HTT Recombinant Monoclonal Antibody
-
中文名稱:HTT Recombinant Monoclonal Antibody
-
貨號:CSB-RA565038A0HU
-
規格:¥1320
-
圖片:
-
Flow cytometric analysis of huntingtin expression in HepG2 cells using huntingtin antibody. Green, isotype control; red, huntingtin.
-
Immunocytochemical staining of HepG2 cells with huntingtin antibody. Nuclei were stained blue with DAPI; Huntingtin was stained magenta with Alexa Fluor? 647. Images were taken using Leica stellaris 5. Protein abundance based on laser Intensity and smart gain: Medium. Scale bar, 20 μm.
-
Immunohistochemistry was performed on paraffin-embedded human glioblastoma using huntingtin antibody. Antigen retrieval was done in sodium citrate buffer (pH 6.0). DAB was used for detection, with hematoxylin counterstaining. Images were acquired using a Nikon Ci-L Plus microscope (40× objective). Scale bar: 25 μm.
-
Immunohistochemistry was performed on paraffin-embedded mouse brain using huntingtin antibody. Antigen retrieval was done in sodium citrate buffer (pH 6.0). DAB was used for detection, with hematoxylin counterstaining. Images were acquired using a Nikon Ci-L Plus microscope (40× objective). Scale bar: 25 μm.
-
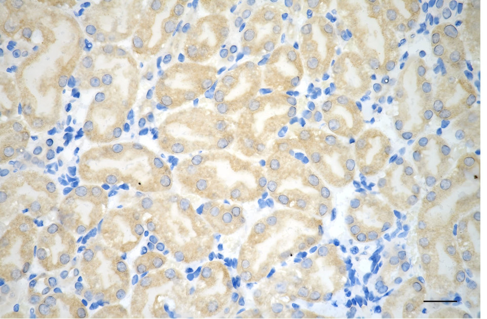
Immunohistochemistry was performed on paraffin-embedded mouse kidney using huntingtin antibody. Antigen retrieval was done in sodium citrate buffer (pH 6.0). DAB was used for detection, with hematoxylin counterstaining. Images were acquired using a Nikon Ci-L Plus microscope (40× objective). Scale bar: 25 μm.
-
Western blotting analysis using huntingtin antibody. Total cell lysates (30 μg) from various cell lines were loaded and separated by SDS-PAGE. The blot was incubated with huntingtin antibody and HRP-conjugated goat anti-rabbit secondary antibody respectively.
-
-
其他:
產品詳情
-
Uniprot No.:
-
基因名:
-
別名:HTT; Huntingtin; IT15; HD; Huntington Disease Protein; Huntingtin (Huntington Disease); HD Protein; LOMARS
-
反應種屬:Human, Mouse, Rat
-
免疫原:Recombinant Human HTT protein
-
免疫原種屬:Homo sapiens (Human)
-
標記方式:Non-conjugated
-
克隆類型:Monoclonal
-
抗體亞型:Rabbit IgG
-
純化方式:Affinity-chromatography
-
克隆號:24B7
-
濃度:It differs from different batches. Please contact us to confirm it.
-
保存緩沖液:Rabbit IgG in PBS (pH 7.4) containing 50% glycerol, and 0.02% sodium azide.
-
產品提供形式:Liquid
-
應用范圍:ELISA, WB, FC, ICC, IHC
-
推薦稀釋比:
Application Recommended Dilution WB 1:1000-1:5000 FC 1:200-1:2000 ICC 1:100-1:1000 IHC 1:100-1:200 -
Protocols:
-
儲存條件:Upon receipt, store at -20°C or -80°C. Avoid repeated freeze.
-
貨期:Basically, we can dispatch the products out in 1-3 working days after receiving your orders. Delivery time maybe differs from different purchasing way or location, please kindly consult your local distributors for specific delivery time.
-
用途:For Research Use Only. Not for use in diagnostic or therapeutic procedures.
相關產品
靶點詳情
-
功能:May play a role in microtubule-mediated transport or vesicle function.; Promotes the formation of autophagic vesicles.
-
基因功能參考文獻:
- Using drug screening in C. elegans nematodes with neuronal expression of human exon-1 huntingtin (128Q), we found that 3ss-Methoxy-Pregnenolone (MAP4343), 17b-oestradiol (17ssE2) and 12 flavonoids including isoquercitrin promote neuronal function in 128Q nematodes. PMID: 28638078
- Rictor striatal levels could counteract neuronal dysfunction induced by mutant huntingtin. PMID: 29460266
- Data report that mHtt inclusion bodies (IBs) recruit catalytically active enzymes involved in (de)-ubiquitination processes based on novel activity-based probes. PMID: 29362455
- Study showed that SV2C is highly expressed in the basal ganglia and hippocampus of mice and that there is a specific and progressive decrease in SV2C mRNA and protein expression in both Huntington's disease (HD) mice and a cell model. These findings suggest that the synaptic dysfunction in HD results from the mutant Htt-mediated inhibition of SV2C transcriptional expression. PMID: 29713895
- Inverse relationship has been found between the length of CAG HTT repeats and age at clinical onset of Huntington's Disease in Indian population. PMID: 29619771
- Polyglutamine expansion appears to induce a 'change of function', possibly a 'gain of function', in the huntingtin protein, which leads to various molecular and cellular cascades of pathogenesis, including oxidative stress, mitochondrial dysfunction, glutamatergic dysfunction and neuroinflammation. [Review] PMID: 28674979
- The number of repeats in HTT, had a non-linear effect on a measure of general intelligence with an inverted U shape pattern. Increasing repeat length was associated with higher GAI scores up until roughly 40-41 repeats. After this peak, increasing repeat length was associated with declining GAI scores. PMID: 29685790
- Results show that not only prolonged fasting but also scheduled feeding without forcibly reducing calorie intake alters nutrient-sensing pathways and activates autophagy in mouse brain. This intervention furthermore reduces the amounts of mutant HTT protein, and may thus contribute to its clearance. PMID: 29510748
- The single overexpression of DNAJB1 in HEK293T cells is sufficient to profoundly reduce HttExon1Q97 aggregation and represents a target of future therapeutic avenues for HD. PMID: 29212816
- We found that the HTTexon1 mRNA is present in fibroblasts from juvenile HD patients and can also be readily detected in the sensory motor cortex, hippocampus and cerebellum of post-mortem brains from HD individuals, particularly in those with early onset disease. PMID: 28465506
- The two kinases HIPK3 and MAPK11 effect on Huntingtin (HTT)levels are mutant HTT protein (mHTT)-dependent, providing a feedback mechanism in which mHTT enhances its own level thus contributing to mHTT accumulation and disease progression. PMID: 29151587
- Lipid-based micellar nanoparticles promote aggregation of huntingtin exon-1 peptides. This study characterizes the interaction of two such peptides, htt(NT)Q7 and htt(NT)Q10 comprising the N-terminal amphiphilic domain of huntingtin followed by 7 and 10 glutamine repeats, respectively, with 8 nm lipid micelles. Monomer-dimer equilibrium exists on the surface of the micelles. PMID: 29727175
- Study shows that lifetime depression risk was higher with both relatively short and relatively large Huntigtin CAG repeat sizes in the normal range. PMID: 29225330
- huntingtin T3 phosphorylation is greatly reduced in samples from Huntington's disease models and in Huntington's disease patients, and T3 phosphorylation alters Huntingtin exon 1 protein conformation and aggregation properties PMID: 29162692
- Multiple factors that decreased cytotoxicity of Htt-103Q (changing the length of or sequences adjacent to the polyQ, altering ploidy or chaperone dosage, or deleting anti-aging factors) altered the Htt-103Q aggregation pattern in which the suite of mid-sized aggregates at 6 hr were most correlative with cytotoxicity. PMID: 27721444
- Monomeric Huntingtin Exon 1 Has Similar Overall Structural Features for Wild-Type and Pathological Polyglutamine Lengths PMID: 28937758
- This study aims to establish the current state of the IT-15 (HTT) gene in different Ecuadorian ethnic groups and patients by determining CAG triplet repeats, compared with the ethnicity of individuals. PMID: 28369732
- cryo-electron microscopy to determine the structure of full-length human HTT in a complex with HTT-associated protein 40 (HAP40; encoded by three F8A genes in humans) to an overall resolution of 4 A PMID: 29466333
- full-length endogenous Htt, which was immunoprecipitated from HD knock-in mouse and human post-mortem brain, is suitable for detection of PTMs by mass spectrometry PMID: 28653853
- CAG repeat length in the mutant allele was found to be a relatively consistent and significant risk factor for the progression of Huntington disease. PMID: 28111121
- Study of gene expression profiles of human Huntington disease (HD) brains and HTT transgenic model rats. Results show for the first time that TFIID complex formation is reduced, while soluble TBP is increased in an HD model. This finding suggests that mutant HTT is a competitor instead of a recruiter of polyQ-containing transcription factors in the transcription process in HD. PMID: 28153533
- Studies show that distinct protein homeostasis (proteostasis) nodes such as chaperone-mediated folding and proteolytic systems regulate the aggregation and degradation of HTT. The ability to maintain proteostasis of HTT declines during the aging process. Conversely, mechanisms that preserve proteostasis delay the onset of Huntington's disease. [review] PMID: 28753941
- Studies indicate huntingtin (htt) as contributing factor to the development of Huntington's disease. PMID: 28971465
- To address the function of normal HTT protein we generated HTT(+/-) and HTT(-/-) lines. The same phenotype emerged in HTT(-/-) but not HTT(+/-) lines. Conclude that Huntington disease (HD) is a developmental disorder characterized by chromosomal instability that impairs neurogenesis, and that HD represents a genetic dominant-negative loss of function, contrary to the prevalent gain-of-toxic-function hypothesis. PMID: 29378824
- APP heterozygosity results in greater decreases of cortical APP in Transgenic (Tg) versus non-Tg mice. Mutant huntingtin transgenic mice develop brain iron accumulation as a result of greater suppression of APP levels. Elevated brain iron in Tg mice was associated with a decline in motor endurance consistent with a disease promoting effect of iron in the YAC128 model of human Huntington's Disease. PMID: 28550267
- A pathogenic HTT form (polyQ-HTT) probably disrupts the protein-protein interactions in hippocampus and distorts the dynamics of molecular processes in the synapses. PMID: 28900094
- Study examined the cellular and behavioural consequences of local overexpression of mutant huntingtin (mHTT) in the hippocampus of adult mice; and showed that local expression of mHTT in the dentate gyrus has deleterious effects, including its neurogenic capacity, with functional behavioural consequences, which fits well with recent data on hippocampal deficits seen in patients with Huntington's disease. PMID: 28286179
- study provides an extensive resource for CAG length-dependent changes in microRNA expression in disease-vulnerable and -resistant brain regions in HD mice, and provides new insights for further investigation of microRNAs in HD pathogenesis and therapeutics PMID: 29324753
- findings indicate that htt(NT) molecules do not have a strong orientational preference for parallel or antiparallel orientation of the helices within the aggregate. However, a parallel packed bundle of helices would support the idea of increased polyglutamine concentration, to pave the way for cross-beta structures. PMID: 28539049
- Between July 1999 and January 2004, 1001 clinically unaffected adults at risk for HD who had chosen not to undergo predictive genetic testing for the presence or absence of the mutated HTT gene were enrolled in this non-interventional, observational, longitudinal study PMID: 27740685
- The results of this study suggest a functional reorganization of whole-brain networks at a presymptomatic stage in the life of the hHTT CAG140 knock-in mouse. PMID: 27082842
- Mutant huntingtin protein was preferentially expressed within the anterior horn of the gray matter, in both cervical and lumbar sections of spinal cord from Huntington's disease patients. PMID: 29171910
- early-state transcriptional changes and aggregate formation in a Huntington's disease cell model PMID: 28499347
- cells expressing mutant huntingtin have a dysregulated transcriptional response to epidermal growth factor stimulation PMID: 27988204
- This study demonstrated that the number of repeats in HTT, below disease threshold, confers advantageous changes in brain structure and general intelligence (IQ): the higher the number of repeats, the greater the change in brain structure, and the higher the higher IQ. PMID: 27870408
- This study explores the aggregation and toxicity of human huntingtin in yeast. PMID: 27220690
- Mutation in HTT causes Huntington's disease (HD); aggregates of mutated HTT cause apoptosis in neurons of HD patients. Data suggest that both MLF1 and MLF2 preferentially interact with mutated N-terminal HTT; MLF1/MLF2 reduce number of neurons (Neuro2A cell line) containing mutant HTT aggregates and subsequent apoptosis. (HTT = Huntingtin protein; MLF = myeloid leukemia factor) PMID: 27840155
- Study investigated the fundamental intracellular aggregation process of eight different-length N-terminal fragments of Htt in both short (25Q) and long polyQ (97Q). PolyQ-expansion was only required for fragments of less than 171 amino acids to aggregate. Longer fragments aggregated predominately through a non-polyQ mechanism, involving at least one, and probably more distinct clustering mechanisms. PMID: 28339398
- Study shows that mutant huntingtin protein (mHTT) has an expanded polyglutamine stretch that may adopt multiple conformations and has a slower degradation rate due to its resistance to selective autophagy in human cells and brains, revealing mechanisms of its higher toxicity. PMID: 28869595
- We provide evidence that nuclear accumulation of Httex1-103Q enhances its cytotoxicity, suggesting that the RQC machinery plays an important role in protecting cells against the adverse effects of polyQ expansion proteins. PMID: 28864412
- results suggest that subject-to-subject variation contributes more to variability in N-terminal huntingtin fragments than post mortem delay PMID: 28570578
- We report that endogenous huntingtin protein directly participates in oxidative DNA damage repair. Using novel chromobodies to detect endogenous human huntingtin in live cells, we show that localization of huntingtin to DNA damage sites is dependent on the kinase activity of ataxia telangiectasia mutated (ATM) protein. PMID: 28017939
- the long HTT 3'UTR suppresses translation. PMID: 28494017
- Soluble oligomers of PolyQ-expanded huntingtin target a multiplicity of key cellular factors. PMID: 27570076
- Peripheral huntingtin silencing does not ameliorate central signs of disease in the B6.HttQ111/+ mouse model of Huntington's disease PMID: 28453524
- The present data emphasize the relevance of expanded CAG RNA to Huntington's disease pathogenesis, indicate that inhibition of HTT expression is not required to reverse motor deficits, and further suggest a therapeutic potential for LNA-CTG in polyglutamine disorders. PMID: 27721240
- Although the mutant huntingtin gene is expressed widely, neurons of the striatum and cortex are selectively affected in Huntington's disease (HD). Our results suggest that this selectivity is attributable to the reduced expression of Foxp1, a protein expressed selectively in striatal and cortical neurons that plays a neuroprotective role in these cells. PMID: 28550168
- Huntingtin 513 fragment has unique physical interactions with the cellular environment, including, but not limited to, the protein degradation machinery. PMID: 28282438
- The CAG repeat expansion in the exon 1 of the protein huntingtin (HTTex1) that causes the disease leads to the formation of HTT fibrils in vitro and vivo. The fibrils of mutant HTTex1 are able to seed the aggregation of wild type HTTex1 into amyloid fibrils, which in turn can seed the fibril formation of mutant HTTex1. PMID: 28621522
- Long CAG length could be associated with lower breast cancer incidence, but could also be paradoxically associated with cancer severity. PMID: 26980106
顯示更多
收起更多
-
相關疾?。?/div>Huntington disease (HD); Lopes-Maciel-Rodan syndrome (LOMARS)亞細胞定位:[Huntingtin]: Cytoplasm. Nucleus. Early endosome.; [Huntingtin, myristoylated N-terminal fragment]: Cytoplasmic vesicle, autophagosome.蛋白家族:Huntingtin family組織特異性:Expressed in the brain cortex (at protein level). Widely expressed with the highest level of expression in the brain (nerve fibers, varicosities, and nerve endings). In the brain, the regions where it can be mainly found are the cerebellar cortex, the neo數據庫鏈接:
Most popular with customers
-
-
YWHAB Recombinant Monoclonal Antibody
Applications: ELISA, WB, IHC, IF, FC
Species Reactivity: Human, Mouse, Rat
-
Phospho-YAP1 (S127) Recombinant Monoclonal Antibody
Applications: ELISA, WB, IHC
Species Reactivity: Human
-
-
-
-
-















