RNF43
RNF43(環指蛋白43)是一種位于細胞膜表面的E3泛素連接酶,在調控Wnt信號通路中發揮關鍵作用。RNF43通過標記細胞膜上的Frizzled受體進行泛素化降解,從而抑制Wnt信號過度激活,維持細胞增殖與分化的平衡。RNF43基因突變常見于結直腸癌、子宮內膜癌及胰腺導管腺癌,尤其在微衛星不穩定型腫瘤中高頻出現,其功能缺失會導致Wnt/β-catenin通路持續活化,促進腫瘤發生。近年來針對RNF43突變腫瘤的治療策略取得進展,如Wnt抑制劑LGK974(PRI-724)已在臨床試驗中顯示對攜帶RNF43失活突變的胰腺癌患者具有潛在療效。基于CRISPR技術修復RNF43功能或聯合PARP抑制劑的新型療法也在探索中,為相關惡性腫瘤提供了精準治療方向。
熱銷產品
Recombinant Human E3 ubiquitin-protein ligase RNF43 (RNF43), partial (CSB-EP019892HU)
驗證數據
(Tris-Glycine gel) Discontinuous SDS-PAGE (reduced) with 5% enrichment gel and 15% separation gel.
RNF43 Antibody (CSB-PA019892LA01HU)
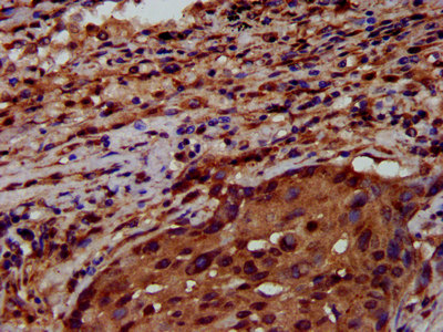
驗證數據
IHC image of CSB-PA019892LA01HU diluted at 1:600 and staining in paraffin-embedded human lung cancer performed on a Leica BondTM system. After dewaxing and hydration, antigen retrieval was mediated by high pressure in a citrate buffer (pH 6.0). Section was blocked with 10% normal goat serum 30min at RT. Then primary antibody (1% BSA) was incubated at 4°C overnight. The primary is detected by a biotinylated secondary antibody and visualized using an HRP conjugated SP system.
RNF43 Antibodies
RNF43 for Homo sapiens (Human)
| 產品貨號 | 產品名稱 | 種屬反應性 | 應用類型 |
|---|---|---|---|
| CSB-PA019892LA01HU | RNF43 Antibody | Human | ELISA, IHC |
| CSB-PA019892LB01HU | RNF43 Antibody, HRP conjugated | Human | ELISA |
| CSB-PA019892LC01HU | RNF43 Antibody, FITC conjugated | Human | |
| CSB-PA019892LD01HU | RNF43 Antibody, Biotin conjugated | Human | ELISA |
RNF43 Proteins
RNF43 Proteins for Homo sapiens (Human)
| 產品貨號 | 產品名稱 | 來源 |
|---|---|---|
| CSB-YP019892HU CSB-BP019892HU CSB-EP019892HU-B |
Recombinant Human RING finger protein 43 (RNF43), partial | Yeast Baculovirus In Vivo Biotinylation in E.coli |
| CSB-EP019892HU | Recombinant Human E3 ubiquitin-protein ligase RNF43 (RNF43), partial | E.coli |
RNF43 Proteins for Mus musculus (Mouse)
| 產品貨號 | 產品名稱 | 來源 |
|---|---|---|
| CSB-YP019892MO CSB-EP019892MO CSB-BP019892MO CSB-MP019892MO CSB-EP019892MO-B |
Recombinant Mouse E3 ubiquitin-protein ligase RNF43 (Rnf43), partial | Yeast E.coli Baculovirus Mammalian cell In Vivo Biotinylation in E.coli |






