RAB5C Recombinant Monoclonal Antibody
-
中文名稱:RAB5C Recombinant Monoclonal Antibody
-
貨號:CSB-RA903569A0HU
-
規格:¥1320
-
圖片:
-
Flow cytometric analysis of RAB5C expression in HepG2 cells using RAB5C antibody. Green, isotype control; red, RAB5C.
-
Immunocytochemical staining of HepG2 cells with RAB5C antibody. Nuclei were stained blue with DAPI; RAB5C was stained magenta with Alexa Fluor? 647. Images were taken using Leica stellaris 5. Protein abundance based on laser Intensity and smart gain: Medium. Scale bar: 20 μm.
-
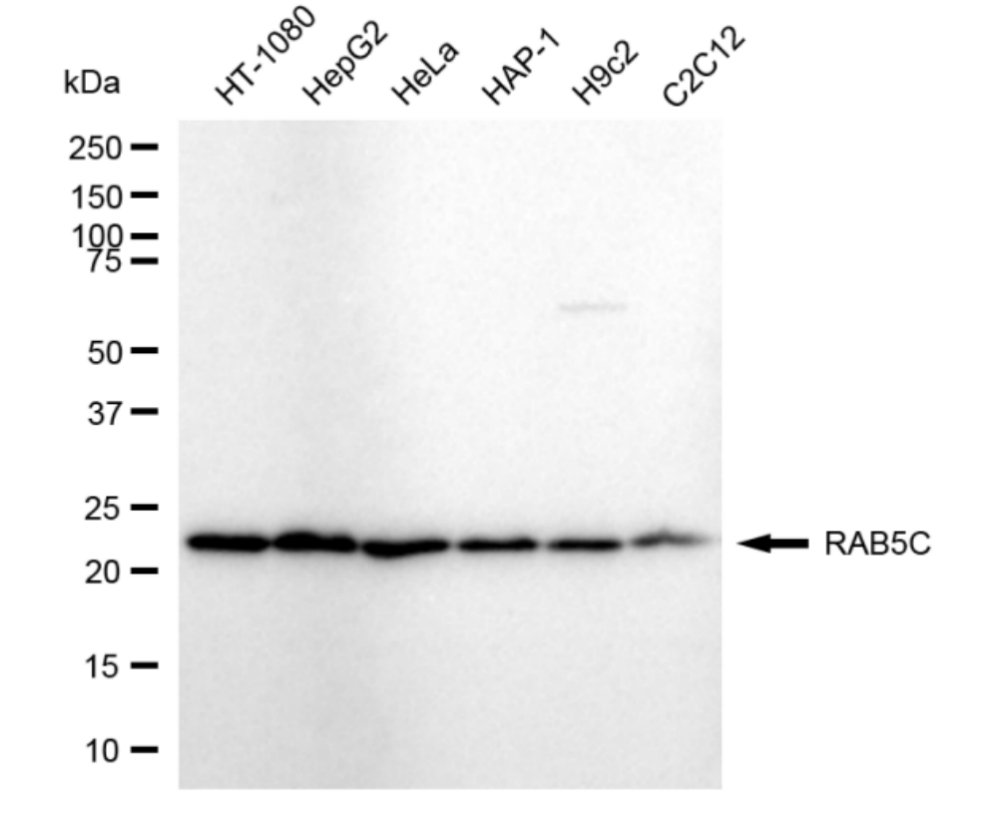
Western blotting analysis using RAB5C antibody. Total cell lysates (30 μg) from various cell lines were loaded and separated by SDS-PAGE. The blot was incubated with RAB5C antibody and HRP-conjugated goat anti-rabbit secondary antibody respectively.
-
-
其他:
產品詳情
-
Uniprot No.:
-
基因名:
-
別名:RAB5C; RAB5C, Member RAS Oncogene Family; RAB5CL; RABL; RAB5C, Member Of RAS Oncogene Family; Ras-Related Protein Rab-5C; L1880; RAB5L; RAB, Member Of RAS Oncogene Family-Like; EC 3.6.5.2
-
反應種屬:Human, Mouse, Rat
-
免疫原:Recombinant Human RAB5C protein
-
免疫原種屬:Homo sapiens (Human)
-
標記方式:Non-conjugated
-
克隆類型:Monoclonal
-
抗體亞型:Rabbit IgG
-
純化方式:Affinity-chromatography
-
克隆號:12D6
-
濃度:It differs from different batches. Please contact us to confirm it.
-
保存緩沖液:Rabbit IgG in PBS (pH 7.4) containing 50% glycerol, and 0.02% sodium azide.
-
產品提供形式:Liquid
-
應用范圍:ELISA, WB, FC, ICC
-
推薦稀釋比:
Application Recommended Dilution WB 1:1000-1:5000 FC 1:200-1:2000 ICC 1:100-1:1000 -
Protocols:
-
儲存條件:Upon receipt, store at -20°C or -80°C. Avoid repeated freeze.
-
貨期:Basically, we can dispatch the products out in 1-3 working days after receiving your orders. Delivery time maybe differs from different purchasing way or location, please kindly consult your local distributors for specific delivery time.
-
用途:For Research Use Only. Not for use in diagnostic or therapeutic procedures.
相關產品
靶點詳情
-
功能:Protein transport. Probably involved in vesicular traffic.
-
基因功能參考文獻:
- We identify RAB5C as a new candidate gene for type-2 diabetes risk with a functional role in endosomal type-2 diabetes module. Functional analysis shows that RAB5C is tyrosine phosphorylated. Data analysis reveals a tyrosine phosphorylation motif in the GTP binding site of RAB5C which may be targeted by insulin receptor. Insulin-dependent tyrosine phosphorylation of RAB5C is inhibited by overexpression of HACD3 (PTPLAD1). PMID: 30300385
- Enforced miR-509 expression in NALM6 cells reduced RAB5C mRNA and protein levels, and RAB5C was demonstrated to be a direct target of miR-509. PMID: 25368993
- PLP2 and RAB5C are binding partners of TPD52. PMID: 24604726
- Rab5C modulates Rac1-mediated cell motility. PMID: 24587345
- GTP-Rab5c also bound to AMAP1, and activation of Rab5c by EGFR signaling was necessary to promote the intracellular association of AMAP1 and PRKD2 PMID: 22734003
顯示更多
收起更多
-
亞細胞定位:Cell membrane; Lipid-anchor; Cytoplasmic side. Early endosome membrane; Lipid-anchor. Melanosome.
-
蛋白家族:Small GTPase superfamily, Rab family
-
數據庫鏈接:
Most popular with customers
-
-
YWHAB Recombinant Monoclonal Antibody
Applications: ELISA, WB, IHC, IF, FC
Species Reactivity: Human, Mouse, Rat
-
Phospho-YAP1 (S127) Recombinant Monoclonal Antibody
Applications: ELISA, WB, IHC
Species Reactivity: Human
-
-
-
-
-















