P4HTM Recombinant Monoclonal Antibody
-
中文名稱:P4HTM Recombinant Monoclonal Antibody
-
貨號:CSB-RA268805A0HU
-
規格:¥1320
-
圖片:
-
Western Blot
Positive WB detected in: U-251MG whole cell lysate(30μg), HT-29 whole cell lysate(30μg), A549 whole cell lysate(30μg), MCF-7 whole cell lysate(30μg), HepG2 whole cell lysate(30μg), THP-1 whole cell lysate(30μg)
All lanes:HIF PH4 antibody at 1:1000
Secondary
Goat polyclonal to rabbit IgG at 1/40000 dilution
Predicted band size: 57 kDa
Observed band size: 55 kDa
Exposure time:1min -
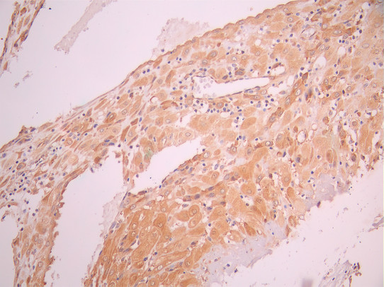
IHC image of CSB-RA268805A0HU diluted at 1:100 and staining in paraffin-embedded human placenta tissue performed on a Leica BondTM system. After dewaxing and hydration, antigen retrieval was mediated by high pressure in a citrate buffer (pH 6.0). Section was blocked with 10% normal goat serum 30min at RT. Then primary antibody (1% BSA) was incubated at 4°C overnight. The primary is detected by a Goat anti-rabbit polymer IgG labeled by HRP and visualized using 0.05% DAB.
-
Overlay Peak curve showing PC-3 cells stained with CSB-RA268805A0HU (red line) at 1:100. The cells were fixed in 4% formaldehyde and permeated by 0.2% TritonX-100 for 10min. Then 10% normal goat serum to block non-specific protein-protein interactions followed by the antibody (1ug/1*106cells) for 45min at 4℃. The secondary antibody used was FITC-conjugated goat anti-rabbit IgG (H+L) at 1/200 dilution for 35min at 4℃.Control antibody (green line) was Rabbit IgG (1ug/1*106cells) used under the same conditions. Acquisition of >10, 000 events was performed.
-
-
其他:
產品詳情
-
Uniprot No.:
-
基因名:P4HTM
-
別名:EGLN4 antibody; HIF PH4 antibody; HIF Prolyl Hydroxylase 4 antibody; HIF prolyl hydroxylase PH 4 antibody; HIF prolyl hydroxylase PH4 antibody; HIF-PH4 antibody; HIF-prolyl hydroxylase 4 antibody; HIFPH4 antibody; HPH 4 antibody; HPH-4 antibody; Hypoxia inducible factor prolyl 4 hydroxylase antibody; Hypoxia-inducible factor prolyl hydroxylase 4 antibody; P4H with transmembrane domain antibody; P4H-TM antibody; P4htm antibody; P4HTM_HUMAN antibody; PH 4 antibody; PH4 antibody; PHD 4 antibody; Proline 4 hydroxylase antibody; prolyl 4-hydroxylase antibody; Transmembrane prolyl 4-hydroxylase antibody
-
反應種屬:Human
-
免疫原:A synthesized peptide from human P4HTM protein
-
免疫原種屬:Homo sapiens (Human)
-
標記方式:Non-conjugated
-
克隆類型:Monoclonal
-
抗體亞型:Rabbit IgG
-
純化方式:Affinity-chromatography
-
克隆號:1B12
-
濃度:It differs from different batches. Please contact us to confirm it.
-
保存緩沖液:Rabbit IgG in 10mM phosphate buffered saline , pH 7.4, 150mM sodium chloride, 0.05% BSA, 0.02% sodium azide and 50% glycerol.
-
產品提供形式:Liquid
-
應用范圍:ELISA, WB, IHC, FC
-
推薦稀釋比:
Application Recommended Dilution WB 1:500-1:5000 IHC 1:50-1:200 FC 1:50-1:200 -
Protocols:
-
儲存條件:Upon receipt, store at -20°C or -80°C. Avoid repeated freeze.
-
貨期:Basically, we can dispatch the products out in 1-3 working days after receiving your orders. Delivery time maybe differs from different purchasing way or location, please kindly consult your local distributors for specific delivery time.
-
用途:For Research Use Only. Not for use in diagnostic or therapeutic procedures.
相關產品
靶點詳情
-
功能:Catalyzes the post-translational formation of 4-hydroxyproline in hypoxia-inducible factor (HIF) alpha proteins. Hydroxylates HIF1A at 'Pro-402' and 'Pro-564'. May function as a cellular oxygen sensor and, under normoxic conditions, may target HIF through the hydroxylation for proteasomal degradation via the von Hippel-Lindau ubiquitination complex.
-
基因功能參考文獻:
- The results suggest that SESN2 increases degradation of HIF-1A via AMPK-PHD regulation that contributes to inhibition of in vitro and in vivo tumorigenesis. PMID: 27840318
- This review will expand our knowledge of biology of HIFs, PHDs, PHD inhibitors, and bone regeneration, and it may also aid the design of novel therapies for accelerating bone repair and regeneration or inhibiting bone tumours. [review] PMID: 24895555
- Results suggest that increased expression of prolyl hydroxylase (PH) might play an role in the physiology of uterine leiomyoma during the menstrual cycle. PMID: 23241241
- Data suggest that PH-4 is a novel hypoxia-inducible factor-prolyl hydroxylase that may be involved in the degradation of hypoxia-inducible transcription factors under normoxia. PMID: 12163023
- the longest and shortest isoenzymes have major transcripts encoding inactive polypeptides, which suggest novel regulation by alternative splicing. PMID: 12788921
- crystal structure of the peptide-substrate-binding domain PMID: 15456751
- This review summarizes recent progress in elucidating the molecular mechanisms of hypoxia-inducible factor (HIF)-1 activation, focusing on the role of oxygen-dependent asparaginyl hydroxylase in hypoxia signal transduction. PMID: 16154531
顯示更多
收起更多
-
亞細胞定位:Endoplasmic reticulum membrane; Single-pass type II membrane protein.
-
組織特異性:Widely expressed with highest levels in adult pancreas, heart, skeletal muscle, brain, placenta, kidney and adrenal gland. Expressed at lower levels in epiphyseal cartilage and in fibroblasts.
-
數據庫鏈接:
Most popular with customers
-
-
YWHAB Recombinant Monoclonal Antibody
Applications: ELISA, WB, IHC, IF, FC
Species Reactivity: Human, Mouse, Rat
-
Phospho-YAP1 (S127) Recombinant Monoclonal Antibody
Applications: ELISA, WB, IHC
Species Reactivity: Human
-
-
-
-
-















