STC1
STC1,全名為Stanniocalcin-1,別名STC,是一種分泌型同型二聚體糖蛋白,在多種組織中表達,可能具有自分泌或旁分泌功能。該蛋白在腎臟和腸道鈣和磷酸鹽轉運、細胞代謝或細胞鈣/磷酸鹽穩態的調節中發揮作用。研究表明,STC1蛋白的表達與乳腺癌的轉移、化療抵抗等病理參數相關性。在炎癥性腸病(如克羅恩病)中,STC1蛋白表達顯著增加,并在氧化應激誘導的細胞死亡和炎癥反應中起關鍵作用。此外,STC1蛋白還與肝細胞癌、卵巢癌和乳腺癌的發生發展相關。目前,針對STC1蛋白的藥物研發尚處于探索階段,但已有研究表明,抑制STC1蛋白的表達或活性可能成為治療這些疾病的新策略。
熱銷產品
Recombinant Human Stanniocalcin-1 (STC1), partial (CSB-EP022821HU1)
驗證數據
(Tris-Glycine gel) Discontinuous SDS-PAGE (reduced) with 5% enrichment gel and 15% separation gel.
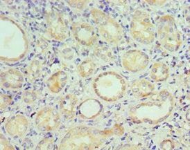
STC1 Antibody (CSB-PA022821ESR1HU)
驗證數據
Immunohistochemistry of paraffin-embedded human liver tissue using CSB-PA022821ESR1HU at dilution of 1:100
Immunohistochemistry of paraffin-embedded human kidney tissue using CSB-PA022821ESR1HU at dilution of 1:100
STC1 Antibodies
STC1 for Homo sapiens (Human)
| 產品貨號 | 產品名稱 | 種屬反應性 | 應用類型 |
|---|---|---|---|
| CSB-PA022821GA01HU | STC1 Antibody | Human,Mouse,Rat | ELISA,WB |
| CSB-PA022821ESR1HU | STC1 Antibody | Human | ELISA, IHC |
| CSB-PA631492 | STC1 Antibody | Human,Mouse,Rat | ELISA,IHC |
| CSB-PA09889A0Rb | STC1 Antibody | Human | ELISA, IHC |
| CSB-PA09889C0Rb | STC1 Antibody, FITC conjugated | Human | |
| CSB-PA09889B0Rb | STC1 Antibody, HRP conjugated | Human | ELISA |
STC1 Proteins
STC1 Proteins for Homo sapiens (Human)
| 產品貨號 | 產品名稱 | 來源 |
|---|---|---|
| CSB-YP022821HU CSB-EP022821HU CSB-BP022821HU CSB-MP022821HU CSB-EP022821HU-B |
Recombinant Human Stanniocalcin-1 (STC1) | Yeast E.coli Baculovirus Mammalian cell In Vivo Biotinylation in E.coli |
| CSB-EP022821HU1 | Recombinant Human Stanniocalcin-1 (STC1), partial | E.coli |
| CSB-EP022821HU1a2 | Recombinant Human Stanniocalcin-1 (STC1), partial | E.coli |
STC1 ELISA Kit
STC1 ELISA Kit for Homo sapiens (Human)
| 產品貨號 | 產品名稱 | 樣本類型 | 靈敏度 |
|---|---|---|---|
| CSB-EL022821HU | Human Stanniocalcin-1(STC1) ELISA kit | serum, plasma, tissue homogenates | 0.05 ng/ml. |






