase beta antibody. Green, isotype control; red, P70 S6 Kinase beta.
-
Immunocytochemical staining of HeLa cells with P70 S6 Kinase beta antibody. Nuclei were stained blue with DAPI; P70 S6 Kinase beta was stained magenta with Alexa Fluor? 647. Images were taken using Leica stellaris 5. Protein abundance based on laser Intensity and smart gain: Medium. Scale bar, 20 μm.
-
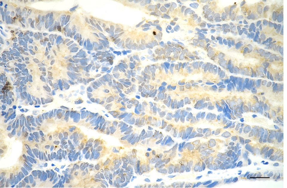
Immunohistochemistry was performed on paraffin-embedded human endometrial carcinoma using P70 S6 kinase beta antibody. Antigen retrieval was done in sodium citrate buffer (pH 6.0). DAB was used for detection, with hematoxylin counterstaining. Images were acquired using a Nikon Ci-L Plus microscope (40× objective). Scale bar: 25 μm.
-
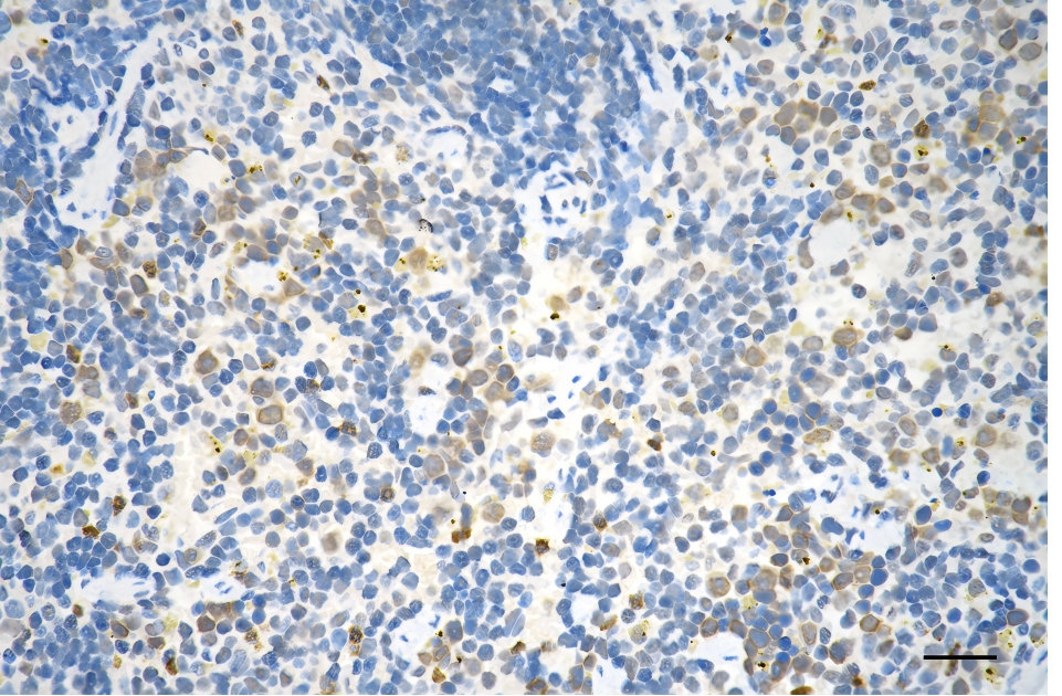
Immunohistochemistry was performed on paraffin-embedded mouse spleen using P70 S6 kinase beta antibody. Antigen retrieval was done in sodium citrate buffer (pH 6.0). DAB was used for detection, with hematoxylin counterstaining. Images were acquired using a Nikon Ci-L Plus microscope (40× objective). Scale bar: 25 μm.
-
Western blotting analysis using P70 S6 Kinase beta antibody. Total cell lysates (30 μg) from various cell lines were loaded and separated by SDS-PAGE. The blot was incubated with P70 S6 Kinase beta antibody and HRP-conjugated goat anti-rabbit secondary antibody respectively.
-
-
其他:
產品詳情
-
Uniprot No.:
-
基因名:
-
別名:Ribosomal Protein S6 Kinase B2; STK14B; P70-BETA; P70S6Kb; S6Kbeta; S6KB; KLS; 70 KDa Ribosomal Protein S6 Kinase 2; Serine/Threonine-Protein Kinase 14B; Ribosomal Protein S6 Kinase Beta-2; P70 Ribosomal S6 Kinase Beta; S6 Kinase-Related Kinase; P70 S6 Kinase Beta; P70 S6K-Beta; EC 2.7.11.1; S6K-Beta-2; P70-S6K 2; S6K-Beta; P70 S6KB; P70S6K2; S6K2; SRK; Ribosomal Protein S6 Kinase, 70kDa, Polypeptide 2; Ribosomal Protein S6 Kinase, 70kD, Polypeptide 2; Serine/Threonine-Protein Kinase 14 Beta; P70(S6K)-Beta; P70-Beta-1; P70-Beta-2; S6K-Beta2; EC 2.7.11; P70-Beta; S6KI(2); S6Kβ
-
反應種屬:Human, Mouse, Rat
-
免疫原:Recombinant Human RPS6KB2 protein
-
免疫原種屬:Homo sapiens (Human)
-
標記方式:Non-conjugated
-
克隆類型:Monoclonal
-
抗體亞型:Rabbit IgG
-
純化方式:Affinity-chromatography
-
克隆號:24C11
-
濃度:It differs from different batches. Please contact us to confirm it.
-
保存緩沖液:Rabbit IgG in PBS (pH 7.4) containing 50% glycerol, and 0.02% sodium azide.
-
產品提供形式:Liquid
-
應用范圍:ELISA, WB, FC, ICC, IHC
-
推薦稀釋比:
Application Recommended Dilution WB 1:1000-1:5000 FC 1:200-1:2000 ICC 1:100-1:1000 IHC 1:100-1:200 -
Protocols:
-
儲存條件:Upon receipt, store at -20°C or -80°C. Avoid repeated freeze.
-
貨期:Basically, we can dispatch the products out in 1-3 working days after receiving your orders. Delivery time maybe differs from different purchasing way or location, please kindly consult your local distributors for specific delivery time.
-
用途:For Research Use Only. Not for use in diagnostic or therapeutic procedures.
相關產品
靶點詳情
-
功能:Phosphorylates specifically ribosomal protein S6. Seems to act downstream of mTOR signaling in response to growth factors and nutrients to promote cell proliferation, cell growth and cell cycle progression in an alternative pathway regulated by MEAK7.
-
基因功能參考文獻:
- Overexpression of catalytically-active Akt or knockdown of glycogen synthase kinase-3 (GSK3)-beta, a substrate for Akt, had little effect on Mcl-1 downregulation caused by S6K2 deficiency PMID: 28301598
- We propose that the S6K2/TRBP node controls miRNA biogenesis in HDLECs and provides a molecular link between the mTOR pathway and the miRNA biogenesis machinery. PMID: 27407113
- discovered that ERBB4 and S6K2 were the direct targets of miR-193a-3p and that PIK3R3 and mTOR were the direct targets of miR-193a-5p in non-small-cell lung cancer PMID: 24469061
- Degradation of Tiam1 by casein kinase 1 and the SCFbetaTrCP ubiquitin ligase controls the duration of mTOR-S6K signaling. PMID: 25124033
- The mTOR effectors 4EBP1 and S6K2 are frequently coexpressed, and associated with a poor prognosis and endocrine resistance in breast cancer. PMID: 24131622
- The p85 S6K1 promotes H2O2-induced cell death via a rapamycin-insensitive mechanism. PMID: 22955948
- S6K2 amplification was frequently observed in gastric cancer and was related to a poor prognosis PMID: 23393338
- Study shows that the two homologues of S6K have distinct effects on Akt activation and cell survivalin breast cancer. PMID: 21427355
- heterogeneous ribonucleoprotein F is involved in the regulation of cell proliferation via the mammalian target of rapamycin/S6 kinase 2 pathway PMID: 20308064
- p70 S6 kinase regulates neutrophilic differentiation in HL-60 cells PMID: 12176053
- regulation of nucleocytoplasmic shuttling of S6KbetaII by protein kinase C-mediated phosphorylation PMID: 12529391
- the PI3K/p70 S6K/c-Myc cascade plays an important role in neutrophilic proliferation in HL-60 cells. PMID: 12818373
- These data suggest that activated p70 S6 kinase could mediate an up-regulation of tau translation. PMID: 12875979
- p70 ribosomal protein S6 kinase activity was induced by K-Ras in a phosphatidylinositol 3-kinase and mTOR-dependent manner. PMID: 14729629
- S6K2 is active throughout the cell cycle with higher activity in G2 and M phases. PMID: 17786541
顯示更多
收起更多
-
亞細胞定位:Cytoplasm. Nucleus.
-
蛋白家族:Protein kinase superfamily, AGC Ser/Thr protein kinase family, S6 kinase subfamily
-
數據庫鏈接:
Most popular with customers
-
-
Phospho-YAP1 (S127) Recombinant Monoclonal Antibody
Applications: ELISA, WB, IHC
Species Reactivity: Human
-
-
-
-
-
-















