CPS1 Recombinant Monoclonal Antibody
-
中文名稱:CPS1 Recombinant Monoclonal Antibody
-
貨號:CSB-RA980987A0HU
-
規格:¥1320
-
圖片:
-
Flow cytometric analysis of Carbamoyl-phosphate synthase 1 expression in HepG2 cells using Carbamoyl-phosphate synthase 1 antibody. Green, isotype control; red, Carbamoyl-phosphate synthase 1.
-
Immunocytochemical staining of HepG2 cells with Carbamoyl-phosphate synthase 1 antibody. Nuclei were stained blue with DAPI; Carbamoyl-phosphate synthase 1 was stained magenta with Alexa Fluor? 647. Images were taken using Leica stellaris 5. Protein abundance based on laser Intensity and smart gain: High. Scale bar, 20 μm.
-
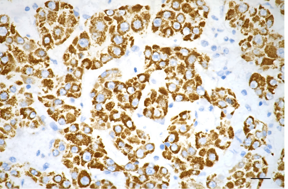
Immunohistochemistry was performed on paraffin-embedded human hepatocarcinoma using carbamoyl-phosphate synthase 1 antibody. Antigen retrieval was done in sodium citrate buffer (pH 6.0). DAB was used for detection, with hematoxylin counterstaining. Images were acquired using a Nikon Ci-L Plus microscope (40× objective). Scale bar: 25 μm.
-
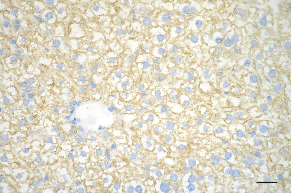
Immunohistochemistry was performed on paraffin-embedded mouse liver using carbamoyl-phosphate synthase 1 antibody. Antigen retrieval was done in sodium citrate buffer (pH 6.0). DAB was used for detection, with hematoxylin counterstaining. Images were acquired using a Nikon Ci-L Plus microscope (40× objective). Scale bar: 25 μm.
-
Immunohistochemistry was performed on paraffin-embedded mouse spleen using carbamoyl-phosphate synthase 1 antibody. Antigen retrieval was done in sodium citrate buffer (pH 6.0). DAB was used for detection, with hematoxylin counterstaining. Images were acquired using a Nikon Ci-L Plus microscope (40× objective). Scale bar: 25 μm.
-
Western blotting analysis using carbamoyl-phosphate synthase 1 antibody. Total cell lysates (30 μg) from various cell lines were loaded and separated by SDS-PAGE. The blot was incubated with carbamoyl-phosphate synthase 1 antibody and HRP-conjugated goat anti-rabbit secondary antibody respectively.
-
-
其他:
產品詳情
-
Uniprot No.:
-
基因名:CPS1
-
別名:CPS1; Carbamoyl-Phosphate Synthase 1; GATD6; Carbamoyl-Phosphate Synthase [Ammonia], Mitochondrial; Carbamoyl-Phosphate Synthase 1, Mitochondrial; Carbamoyl-Phosphate Synthase (Ammonia); EC 6.3.4.16; Carbamoyl-Phosphate Synthetase 1, Mitochondrial; Carbamoyl-Phosphate Synthetase I; Carbamoylphosphate Synthetase I; CPSase I; CPSASE1; PHN
-
反應種屬:Human
-
免疫原:Recombinant Human CPS1 protein
-
免疫原種屬:Homo sapiens (Human)
-
標記方式:Non-conjugated
-
克隆類型:Monoclonal
-
抗體亞型:Rabbit IgG
-
純化方式:Affinity-chromatography
-
克隆號:17B5
-
濃度:It differs from different batches. Please contact us to confirm it.
-
保存緩沖液:Rabbit IgG in PBS (pH 7.4) containing 50% glycerol, and 0.02% sodium azide.
-
產品提供形式:Liquid
-
應用范圍:ELISA, WB, FC, ICC, IHC
-
推薦稀釋比:
Application Recommended Dilution WB 1:1000-1:5000 FC 1:200-1:2000 ICC 1:100-1:1000 IHC 1:100-1:200 -
Protocols:
-
儲存條件:Upon receipt, store at -20°C or -80°C. Avoid repeated freeze.
-
貨期:Basically, we can dispatch the products out in 1-3 working days after receiving your orders. Delivery time maybe differs from different purchasing way or location, please kindly consult your local distributors for specific delivery time.
-
用途:For Research Use Only. Not for use in diagnostic or therapeutic procedures.
相關產品
靶點詳情
-
功能:Involved in the urea cycle of ureotelic animals where the enzyme plays an important role in removing excess ammonia from the cell.
-
基因功能參考文獻:
- In silico analysis potentially links CPS1 SNPs with major depression disorder. PMID: 29441491
- Allele and genotype frequencies of the p.Thr1406Asn polymorphism did not differ between the infants with and without NEC, but the minor A-allele was less frequent in the group of 64 infants with the combined outcome NEC or death before 34 weeks of corrected gestational age than in the infants without this outcome. A significant negative association of the A-allele with the combined outcome NEC or death was found. PMID: 27833157
- HNF3beta plays a vital role in regulation of CPS1 gene and could promote the metabolism of ammonia by regulating CPS1 expression. PMID: 28272778
- CPS1 maintains pyrimidine pools and DNA synthesis in KRAS/LKB1-mutant lung cancer cells PMID: 28538732
- CPS1 knockdown reduced cell growth, decreased levels of metabolites associated with nucleic acid biosynthesis. PMID: 28376202
- These results may offer an increasing understand that CPS1 might have a function in differentiation. PMID: 27425868
- Molecular structure of CPS1 has been deciphered. PMID: 26592762
- CPS1 and CPS1IT1 may be potential prognostic indicators for patients with intrahepatic cholangiocarcinoma. PMID: 26499888
- CPS1 is involved in the urea cycle in weight maintenance. PMID: 26938218
- These results suggest that glycine metabolism and/or the urea cycle represent potentially novel sex-specific mechanisms for the development of atherosclerosis. PMID: 26822151
- Mechanism for Switching On/Off the Urea Cycle PMID: 26059772
- More HCC cells could be identified by the antibody cocktail for CPS1 and P-CK compared with a single antibody. PMID: 24763545
- characterized the only currently known recurrent CPS1 mutation, p.Val1013del found in eleven unrelated patients of Turkish descent; mutation p.V1013del inactivates CPS1 but does not render the enzyme grossly unstable or insoluble PMID: 25410056
- Overexpression of CPS1 is associated with rectal cancers. PMID: 25099619
- study examined patient characteristics, including genetic polymorphism, to identify risk factors associated with development of hyperammonemia during valproic acid-based therapy; found CPS1 4217C>A polymorphism may not be associated with development of hyperammonemia in Japanese population PMID: 24888247
- Findings support the disease-causing role of the mutations reported to affect the CPS1 deficiency, revealing a key role of the small CPS1 domain of unknown function (UFSD) for proper enzyme folding. PMID: 24813853
- CPS1 becomes readily detectable upon hepatocyte apoptotic and necrotic death. Its abundance and short serum half-life suggest that it may be a useful prognostic biomarker in acute liver injury. PMID: 24924744
- Data show that carbamoyl phosphate synthetase 1, an enzyme involved in the urea cycle, 8-oxoguanine DNA glycosylase 1 and DNA polymerase beta, enzymes involved in DNA repair, were expressed at higher levels in Batten disease cells than in normal cells. PMID: 22692827
- the human CPS unknown function domains are spatially located in a region that corresponds to the a/b subunits interface in Escherichia coli CPS. [Review] PMID: 22521883
- Mutation analysis in these patients identified 17 genetic lesions, 9 of which were new confirming their "private" nature. PMID: 22173106
- Case Report: Late-onset carbamoyl phosphate synthetase 1 deficiency in an adult cured by liver transplantation. PMID: 21837743
- This is the first large-scale report of CPS1 mutations spanning a wide variety of molecular defects highlighting important regions in this protein. PMID: 21120950
- DNA methylation is a key mechanism of silencing CPS1 expression in human hepatocellular carcinoma cells. PMID: 21281797
- structure-function analysis and pathogenicity-testing of mutations in CPS1 PMID: 20800523
- Data reported five of the CPS1 mutations (p.T471N, p.Q678P, p.P774L, p.R1453Q, and p.R1453W) in severe CPS1D patients. PMID: 20578160
- The present study in preterm infants did not confirm the earlier reported association between CPS1 genotype and L-arginine levels in term infants. PMID: 20520828
- These data confirm a recent finding that CPS1 is a locus influencing homocysteine levels in women and suggest that genetic effects on Hcy may differ across developmental stages. PMID: 20154341
- Meta-analysis and genome-wide association study of gene-disease association. (HuGE Navigator) PMID: 20383146
- Observational study and genome-wide association study of gene-disease association and gene-gene interaction. (HuGE Navigator) PMID: 20154341
- CPS1, MUT, NOX4, and DPEP1 is associated with plasma homocysteine in healthy Women. PMID: 20031578
- Allelic imbalance may explain clinical variability in CPS1 deficiency in some families. PMID: 19793055
- The entire DNA sequence of the human CPS1 gene is presented, including all exon-intron boundaries. PMID: 12655559
- CPSI T1405N genotype appears to be an important new factor in predicting susceptibility to pulmonry hypertension following surgical repair of congenital cardiac defects in children. PMID: 17188582
- CPPS1 T1404N polymorphism may be associated with the risk of necrotizing enterocolitis in preterm infants. PMID: 17597649
- Tight hydrogen binding mode is supported by the observation of reduced NAG affinity upon mutation of N-acetyl-L-glutamate-interacting residues of CPSI PMID: 19754428
- The differential expression of Hep Par 1(carbamoyl phosphate synthetase I) in dysplastic vs malignant tumors of the small intestine may be diagnostically useful in difficult cases. PMID: 19926579
顯示更多
收起更多
-
相關疾病:Carbamoyl phosphate synthetase 1 deficiency (CPS1D); Pulmonary hypertension, neonatal (PHN)
-
亞細胞定位:Mitochondrion. Nucleus, nucleolus.
-
組織特異性:Primarily in the liver and small intestine.
-
數據庫鏈接:
Most popular with customers
-
-
YWHAB Recombinant Monoclonal Antibody
Applications: ELISA, WB, IHC, IF, FC
Species Reactivity: Human, Mouse, Rat
-
Phospho-YAP1 (S127) Recombinant Monoclonal Antibody
Applications: ELISA, WB, IHC
Species Reactivity: Human
-
-
-
-
-















