CLPP Recombinant Monoclonal Antibody
-
中文名稱:CLPP Recombinant Monoclonal Antibody
-
貨號:CSB-RA999643A0HU
-
規格:¥1320
-
圖片:
-
Flow cytometric analysis of CLPP expression in HepG2 cells using CLPP antibody. Green, isotype control; red, CLPP.
-
Immunocytochemical staining of HepG2 cells with CLPP antibody. Nuclei were stained blue with DAPI; CLPP was stained magenta with Alexa Fluor? 647. Images were taken using Leica stellaris 5. Protein abundance based on laser Intensity and smart gain: High. Scale bar, 20 μm.
-
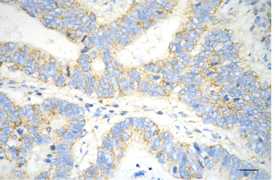
Immunohistochemistry was performed on paraffin-embedded human sigmoid colon carcinoma using CLPP antibody. Antigen retrieval was done in sodium citrate buffer (pH 6.0). DAB was used for detection, with hematoxylin counterstaining. Images were acquired using a Nikon Ci-L Plus microscope (40× objective). Scale bar: 25 μm.
-
Western blotting analysis using CLPP antibody. Total cell lysates (30 μg) from various cell lines were loaded and separated by SDS-PAGE. The blot was incubated with CLPP antibody and HRP-conjugated goat anti-rabbit secondary antibody respectively.
-
-
其他:
產品詳情
-
Uniprot No.:
-
基因名:CLPP
-
別名:CLPP; Caseinolytic Mitochondrial Matrix Peptidase Proteolytic Subunit; ATP-Dependent Clp Protease Proteolytic Subunit, Mitochondrial; Endopeptidase Clp; EC 3.4.21.92; ClpP (Caseinolytic Protease, ATP-Dependent, Proteolytic Subunit, E. Coli) Homolog; ClpP Caseinolytic Peptidase, ATP-Dependent, Proteolytic Subunit Homolog (E. Coli); ClpP Caseinolytic Protease, ATP-Dependent, Proteolytic Subunit Homolog (E. Coli); ClpP Caseinolytic Peptidase, ATP-Dependent, Proteolytic Subunit Homolog; ClpP Caseinolytic Protease, ATP-Dependent, Proteolytic Subunit Homolog; Putative ATP-Dependent Clp Protease Proteolytic Subunit, Mitochondrial; ATP-Dependent Protease ClpAP (E. Coli), Proteolytic Subunit, Human; ClpP Caseinolytic Peptidase ATP-Dependent, Proteolytic Subunit; ATP-Dependent; Protease ClpAP, Proteolytic Subunit, Human; DFNB81; PRLTS3
-
反應種屬:Human, Mouse, Rat
-
免疫原:Recombinant Human CLPP protein
-
免疫原種屬:Homo sapiens (Human)
-
標記方式:Non-conjugated
-
克隆類型:Monoclonal
-
抗體亞型:Rabbit IgG
-
純化方式:Affinity-chromatography
-
克隆號:18C11
-
濃度:It differs from different batches. Please contact us to confirm it.
-
保存緩沖液:Rabbit IgG in PBS (pH 7.4) containing 50% glycerol, and 0.02% sodium azide.
-
產品提供形式:Liquid
-
應用范圍:ELISA, WB, FC, ICC, IHC
-
推薦稀釋比:
Application Recommended Dilution WB 1:1000-1:5000 FC 1:200-1:2000 ICC 1:100-1:1000 IHC 1:100-1:200 -
Protocols:
-
儲存條件:Upon receipt, store at -20°C or -80°C. Avoid repeated freeze.
-
貨期:Basically, we can dispatch the products out in 1-3 working days after receiving your orders. Delivery time maybe differs from different purchasing way or location, please kindly consult your local distributors for specific delivery time.
-
用途:For Research Use Only. Not for use in diagnostic or therapeutic procedures.
相關產品
靶點詳情
-
功能:Protease component of the Clp complex that cleaves peptides and various proteins in an ATP-dependent process. Has low peptidase activity in the absence of CLPX. The Clp complex can degrade CSN1S1, CSN2 and CSN3, as well as synthetic peptides (in vitro) and may be responsible for a fairly general and central housekeeping function rather than for the degradation of specific substrates. Cleaves PINK1 in the mitochondrion.
-
基因功能參考文獻:
- Autophagy compensates impaired energy metabolism in CLPXP-deficient Podospora anserina strains and extends healthspan. PMID: 28449241
- we demonstrate that a strong mitochondrial cardiomyopathy and diminished respiration due to DARS2 deficiency can be alleviated by the loss of CLPP, leading to an increased de novo synthesis of individual OXPHOS subunits. PMID: 27154400
- ere we present eight families affected by Perrault syndrome. In five families we identified novel or previously reported variants in HSD17B4, LARS2, CLPP and C10orf2 PMID: 26970254
- Data suggest that tumors exploit ClpXP-directed proteostasis to maintain mitochondrial bioenergetics, buffer oxidative stress, and enable metastatic competence. PMID: 27389535
- Data indicate endopeptidase Clp (ClpP) mutation identified in two patients with Perrault syndrome type 3 in a Turkish family. PMID: 27087618
- ClpP proteases from E. coli, S. aureus, and human mitochondria exhibit preferences for certain amino acids in the P1, P2, and P3 positions . PMID: 26606371
- Optical trapping to assay single-molecule ClpXP unfolding and translocation of substrates consisting of domains with varying stabilities and sequences; find that ClpXP unfolds most domains by a single pathway, with kinetics that depend on the native fold and structural stability. PMID: 25083874
- Deletion of PaClpP, leads to an unexpected healthy phenotype and increased lifespan of the fungal ageing model organism Podospora anserina and This phenotype can be reverted by expression of human ClpP. PMID: 23360988
- Perrault syndrome is caused by recessive mutations in CLPP. PMID: 23541340
- the N-terminal peptide of ClpP is a structural component of the substrate translocation channel and may play an important functional role as well PMID: 15522782
- hClpX can regulate the appearance of hClpP peptidase activity in mitochondria and might affect the nature of the degradation products released during ATP-dependent proteolytic cycles PMID: 16115876
- We propose that decreased levels of mitochondrial proteases Lon and ClpP may allow heat shock protein 60 substrate proteins to go through more folding attempts PMID: 18378094
顯示更多
收起更多
-
相關疾病:Perrault syndrome 3 (PRLTS3)
-
亞細胞定位:Mitochondrion matrix.
-
蛋白家族:Peptidase S14 family
-
組織特異性:Detected in liver (at protein level). Predominantly expressed in skeletal muscle. Intermediate levels in heart, liver and pancreas. Low in brain, placenta, lung and kidney.
-
數據庫鏈接:
Most popular with customers
-
-
YWHAB Recombinant Monoclonal Antibody
Applications: ELISA, WB, IHC, IF, FC
Species Reactivity: Human, Mouse, Rat
-
Phospho-YAP1 (S127) Recombinant Monoclonal Antibody
Applications: ELISA, WB, IHC
Species Reactivity: Human
-
-
-
-
-















