IL5RA Antibody
-
中文名稱:IL5RA兔多克隆抗體
-
貨號:CSB-PA935849
-
規格:¥1100
-
圖片:
-
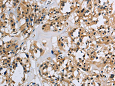
The image on the left is immunohistochemistry of paraffin-embedded Human thyroid cancer tissue using CSB-PA935849(IL5RA Antibody) at dilution 1/40, on the right is treated with synthetic peptide. (Original magnification: ×200)
-
The image on the left is immunohistochemistry of paraffin-embedded Human gastric cancer tissue using CSB-PA935849(IL5RA Antibody) at dilution 1/40, on the right is treated with synthetic peptide. (Original magnification: ×200)
-
Gel: 8%SDS-PAGE, Lysate: 40 μg, Lane: Mouse heart tissue, Primary antibody: CSB-PA935849(IL5RA Antibody) at dilution 1/550, Secondary antibody: Goat anti rabbit IgG at 1/8000 dilution, Exposure time: 3 minutes
-
-
其他:
產品詳情
-
Uniprot No.:
-
基因名:
-
別名:CD125 antibody; CD125 antigen antibody; CDw125 antibody; HSIL5R3 antibody; IL-5 receptor subunit alpha antibody; IL-5R subunit alpha antibody; IL-5R-alpha antibody; IL-5RA antibody; IL5R antibody; IL5RA antibody; IL5RA_HUMAN antibody; Interleukin 5 Receptor alpha antibody; Interleukin 5 Receptor alpha chain antibody; Interleukin 5 receptor alpha subunit antibody; Interleukin 5 receptor subunit alpha antibody; Interleukin 5 receptor type 3 antibody; Interleukin-5 receptor subunit alpha antibody; MGC26560 antibody
-
宿主:Rabbit
-
反應種屬:Human,Mouse
-
免疫原:Synthetic peptide of Human IL5RA
-
免疫原種屬:Homo sapiens (Human)
-
標記方式:Non-conjugated
-
抗體亞型:IgG
-
純化方式:Antigen affinity purification
-
濃度:It differs from different batches. Please contact us to confirm it.
-
保存緩沖液:-20°C, pH7.4 PBS, 0.05% NaN3, 40% Glycerol
-
產品提供形式:Liquid
-
應用范圍:ELISA,WB,IHC
-
推薦稀釋比:
Application Recommended Dilution ELISA 1:1000-1:2000 WB 1:200-1:1000 IHC 1:50-1:200 -
Protocols:
-
儲存條件:Upon receipt, store at -20°C or -80°C. Avoid repeated freeze.
-
貨期:Basically, we can dispatch the products out in 1-3 working days after receiving your orders. Delivery time maybe differs from different purchasing way or location, please kindly consult your local distributors for specific delivery time.
-
用途:For Research Use Only. Not for use in diagnostic or therapeutic procedures.
相關產品
靶點詳情
-
功能:This is the receptor for interleukin-5. The alpha chain binds to IL5.
-
基因功能參考文獻:
- Increased activation of B-cells is present following successful Tuberculosis treatment, and the expression of FASLG and IL5RA could potentially be utilized as a signature to monitor treatment response. PMID: 27682872
- Interleukin-5Ralpha-targeted treatments offer promises to patients with eosinophilic respiratory disorders; review PMID: 26859368
- This is the first study to show significant associations between IL5RA SNP rs17881144, the ATTAGA haplotype, the GTAGCA haplotype, and the GCTGCA haplotype and eczema. PMID: 25523412
- This is the first study to show significant associations between IL5RA SNP rs6771148, the ACTAGA haplotype, and the GTAGCA haplotype and the risk of rhinoconjunctivitis. PMID: 24332579
- The MDR analysis showed a potential interaction of C1GALT1-330G/T (rs1008898) and IL5RA31+197A/G (rs340833) on the susceptibility of IgAN (P<0.001). Gene-gene interaction may have some influence on the susceptibility to IgA nephropathy. PMID: 23190752
- These findings suggest that a functional polymorphism in IL5RA may contribute to eosinophil and mast cell activation along with specific IgE responses to staphylococcal enterotoxin A in aspirin-exacerbated respiratory disease patients. PMID: 23470716
- we determined the structure of IL-5 bound to the extracellular domain of IL-5Ralpha. PMID: 22153509
- IL-5Ralpha expression on eosinophils inversely correlated with eosinophilia and was significantly elevated in patients with systemic mastocytosis without eosinophilia PMID: 21762978
- Study of engineered deglycosylated IL-5 receptor alpha variant proves that unique carbohydrate groups in multiglycosylated receptors can be utilized asymmetrically for function. PMID: 21770429
- Polymorphisms in IL5RA, LPL, ITGA2 and NOS3 genes were independently associated with ischemic stroke in Chinese diabetic population. PMID: 21193198
- Increased serum level precedes the development of eczema in children PMID: 20735756
- findings indicate that retinoids can differentially regulate expression of IL-5Ralpha and that these effects have functional consequences in vitro on eosinophil and basophil differentiation PMID: 11842302
- findings are consistent with an airway tissue-selective expression of the IL-5 receptor that mediates IL-5-induced airway hyperresponsiveness independent of eosinophils PMID: 11897983
- expression of membrane IL-5Ralpha on bronchoalveolar lavage eosinophils following airway Ag challenge PMID: 12444154
- expression of membrane IL-5 receptor alpha on human eosinophils PMID: 12444155
- IL-5 receptor expression in cultured human eosinophils is downregulated by its ligand PMID: 12943658
- Our findings suggest that polymorphisms in IL5RA might be among the genetic risk factors for asthma development, especially in atopic populations. PMID: 16217591
- These data argue that the charged residues of AF17121 are utilized asymmetrically in the pathway of inhibitor-receptor complex formation to deactivate the receptor function PMID: 16430207
- These data establish a critical role for JAK kinases and the Ub/proteasome degradation pathway in IL-5R down-regulation. PMID: 17227823
- In chronic eosinophilic leukemia, there was a non-significant association between a SNP at rs4054760 and eosinophil count & IL5RA expression. There was no association with FIP1L1-PDGFRA positivity. PMID: 17914408
- The genetic association between CCR3 polymorphisms and the number of circulating eosinophils was revealed;it was more pronounced when the CCR3 polymorphisms were paired with polymorphisms in IL5RA. PMID: 17983872
- variants of IL5RA and TNFRSF6B may predispose to sporadic IgA nephropathy PMID: 18256354
- IL-5-induced effects on betac assembly in the presence of nontagged IL-5Ralpha provide direct evidence that IL-5 can cause higher order rearrangements of betac homo-oligomers PMID: 18326494
- IL-5Rs segregate and traffic into two distinct plasma membrane compartments, and establish that IL-5R endocytosis regulates signaling both positively and negatively. PMID: 18511572
- The expression of SOL-IL-5Ralpha and TM-IL-5Ralpha differs according to the eosinophil activation state and localization in the body (blood vs tissue) and may therefore be involved in the fine-tuning of the eosinophil homeostasis. PMID: 19170670
- Syntenin forms complexes with multiple IL-5Ralpha chains PMID: 19654410
顯示更多
收起更多
-
亞細胞定位:Membrane; Single-pass type I membrane protein.
-
蛋白家族:Type I cytokine receptor family, Type 5 subfamily
-
組織特異性:Expressed on eosinophils and basophils.
-
數據庫鏈接:
Most popular with customers
-
-
YWHAB Recombinant Monoclonal Antibody
Applications: ELISA, WB, IHC, IF, FC
Species Reactivity: Human, Mouse, Rat
-
-
-
-
-
-















