NDUFA9 Antibody
-
中文名稱:NDUFA9兔多克隆抗體
-
貨號:CSB-PA289822
-
規格:¥1100
-
圖片:
-
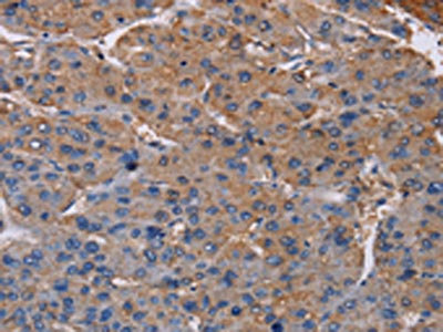
The image on the left is immunohistochemistry of paraffin-embedded Human liver cancer tissue using CSB-PA289822(NDUFA9 Antibody) at dilution 1/20, on the right is treated with fusion protein. (Original magnification: ×200)
-
Gel: 8%SDS-PAGE, Lysate: 40 μg, Lane: Hela cells, Primary antibody: CSB-PA289822(NDUFA9 Antibody) at dilution 1/400, Secondary antibody: Goat anti rabbit IgG at 1/8000 dilution, Exposure time: 1 minute
-
-
其他:
產品詳情
-
Uniprot No.:
-
基因名:
-
別名:CI-39kD antibody; Complex I subunit NDUFA9 antibody; Complex I-39kD antibody; mitochondrial antibody; NADH dehydrogenase [ubiquinone] 1 alpha subcomplex subunit 9 antibody; NADH dehydrogenase [ubiquinone] 1 alpha subcomplex subunit 9 mitochondrial antibody; NADH Ubiquinone Oxidoreductase 1 alpha subcomplex 9 antibody; NADH-ubiquinone oxidoreductase 39 kDa subunit antibody; NDUA9_HUMAN antibody; NDUFA9 antibody
-
宿主:Rabbit
-
反應種屬:Human,Mouse
-
免疫原:Fusion protein of Human NDUFA9
-
免疫原種屬:Homo sapiens (Human)
-
標記方式:Non-conjugated
-
抗體亞型:IgG
-
純化方式:Antigen affinity purification
-
濃度:It differs from different batches. Please contact us to confirm it.
-
保存緩沖液:-20°C, pH7.4 PBS, 0.05% NaN3, 40% Glycerol
-
產品提供形式:Liquid
-
應用范圍:ELISA,WB,IHC
-
推薦稀釋比:
Application Recommended Dilution ELISA 1:1000-1:2000 WB 1:200-1:1000 IHC 1:25-1:100 -
Protocols:
-
儲存條件:Upon receipt, store at -20°C or -80°C. Avoid repeated freeze.
-
貨期:Basically, we can dispatch the products out in 1-3 working days after receiving your orders. Delivery time maybe differs from different purchasing way or location, please kindly consult your local distributors for specific delivery time.
-
用途:For Research Use Only. Not for use in diagnostic or therapeutic procedures.
相關產品
靶點詳情
-
功能:Accessory subunit of the mitochondrial membrane respiratory chain NADH dehydrogenase (Complex I), that is believed not to be involved in catalysis. Required for proper complex I assembly. Complex I functions in the transfer of electrons from NADH to the respiratory chain. The immediate electron acceptor for the enzyme is believed to be ubiquinone.
-
基因功能參考文獻:
- NDUFA9 protein is essential for stabilizing the junction between membrane and matrix arms of complex I. PMID: 23223238
- A pathogenic mutation was found in the complex I subunit encoding the NDUFA9 gene, changing a highly conserved arginine at position 321 to proline PMID: 22114105
- Study identifies mitochondrial transit peptide and determines mature protein cleavage site in cow ortholog. PMID: 1832859
-
相關疾病:Leigh syndrome (LS)
-
亞細胞定位:Mitochondrion matrix.
-
蛋白家族:Complex I NDUFA9 subunit family
-
數據庫鏈接:
Most popular with customers
-
-
YWHAB Recombinant Monoclonal Antibody
Applications: ELISA, WB, IHC, IF, FC
Species Reactivity: Human, Mouse, Rat
-
Phospho-YAP1 (S127) Recombinant Monoclonal Antibody
Applications: ELISA, WB, IHC
Species Reactivity: Human
-
-
-
-
-















