NMT1
NMT1是一種N-肉豆蔻酰化酶,主要參與蛋白質的N-肉豆蔻酰化修飾過程。這種修飾對于蛋白質的定位和功能至關重要,能夠影響蛋白質在細胞內的分布以及與其他分子的相互作用。此外,NMT1已被發現在多種癌癥中過表達,與預后不良相關。研究表明,NMT1的過度表達可以促進腫瘤細胞的增殖和生長,因此被視為潛在的癌癥治療靶點。NMT1通過其N-肉豆蔻酰化活性參與調控多種信號轉導過程。
熱銷產品
驗證數據
Gel: 8%SDS-PAGE, Lysate: 40 μg, Lane: Human kidney tissue, Primary antibody: CSB-PA904948(NMT1 Antibody) at dilution 1/200, Secondary antibody: Goat anti rabbit IgG at 1/8000 dilution, Exposure time: 3 minutes
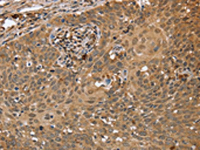
The image on the left is immunohistochemistry of paraffin-embedded Human ovarian cancer tissue using CSB-PA904948(NMT1 Antibody) at dilution 1/45, on the right is treated with synthetic peptide. (Original magnification: ×200)
The image on the left is immunohistochemistry of paraffin-embedded Human cervical cancer tissue using CSB-PA904948(NMT1 Antibody) at dilution 1/45, on the right is treated with synthetic peptide. (Original magnification: ×200)
NMT1 Antibodies
NMT1 for Homo sapiens (Human)
| 產品貨號 | 產品名稱 | 種屬反應性 | 應用類型 |
|---|---|---|---|
| CSB-PA015900GA01HU | NMT1 Antibody | Human,Mouse,Rat | ELISA,WB,IHC |
| CSB-PA557232 | NMT1 Antibody | Human,Mouse,Rat | ELISA,IHC |
| CSB-PA904948 | NMT1 Antibody | Human,Mouse,Rat | ELISA,WB,IHC |
| CSB-PA015900LA01HU | NMT1 Antibody | Human | ELISA, IHC |
| CSB-PA015900LB01HU | NMT1 Antibody, HRP conjugated | Human | ELISA |
| CSB-PA015900LC01HU | NMT1 Antibody, FITC conjugated | Human | |
| CSB-PA015900LD01HU | NMT1 Antibody, Biotin conjugated | Human | ELISA |
NMT1 Proteins
NMT1 Proteins for Homo sapiens (Human)
| 產品貨號 | 產品名稱 | 來源 |
|---|---|---|
| CSB-YP015900HU CSB-EP015900HU CSB-BP015900HU CSB-EP015900HU-B |
Recombinant Human Glycylpeptide N-tetradecanoyltransferase 1 (NMT1) | Yeast E.coli Baculovirus In Vivo Biotinylation in E.coli |






