CDKN2C Antibody
-
中文名稱:CDKN2C兔多克隆抗體
-
貨號:CSB-PA075339
-
規格:¥1100
-
圖片:
-
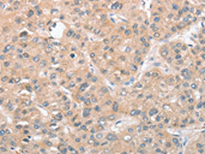
The image on the left is immunohistochemistry of paraffin-embedded Human thyroid cancer tissue using CSB-PA075339(CDKN2C Antibody) at dilution 1/25, on the right is treated with fusion protein. (Original magnification: ×200)
-
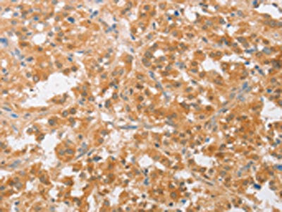
The image on the left is immunohistochemistry of paraffin-embedded Human liver cancer tissue using CSB-PA075339(CDKN2C Antibody) at dilution 1/25, on the right is treated with fusion protein. (Original magnification: ×200)
-
-
其他:
產品詳情
-
Uniprot No.:
-
基因名:
-
別名:CDK6 inhibitor p18 antibody; CDKN 2C antibody; CDKN 6 antibody; Cdkn2c antibody; CDKN6 antibody; CDN2C_HUMAN antibody; Cyclin dependent inhibitor antibody; Cyclin dependent kinase 4 inhibitor C antibody; Cyclin dependent kinase 6 inhibitor antibody; Cyclin dependent kinase 6 inhibitor p18 antibody; Cyclin dependent kinase inhibitor 2C (p18 inhibits CDK4) antibody; Cyclin dependent kinase inhibitor 2C antibody; Cyclin-dependent kinase 4 inhibitor C antibody; Cyclin-dependent kinase 6 inhibitor antibody; INK4C antibody; OTTHUMP00000046546 antibody; p18 antibody; p18 inhibits CDK4 antibody; p18 INK4c antibody; p18 INK6 antibody; p18-INK4c antibody; p18-INK6 antibody
-
宿主:Rabbit
-
反應種屬:Human,Mouse
-
免疫原:Fusion protein of Human CDKN2C
-
免疫原種屬:Homo sapiens (Human)
-
標記方式:Non-conjugated
-
抗體亞型:IgG
-
純化方式:Antigen affinity purification
-
濃度:It differs from different batches. Please contact us to confirm it.
-
保存緩沖液:-20°C, pH7.4 PBS, 0.05% NaN3, 40% Glycerol
-
產品提供形式:Liquid
-
應用范圍:ELISA,IHC
-
推薦稀釋比:
Application Recommended Dilution ELISA 1:1000-1:2000 IHC 1:25-1:100 -
Protocols:
-
儲存條件:Upon receipt, store at -20°C or -80°C. Avoid repeated freeze.
-
貨期:Basically, we can dispatch the products out in 1-3 working days after receiving your orders. Delivery time maybe differs from different purchasing way or location, please kindly consult your local distributors for specific delivery time.
-
用途:For Research Use Only. Not for use in diagnostic or therapeutic procedures.
相關產品
靶點詳情
-
功能:Interacts strongly with CDK6, weakly with CDK4. Inhibits cell growth and proliferation with a correlated dependence on endogenous retinoblastoma protein RB.
-
基因功能參考文獻:
- Low P18 expression is associated with multiple endocrine neoplasia type 1-related pancreatic neuroendocrine tumors. PMID: 29134609
- Cycling hypoxia could induce significant changes in CLDN1 and CLDN7 expression in nasopharyngeal cancer cells, indirectly regulation P18 expression and affecting cell invasion/proliferation. PMID: 28055967
- genetic association studies in population in Houston TX: Data suggest that CDKN2C copy number variations are associated with sporadic medullary thyroid carcinoma; these associations include presence of distant metastasis at presentation and decreased overall survival. PMID: 27610696
- CDKN2C gene deletion is associated with plasma cell post-transplantation lymphoproliferative disorders. PMID: 27750397
- Our study suggests that p18 is a limiting factor for the noncanonical HSC differentiation path in lymphoid lineages. PMID: 27287689
- CDKN2C inactivation contributes to the leukemogenesis in acute promyelocytic leukemia. PMID: 27888400
- DNA methyltransferase 3A promotes cell proliferation by silencing CDK inhibitor p18INK4C in gastric carcinogenesis PMID: 26350239
- Data suggest that cell cycle-dependent kinase inhibitors CDKN2C/p18 and CDKN1A/p21 facilitate cell cycle entry/cell proliferation of quiescent adult human pancreatic beta cells in primary culture (from tissues obtained from organ donors). PMID: 26740620
- Mutations in CDKN2C is associated with sporadic parathyroid adenoma. PMID: 24127162
- Analysis of B1a lymphocyte phenotypes of p18-deficient C57BL/6 mice finds that p18 is a key regulator of the size of the B1a cell pool. PMID: 22896639
- up-regulated HULC promotes proliferation of hepatoma cells through suppressing p18 PMID: 22685290
- Data indicate that the role of CDKN2C in the adverse outcome of cases with hemizygous deletion was less certain. PMID: 21994415
- results demonstrate for the first time that N-Myc is a downstream target of RET2A signaling, and propose that induction of N-Myc by RET2A is a key step leading to lower p18 levels during MEN2A tumorigenesis PMID: 21112821
- conclude that E2F proteins and Sp1 play an important role in the control of p18 expression PMID: 12077144
- Deletions in the CDKN2C locus and hypermethylation in the CDKN2C promoter region play a role in ovarian granulosa cell tumorogenesis. PMID: 12203782
- p18INK4c may function as a tumor suppressor in Hodgkin lymphoma, and inactivation may contribute to cell cycle deregulation and defective terminal differentiation of the Reed-Sternberg cells. PMID: 14645011
- protein kinase C promotes human cancer cell growth through downregulation of p18(INK4c) PMID: 15107819
- p18(INK4C) loss may contribute to medulloblastoma formation in children PMID: 16260494
- oncogenic RET and loss of p18 cooperate in the multistep tumorigenesis of medullary thyroid carcinoma PMID: 18316595
- NaBu-mediated p18( INK4C ) regulation played a role in cell cycle arrest and erythroid differentiation in K562 cells. PMID: 18642058
- deletions of CDKN2C are important in the progression and clinical outcome of myeloma PMID: 18829482
- P18 is a tumor suppressor gene involved in human medullary thyroid carcinoma and pheochromocytoma PMID: 18942719
- Purpose was to investigate genetic alterations of CDKN2C gene in 38 pituitary adenomas. The absence of CDKN2C protein was correlated with LOH of the CDKN2C locus on chromosome 1 and with methylation of the CDKN2C promoter. PMID: 18973139
- The down-regulation of p18(INK4C) expression may contribute to the tumorigenesis of pituitary adenomas. PMID: 19401813
- p18(INK4C) is a downstream target of GATA3, constrains luminal progenitor cell expansion, and suppresses luminal tumorigenesis in the mammary gland PMID: 19411068
- Results identified a molecular basis for CDK inhibitors to exert an antitumor effect in p18-deficient cancers and support the clinical use of CDK inhibitors. PMID: 19509251
顯示更多
收起更多
-
蛋白家族:CDKN2 cyclin-dependent kinase inhibitor family
-
組織特異性:Highest levels found in skeletal muscle. Also found in pancreas and heart.
-
數據庫鏈接:
Most popular with customers
-
-
YWHAB Recombinant Monoclonal Antibody
Applications: ELISA, WB, IHC, IF, FC
Species Reactivity: Human, Mouse, Rat
-
-
-
-
-
-















