IFNG Antibody
-
中文名稱:IFNG兔多克隆抗體
-
貨號:CSB-PA995781
-
規格:¥1100
-
圖片:
-
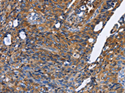
The image on the left is immunohistochemistry of paraffin-embedded Human cervical cancer tissue using CSB-PA995781(IFNG Antibody) at dilution 1/30, on the right is treated with fusion protein. (Original magnification: ×200)
-
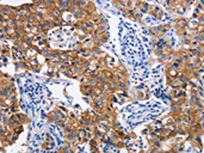
The image on the left is immunohistochemistry of paraffin-embedded Human lung cancer tissue using CSB-PA995781(IFNG Antibody) at dilution 1/30, on the right is treated with fusion protein. (Original magnification: ×200)
-
Gel: 12%SDS-PAGE, Lysate: 40 μg, Lane: Human fetal liver tissue, Primary antibody: CSB-PA995781(IFNG Antibody) at dilution 1/250 dilution, Secondary antibody: Goat anti rabbit IgG at 1/8000 dilution, Exposure time: 1 minute
-
-
其他:
產品詳情
-
Uniprot No.:
-
基因名:
-
別名:IF 1 antibody; IFG antibody; IFI antibody; IFN gamma antibody; IFN immune antibody; IFN, immune antibody; IFN-gamma antibody; IFNG antibody; IFNG_HUMAN antibody; Immune interferon antibody; Interferon gamma antibody; Type II Interferon antibody
-
宿主:Rabbit
-
反應種屬:Human
-
免疫原:Fusion protein of Human IFNG
-
免疫原種屬:Homo sapiens (Human)
-
標記方式:Non-conjugated
-
抗體亞型:IgG
-
純化方式:Antigen affinity purification
-
濃度:It differs from different batches. Please contact us to confirm it.
-
保存緩沖液:-20°C, pH7.4 PBS, 0.05% NaN3, 40% Glycerol
-
產品提供形式:Liquid
-
應用范圍:ELISA,WB,IHC
-
推薦稀釋比:
Application Recommended Dilution ELISA 1:1000-1:2000 WB 1:200-1:1000 IHC 1:25-1:100 -
Protocols:
-
儲存條件:Upon receipt, store at -20°C or -80°C. Avoid repeated freeze.
-
貨期:Basically, we can dispatch the products out in 1-3 working days after receiving your orders. Delivery time maybe differs from different purchasing way or location, please kindly consult your local distributors for specific delivery time.
-
用途:For Research Use Only. Not for use in diagnostic or therapeutic procedures.
相關產品
靶點詳情
-
功能:Type II interferon produced by immune cells such as T-cells and NK cells that plays crucial roles in antimicrobial, antiviral, and antitumor responses by activating effector immune cells and enhancing antigen presentation. Primarily signals through the JAK-STAT pathway after interaction with its receptor IFNGR1 to affect gene regulation. Upon IFNG binding, IFNGR1 intracellular domain opens out to allow association of downstream signaling components JAK2, JAK1 and STAT1, leading to STAT1 activation, nuclear translocation and transcription of IFNG-regulated genes. Many of the induced genes are transcription factors such as IRF1 that are able to further drive regulation of a next wave of transcription. Plays a role in class I antigen presentation pathway by inducing a replacement of catalytic proteasome subunits with immunoproteasome subunits. In turn, increases the quantity, quality, and repertoire of peptides for class I MHC loading. Increases the efficiency of peptide generation also by inducing the expression of activator PA28 that associates with the proteasome and alters its proteolytic cleavage preference. Up-regulates as well MHC II complexes on the cell surface by promoting expression of several key molecules such as cathepsins B/CTSB, H/CTSH, and L/CTSL. Participates in the regulation of hematopoietic stem cells during development and under homeostatic conditions by affecting their development, quiescence, and differentiation.
-
基因功能參考文獻:
- Impaired IFNgamma-Signaling and Mycobacterial Clearance in IFNgammaR1-Deficient Human iPSC-Derived Macrophages. PMID: 29249666
- High expression of IFNG is associated with breast cancer. PMID: 30336781
- results suggest, the interplay of pro-inflammatory cytokines IFN-gamma derived from CD4+T lymphocytes and TNF-alpha from CD14+ cells has no direct additive impact on parasite replication but induces IL-4 production. PMID: 29953494
- IFN-lambda may participate in local inflammation in the salivary glands of primary Sjogren's syndrome patients through direct and indirect regulations of the expressions of BAFF and CXCL10 in salivary gland epithelium. PMID: 28421993
- The expression of CXCL10 mRNA and IFN-gamma mRNA was significantly higher in non-lesional and perilesional skin of vitiligo and alopecia areata patients compared with the skin of healthy controls; however, the level of expression of CXCL10 and IFN-gamma in lesional skin was not different than that in healthy skin PMID: 27863059
- High IFNG expression is associated with Chronic Periodontitis. PMID: 30051674
- hypomethylation of the IFNG promoter is significantly related to the risk of essential hypertension PMID: 29643275
- These results demonstrated that the IFNGinduced immunosuppressive properties of B7H1 in human BM and WJMSCs were mediated by STAT1 signaling, and not by PI3K/RACalpha serine/threonineprotein kinase signaling PMID: 29901104
- serum IP-10 level and the IFN-gamma/IL-4 ratio have great potential to predict significant fibrosis among chronic hepatitis B patients. PMID: 28067328
- IFN-gamma increases free ISG15 levels in the cytoplasm and ISGylation in the nucleus and cytoplasm, but in a manner distinct between MCF-7 and MDA-MB-231cells. PMID: 29626479
- the expression of IFN-gamma and IL-17 was also suppressed by IRAK1/4 inhibitor both in active Behcet's patients and in normal subjects. PMID: 28780618
- IFNgamma induces a rapid activation of aerobic glycolysis followed by a reduction in oxidative phosphorylation in M1 macrophages. PMID: 29463472
- Results provide evidence that rs2069707 locus SNPs of IFN-gamma is a risk factor for contracting tuberculous pericarditis. PMID: 30017738
- No correlation was observed between interferon gamma mRNA/protein levels and recurrent depressive disorders. PMID: 29367100
- Aberrant IFN-gamma promoter methylation may be involved in the process of tumorigenesis of oral cancer. PMID: 28091876
- this study shows that elevated levels of interferon-gamma are associated with high levels of Epstein-Barr virus reactivation in patients with the intestinal type of gastric cancer PMID: 29349089
- This study contributes to clarification of the previously inconsistent prognostic performance of IFNgamma by providing the first prognostic evaluation with long follow-up, time-dependence assessment and absence of any chemotherapy influence. PMID: 29478965
- Association Between the Interferon Gamma 874 T/A Polymorphism and the Severity of Valvular Damage in Patients with Rheumatic Heart Disease. PMID: 29332266
- IFN-gamma can promote cancer immunoevasion. (Review) PMID: 29283429
- an electrophoretic mobility shift assay showed that signal transducers and activators of transcription 1 (STAT1) attach to the GAS motif on the human STING promoter region. This indicates that IFN-gamma/Janus kinases/STAT1 signaling is essential for the STING upregulation in human keratinocytes. PMID: 29143896
- we review the direct and indirect effects of IFN-gamma on hematopoiesis, as well as the underlying signaling mechanisms of how IFN-gamma modulates the self-renewal, cell cycle entry, and proliferation of hematopoietic stem cells PMID: 28852997
- IFN-gamma +874T allele may increase the risk of ocular lesions in Toxoplasma infection. The principle of natural selection seems to also play a role. The less common TNF-308A allelic form could be protective against the development of Toxoplasma ocular infection. PMID: 27081842
- this study shows the age-related reductions in serum and PBMC IFN-gamma in healthy nonobese subjects PMID: 28762199
- Phosphorylation of T-bet by RSK2 is required for IFNgamma expression for attenuation of colon cancer metastasis and growth. PMID: 29133416
- SNX8 mediates IFNG-triggered non-canonical signaling pathway and host defense against Listeria monocytogenes. PMID: 29180417
- the frequencies of IFNgamma and IL-17A(+) cells were increased in the antrum, particularly in patients with H. pylori induced gastric ulcers. PMID: 28683359
- rs2069718 in the IFNG gene was significantly associated with pulmonary tuberculosis but not spinal tuberculosis. PMID: 28867622
- IFN-gamma was associated with a cerebral volume reduction in systemic lupus erythematosus with central nervous system involvement PMID: 28848179
- Data suggest that semen exhibits substantial individual variation over time in pro-inflammatory seminal fluid cytokines IFNG and CXCL8. (IFNG = interferon gamma; CXCL8 = C-X-C motif chemokine ligand 8) PMID: 28541460
- Dysregulation of the IFN-gamma-STAT1 signaling pathway in a cell line model of large granular lymphocyte leukemia PMID: 29474442
- STAT1b plays a key role in enhancing the tumor suppressor function of STAT1a, in ESCC, in a manner that can be amplified by IFN-gamma PMID: 28981100
- epigenetic silencing by single CpG methylation determines differential IL18BP inducibility in monocytic versus epithelial cells. T PMID: 29409936
- Systemic IFN activation is associated with higher activity only in the ESSDAI biological domain but not in other domains or the total score. Our data raise the possibility that the ESSDAI biological domain score may be a more sensitive endpoint for trials targeting either IFN pathway. PMID: 29474655
- These findings suggest that IFN-a can inhibit HCV replication through a STAT2-dependent but STAT1-independent pathway, whereas IFN-g induces ISG expression and inhibits HCV replication exclusively through a STAT1- and STAT2-dependent pathway. PMID: 27929099
- rs1861493 and rs2430561 polymorphisms were conformed to be in HWE in genotypes distribution of the control group (P>0.05 for both). However, only TT genotype and T allele of rs2430561 presented significantly higher frequencies in Ankylosing Spondylitis patients than in healthy controls. IFN-g rs2430561 polymorphism may contribute to the risk of IFN-g rs2430561 polymorphism may contributhrough influencing IFN-g expression. PMID: 28843049
- Interactions among polymorphisms of IFN-gamma+874 AA, IL-2-330 TT, IL-10-1082 AA, IL10--592 AC and IL-4-589 CC/CT significantly influenced the clinical progression of the subjects with hepatitis B virus and/or hepatitis C virus infection. PMID: 28838891
- Ex vivo interferon-gamma production is a useful biomarker for assessing disease activity and predicting poor clinical outcomes of systemic lupus erythematosus patients. PMID: 28841837
- this study demonstrates reduced IFN-gamma production in chronic brucellosis patients PMID: 28919584
- These data suggest that the de novo expression of PDL1 on tumor cells is upregulated by IFN-g secreted from CD8+ TILs upon recognition of the tumor cells with an MHC class I molecule. PMID: 28791392
- H pylori expression of cgt reduces cholesterol levels in infected gastric epithelial cells and thereby blocks IFNG signaling, allowing the bacteria to escape the host inflammatory response. PMID: 29273450
- Strategies to block MICA-NKG2D interactions resulted in reductions in IFNgamma production. Depletion of monocytes in vivo resulted in decreased IFNgamma production by murine NK cells upon exposure to Ab-coated tumor cells PMID: 28724544
- study concluded that the IFN-gamma (874A/T) polymorphism is associated with the susceptibility to oral lichen planus PMID: 27544215
- IFN gamma induced upregulation of BCL6 was dependent on the classical STAT1 signaling pathway, and affected both major BCL6 variants. Interestingly, although IFN alpha induced stronger STAT1 phosphorylation than IFN gamma, it only slightly upregulated BCL6 in multiple myeloma lines. PMID: 29510136
- IFN-gamma, CXCL16 and uPAR are promising as effective biomarkers of disease activity, renal damage, and the activity of pathological lesions in systemic lupus erythematosus. PMID: 28628472
- serum levels of soluble FAS ligand (sFASL) and interferon gamma (IFN-gamma) were analyzed and correlated with sFGL2 levels in Hepatitis C Virus-Infected Patients and Hepatocellular Carcinoma Patients. PMID: 28609212
- IFN-gamma induces activated but insufficient autophagy and thus contributes to a degree to p62-dependent apoptosis of nasal epithelial cells in chronic rhinosinusitis with nasal polyps. PMID: 28258963
- results suggested that IFN-gamma induces autophagy-associated apoptosis in CRC cells via inducing cPLA2-dependent mitochondrial ROS production. PMID: 29551681
- Activated interferon-gamma-producing CD56(bright) NK cells are positioned to play a key role in the fibrotic process and progression to chronic kidney disease. PMID: 28396119
- Posttransplant immune monitoring by donor-specific IFN-gamma ELISPOT can assess risk for developing subclinical T-cell mediated rejection and anti-donor HLA antibodies. PMID: 28274484
- genetic polymorphism is not associated with increased susceptibility to chronic spontaneous urticaria in Iran PMID: 28159384
顯示更多
收起更多
-
相關疾病:Aplastic anemia (AA)
-
亞細胞定位:Secreted.
-
蛋白家族:Type II (or gamma) interferon family
-
組織特異性:Released primarily from activated T lymphocytes.
-
數據庫鏈接:















