PPP2R3C Antibody
-
中文名稱:PPP2R3C兔多克隆抗體
-
貨號:CSB-PA836171ESR1HU
-
規格:¥440
-
圖片:
-
Western blot
All lanes: PPP2R3C antibody at 5.11 μg/ml
Lane 1: HepG2 whole cell lysate
Lane 2: Jurkat whole cell lysate
Lane 3: A549 whole cell lysate
Secondary
Goat polyclonal to rabbit IgG at 1/10000 dilution
Predicted band size: 54, 40 kDa
Observed band size: 54, 85, 45 kDa -
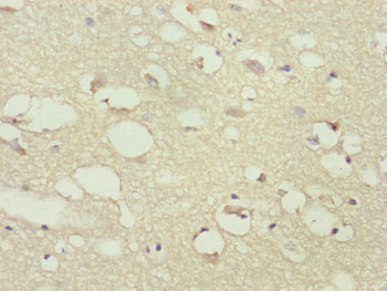
Immunohistochemistry of paraffin-embedded human brain tissue using CSB-PA836171ESR1HU at dilution of 1:100
-
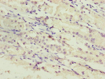
Immunohistochemistry of paraffin-embedded human gastric cancer using CSB-PA836171ESR1HU at dilution of 1:100
-
-
其他:
產品詳情
-
產品名稱:Rabbit anti-Homo sapiens (Human) PPP2R3C Polyclonal antibody
-
Uniprot No.:
-
基因名:
-
別名:C14orf10 antibody; Chromosome 14 open reading frame 10 antibody; G4-1 antibody; G5pr antibody; Hypothetical protein FLJ20644 antibody; P2R3C_HUMAN antibody; ppp2r3c antibody; protein phosphatase 2 (formerly 2A), regulatory subunit B'', gamma antibody; Protein phosphatase 2 regulatory subunit B''gamma antibody; protein phosphatase 2, regulatory subunit B'', gamma antibody; Protein phosphatase subunit G5PR antibody; rhabdomyosarcoma antigen MU-RMS-40.6A antibody; Rhabdomyosarcoma antigen MU-RMS-40.6A/6C antibody; rhabdomyosarcoma antigen Mu-RMS-40.6C antibody; serine/threonine-protein phosphatase 2A regulatory subunit B'' subunit gamma antibody
-
宿主:Rabbit
-
反應種屬:Human
-
免疫原:Recombinant Human Serine/threonine-protein phosphatase 2A regulatory subunit B\'\' subunit gamma protein (1-160AA)
-
免疫原種屬:Homo sapiens (Human)
-
標記方式:Non-conjugated
-
克隆類型:Polyclonal
-
抗體亞型:IgG
-
純化方式:Antigen Affinity Purified
-
濃度:It differs from different batches. Please contact us to confirm it.
-
保存緩沖液:PBS with 0.02% sodium azide, 50% glycerol, pH7.3.
-
產品提供形式:Liquid
-
應用范圍:ELISA, WB, IHC
-
推薦稀釋比:
Application Recommended Dilution WB 1:1000-1:5000 IHC 1:20-1:200 -
Protocols:
-
儲存條件:Upon receipt, store at -20°C or -80°C. Avoid repeated freeze.
-
貨期:Basically, we can dispatch the products out in 1-3 working days after receiving your orders. Delivery time maybe differs from different purchasing way or location, please kindly consult your local distributors for specific delivery time.
-
用途:For Research Use Only. Not for use in diagnostic or therapeutic procedures.
相關產品
靶點詳情
-
功能:May regulate MCM3AP phosphorylation through phosphatase recruitment. May act as a negative regulator of ABCB1 expression and function through the dephosphorylation of ABCB1 by TFPI2/PPP2R3C complex. May play a role in the activation-induced cell death of B-cells.
-
基因功能參考文獻:
- Knockdown of PP5 and/or PPP2R3C increased P-gp expression and lowered the sensitivity to vincristine and doxorubicin. Consequently, results indicate that PP5/PPP2R3C negatively regulates P-gp expression and function. PMID: 24333728
- G5PR expression is markedly augmented in the centrocytes of germinal centers after immunization of transgenic mice with T cell-dependent antigen. PMID: 22753944
-
亞細胞定位:Nucleus. Cytoplasm.
-
組織特異性:Ubiquitously expressed in brain and other tissues.
-
數據庫鏈接:
Most popular with customers
-
-
YWHAB Recombinant Monoclonal Antibody
Applications: ELISA, WB, IHC, IF, FC
Species Reactivity: Human, Mouse, Rat
-
-
-
-
-
-















