IL18BP
IL18BP,即白介素18結合蛋白,別名IL-18受體結合蛋白、Tadekinig-alfa等。它是一種細胞因子,主要在免疫細胞上表達,如T細胞、B細胞和巨噬細胞等。IL18BP在免疫反應中發揮著調節作用,促進免疫細胞的活動,參與免疫反應的調節。其作用機制主要是通過與IL-18結合,影響IL-18的信號傳導,從而調節免疫細胞的生長和活化。IL18BP與腫瘤的發生和發展密切相關,其表達水平與多種腫瘤的進展和預后呈正相關,因此在腫瘤治療中具有潛在的應用價值。此外,IL18BP還可能作為藥物靶點或生物標志物,在醫學研究和臨床應用中具有廣泛的應用前景。
熱銷產品
Recombinant Human Interleukin-18-binding protein (IL18BP), partial (CSB-EP011609HU1)
驗證數據
(Tris-Glycine gel) Discontinuous SDS-PAGE (reduced) with 5% enrichment gel and 15% separation gel.
Based on the SEQUEST from database of E.coli host and target protein, the LC-MS/MS Analysis result of CSB-RP167394h could indicate that this peptide derived from E.coli-expressed Homo sapiens (Human) IL18BP.
Based on the SEQUEST from database of E.coli host and target protein, the LC-MS/MS Analysis result of CSB-RP167394h could indicate that this peptide derived from E.coli-expressed Homo sapiens (Human) IL18BP.
IL18BP Antibody (CSB-PA16739A0Rb)
驗證數據
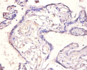
Immunohistochemistry of paraffin-embedded human placenta tissue using CSB-PA16739A0Rb at dilution of 1:100
IL18BP Antibodies
IL18BP for Homo sapiens (Human)
| 產品貨號 | 產品名稱 | 種屬反應性 | 應用類型 |
|---|---|---|---|
| CSB-PA16739A0Rb | IL18BP Antibody | Human | ELISA, IHC |
| CSB-PA16739D0Rb | IL18BP Antibody, Biotin conjugated | Human | ELISA |
| CSB-PA16739B0Rb | IL18BP Antibody, HRP conjugated | Human | ELISA |
| CSB-PA046670 | IL18BP Antibody | Human | ELISA,IHC |
IL18BP Proteins
IL18BP Proteins for Homo sapiens (Human)
| 產品貨號 | 產品名稱 | 來源 |
|---|---|---|
| CSB-YP011609HU CSB-EP011609HU CSB-BP011609HU CSB-MP011609HU CSB-EP011609HU-B |
Recombinant Human Interleukin-18-binding protein (IL18BP) | Yeast E.coli Baculovirus Mammalian cell In Vivo Biotinylation in E.coli |
| CSB-EP011609HU1 | Recombinant Human Interleukin-18-binding protein (IL18BP), partial | E.coli |
IL18BP ELISA Kit
IL18BP ELISA Kit for Homo sapiens (Human)
| 產品貨號 | 產品名稱 | 樣本類型 | 靈敏度 |
|---|---|---|---|
| CSB-E13687h | Human interleukin-18 binding prorein(IL-18BP) ELISA Kit | serum, plasma | 3.9 pg/ml |






