LIN28B Recombinant Monoclonal Antibody
-
中文名稱:LIN28B Recombinant Monoclonal Antibody
-
貨號:CSB-RA961193A0HU
-
規格:¥1320
-
圖片:
-
Western Blot
, Positive WB detected in:THP-1 whole cell lysate(30μg), HEK293 whole cell lysate(30μg)
All lanes: Lin 28B antibody at 1:1000
Secondary
Goat polyclonal to rabbit IgG at 1/40000 dilution
Predicted band size: 27 kDa
Observed band size: 30 kDa
Exposure time:120s -
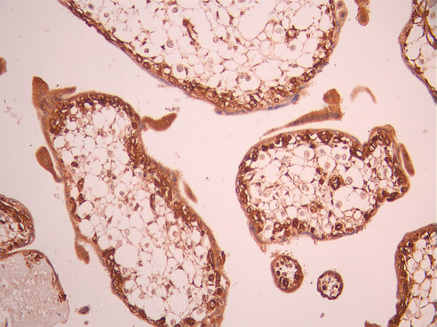
IHC image of CSB-RA961193A0HU diluted at 1:100 and staining in paraffin-embedded human placenta tissue performed on a Leica BondTM system. After dewaxing and hydration, antigen retrieval was mediated by high pressure in a citrate buffer (pH 6.0). Section was blocked with 10% normal goat serum 30min at RT. Then primary antibody (1% BSA) was incubated at 4°C overnight. The primary is detected by a Goat anti-rabbit polymer IgG labeled by HRP and visualized using 0.05% DAB.
-
Immunofluorescence staining of HepG2 cell with CSB-RA961193A0HU at 1:50 , counter-stained with DAPI. The cells were fixed in 4% formaldehyde, permeabilized using 0.2% Triton X-100 and blocked in 10% normal Goat Serum. The cells were then incubated with the antibody overnight at 4°C. The secondary antibody was Alexa Fluor 488-congugated AffiniPure Goat Anti-Rabbit IgG(H+L).
-
Overlay Peak curve showing HepG2 cells stained with CSB-RA961193A0HU (red line) at 1:100. The cells were fixed in 4% formaldehyde and permeated by 0.2% TritonX-100 for 10min. Then 10% normal goat serum to block non-specific protein-protein interactions followed by the antibody (1ug/1*106cells) for 45min at 4℃. The secondary antibody used was FITC-conjugated goat anti-rabbit IgG (H+L) at 1/200 dilution for 35min at 4℃.Control antibody (green line) was Rabbit IgG (1ug/1*106cells) used under the same conditions. Acquisition of >10, 000 events was performed.
-
-
其他:
產品詳情
-
Uniprot No.:
-
基因名:LIN28B
-
別名:CSDD 2 antibody; CSDD2 antibody; FLJ16517 antibody; Lin 28 homolog B (C. elegans) antibody; Lin 28.2 antibody; Lin-28B antibody; LIN28B antibody; LN28B_HUMAN antibody; Protein lin-28 homolog B antibody
-
反應種屬:Human
-
免疫原:A synthesized peptide from human LIN28B protein
-
免疫原種屬:Homo sapiens (Human)
-
標記方式:Non-conjugated
-
克隆類型:Monoclonal
-
抗體亞型:Rabbit IgG
-
純化方式:Affinity-chromatography
-
克隆號:10G2
-
濃度:It differs from different batches. Please contact us to confirm it.
-
保存緩沖液:Rabbit IgG in 10mM phosphate buffered saline , pH 7.4, 150mM sodium chloride, 0.05% BSA, 0.02% sodium azide and 50% glycerol.
-
產品提供形式:Liquid
-
應用范圍:ELISA, WB, IHC, IF, FC
-
推薦稀釋比:
Application Recommended Dilution WB 1:500-1:5000 IHC 1:50-1:200 IF 1:50-1:200 FC 1:50-1:200 -
Protocols:
-
儲存條件:Upon receipt, store at -20°C or -80°C. Avoid repeated freeze.
-
貨期:Basically, we can dispatch the products out in 1-3 working days after receiving your orders. Delivery time maybe differs from different purchasing way or location, please kindly consult your local distributors for specific delivery time.
-
用途:For Research Use Only. Not for use in diagnostic or therapeutic procedures.
相關產品
靶點詳情
-
功能:Suppressor of microRNA (miRNA) biogenesis, including that of let-7 and possibly of miR107, miR-143 and miR-200c. Binds primary let-7 transcripts (pri-let-7), including pri-let-7g and pri-let-7a-1, and sequester them in the nucleolus, away from the microprocessor complex, hence preventing their processing into mature miRNA. Does not act on pri-miR21. The repression of let-7 expression is required for normal development and contributes to maintain the pluripotent state of embryonic stem cells by preventing let-7-mediated differentiation. When overexpressed, recruits ZCCHC11/TUT4 uridylyltransferase to pre-let-7 transcripts, leading to their terminal uridylation and degradation. This activity might not be relevant in vivo, as LIN28B-mediated inhibition of let-7 miRNA maturation appears to be ZCCHC11-independent. Interaction with target pre-miRNAs occurs via an 5'-GGAG-3' motif in the pre-miRNA terminal loop. Mediates MYC-induced let-7 repression. When overexpressed, isoform 1 stimulates growth of the breast adenocarcinoma cell line MCF-7. Isoform 2 has no effect on cell growth.
-
基因功能參考文獻:
- In colon cancer cells, up-regulation of LIN28B increased BCL-2 expression, enhanced its stability and reduced its ubiquitination. PMID: 29669301
- Lin28B could facilitate gastric cancer stemness. PMID: 29787985
- downregulation of Lin28b by miR-125a partially accounts for its antiproliferative activity toward hepatocellular carcinoma cells. PMID: 29689270
- The effects of acetylated Lin28B on let-7a-1 and let-7g are similar to that of stable knockdown of Lin28B in H1299 cells. The new role of PCAF in mediating Lin28B acetylation and the specific release of its target microRNAs in H1299 cells may shed light on the potential application of let-7 in the clinical treatment of lung cancer patients PMID: 29301498
- High LIN28B is associated with cervical cancer. PMID: 29336272
- Data found that LIN28B expression is inhibited in hepatoma cells by miR-125b-5p promoting HBV replication. PMID: 28267418
- Studied the association between Lin28 homolog B (LIN28B) gene polymorphisms and Wilms tumor susceptibility in Chinese children. PMID: 28301057
- C allele frequency in rs314276 of LIN28B is associated with Central precocious puberty. PMID: 28525351
- Testing for a combination of elevated IMP3 and Lin28B levels could further facilitate the identification of a patient subgroup with the worst ovarian cancer prognosis. PMID: 26158423
- Lin28A and Lin28B are co-expressed colon cancer tissues and have functional similarities. PMID: 27793004
- LIN28B is over-expressed in specific subtypes of pediatric leukemia and regulates lncRNA H19. PMID: 26969084
- The study deciphered the essential role of Lin28B in the pathogenesis of epithelial-mesenchymal transition in idiopathic pulmonary fibrosis, and unraveled a novel mechanism that miR-26a is a modulator of let-7d. PMID: 26787543
- Targeting LIN28B in acute myeloid leukemia cells resulted in cell cycle arrest, inhibition of cell proliferation and colony formation, which was induced by de-repression of let-7a miRNA. On the other hand, overexpression of LIN28B promoted cell proliferation. PMID: 28693523
- common genetic variations (rs7759938 and rs314280) of LIN28B may contribute to idiopathic central precocious puberty susceptibility in Chinese girls PMID: 27304100
- these findings reveal that lncRNA H19, miRNA let-7 and transcriptional factor LIN28 form a double-negative feedback loop, which has a critical role in the maintenance of breast cancer stem cells. PMID: 28102845
- Authors show that mature Let-7 miRNAs are regulated during hESC differentiation and have opposite expression profile with LIN28B. Moreover, mature Let-7 miRNAs fine tune the expression levels of LIN28B protein in pluripotent hESCs, whereas silencing of LIN28 proteins have no effect on mature Let-7 levels. PMID: 27776272
- LIN28A and LIN28B play cooperative roles in regulating reprogramming, naive/primed pluripotency, and stem cell metabolism. PMID: 27320042
- The identification of the let-7/Lin28 axis as an important regulator of HSC activation as well as its upstream modulators and down-stream targets will provide insights into the involvement of altered microRNA expression in contributing to the pathogenesis of alcoholic liver fibrosis PMID: 28536261
- the LIN28B rs221634 A>T polymorphism was associated with an increased neuroblastoma risk in Southern Chinese children. PMID: 27021521
- Upregulation of let-7a carries the potential to reverse CCL18 induced cell proliferation and migration alteration in breast cancer cells by regulating Lin28 expression. PMID: 26898455
- LIN28B orchestrates oncogenic signaling in neuroblastoma. PMID: 26743584
- loss of SIRT6 results in hyperacetylation of H3K9 and H3K56 at the promoter of the LIN28B gene, creating a more permissive chromatin state and allowing for the Myc transcription factor to drive its expression PMID: 27180906
- Compared with NCMT samples from the same OSCC patient, the expression of Lin28B was increased in all of the tumor samples. A similar upregulation of Lin28B was also observed in LN metastatic when compared with local tumors. PMID: 25726847
- suggest that molecular subtypes of the LIN-28B/let-7a/IGF-II axis associate with heterogeneous progression PMID: 26751131
- let-7 disruption by LIN28B, MYCN sponging, or genetic loss is a unifying mechanism of neuroblastoma development with broad implications for cancer pathogenesis PMID: 27383785
- elevated LIN28B expression as a hallmark of a novel fetal-like subgroup in Juvenile myelomonocytic leukemia. PMID: 26712910
- Lin28B/let-7 pathway is tightly regulated by macroH2A1 PMID: 26028027
- Data show that RNA-binding protein LIN28B coordinates the expression of the oncogene RAN protein and aurora A kinase (AURKA) in neuroblastoma. PMID: 26481147
- Data implicate LIN28/RAS/MAP kinase as key drivers of tumorigenesis atypical teratoid rhabdoid tumors. PMID: 25638158
- The data implicate Lin28B as a novel oncogene in melanomagenesis by mediating a miRNA regulatory circuit. PMID: 26071398
- LIN28 and its regulatory microRNAs have roles in adult adrenocortical cancer PMID: 25200669
- A functional link between Lin28B and the uridylation pathway with a focus on let-7 metabolism in cancer cells. PMID: 26080928
- Lin28A and Lin28B enhance, whereas let-7 suppresses, aerobic glycolysis via targeting pyruvate dehydrogenase kinase 1, or PDK1. PMID: 25301052
- Expression of SUMO1/2/3 is dramatically enhanced by interferons through an miRNA-based mechanism involving the Lin28/let-7. PMID: 24942926
- rs221236 located at Lin28B may contribute to the risk of oral cavity cancer through the interruption of miRNA binding. PMID: 25503985
- LIN28B as an important effector of the MYCN oncogenic phenotype and underline the importance of MYCN-regulated miRNAs in establishing the MYCN-driven oncogenic process. PMID: 26123663
- LIN28B overexpression correlated with reduced patient survival and an increased likelihood of tumour recurrence.LIN28B overexpression contributes to colon tumourigenesis. PMID: 25360631
- Lin28B(high)-Let7(low) expression pattern was highly correlated with high levels of ARID3B, HMGA2, OCT4, and SOX2 expression in OSCC specimens. Results show how Lin28B/Let7 regulates key cancer stem-like properties in oral squamous cancers. PMID: 25858147
- Upregulation of LIN28B is associated with systemic mastocytosis. PMID: 25655194
- The study establishes that the ribonuclease DIS3, targeting LIN28B, sustains the maturation of let-7 miRNAs. PMID: 25925570
- These observations suggest that Lin28B:miR-212 may work as a regulatory loop in androgen-independent prostate cancer PMID: 25201220
- Our findings point to the prognostic role of Lin28B in gastric adenocarcinoma PMID: 25197381
- Overexpression of Lin28B was linked to poor differentiation, advanced-stage disease, and Ki67-positive status (all p<0.05). Lin28B expression was significantly different among breast cancer subtypes. PMID: 24885919
- reciprocal changes in the expression profiles of the gene encoding the RNA-binding protein, LIN28B, and the related miRNAs, Let-7a, mir-132 and mir-145, in early stages of human placentation PMID: 24498170
- miR-26a directly targets Lin28B and Zcchc11-two critical repressors of let-7 maturation. PMID: 24056962
- Human LIN28B overexpression is sufficient to initiate hepatoblastoma and hepatocellular carcinoma in murine models. PMID: 25117712
- Lin28B is a novel marker for predicting prognosis in patients with oral squamous cell carcinoma PMID: 24386298
- Lin28B is an oncofetal circulating cancer stem cell-like marker associated with recurrence of hepatocellular carcinoma. PMID: 24244607
- Genetic variants of LIN28B may be biomarkers for susceptibility to severe radiation pneumonitis in non-small cell lung cancer patients. PMID: 24780874
- Consistent with the let-7 microRNA stimulatory role of TRIM71 via Lin28B polyubiquitination. PMID: 24602972
顯示更多
收起更多
-
亞細胞定位:Nucleus. Nucleus, nucleolus. Cytoplasm.
-
蛋白家族:Lin-28 family
-
組織特異性:Expressed at high levels in the placenta and, at mucher lower, in testis and fetal liver. Isoform 1 is only detected in placenta and in moderately and poorly differentiated hepatocellular carcinoma cells (at protein level). Isoform 2 is detected in fetal
-
數據庫鏈接:
Most popular with customers
-
YWHAB Recombinant Monoclonal Antibody
Applications: ELISA, WB, IHC, IF, FC
Species Reactivity: Human, Mouse, Rat
-
Phospho-YAP1 (S127) Recombinant Monoclonal Antibody
Applications: ELISA, WB, IHC
Species Reactivity: Human
-
-
-
-
-
-















