DPP3
DPP3,全稱為Dipeptidyl peptidase 3,是一種在多種組織中表達的酶,參與多種生理過程。DPP3蛋白的常見別名包括CD26和DPPII。DPP3蛋白主要通過水解連接兩個氨基酸的肽鍵來發揮作用,其底物包括多種生物活性肽,如血管緊張素轉換酶2 (ACE2) 產生的血管緊張素II和胰高血糖素樣肽-1 (GLP-1)。DPP3蛋白的活性受到多種因素調控,包括激素、細胞因子和生長因子等。DPP3蛋白的表達與多種疾病相關,如癌癥、心血管疾病和神經退行性疾病等。在癌癥中,DPP3蛋白的表達與腫瘤的生長、轉移和耐藥性相關。在心血管疾病中,DPP3蛋白的表達與高血壓和動脈粥樣硬化相關。在神經退行性疾病中,DPP3蛋白的表達與阿爾茨海默病和帕金森病相關。針對DPP3蛋白的藥物研發主要集中在抑制其活性或表達上。例如,一些小分子抑制劑可以阻止DPP3蛋白水解血管緊張素II,從而降低血壓。此外,一些藥物可以抑制DPP3蛋白的表達,從而減少其在腫瘤細胞中的活性。目前,一些針對DPP3蛋白的藥物已經進入臨床試驗階段,顯示出良好的治療效果。
熱銷產品
DPP3 Antibody (CSB-PA868352ESR2HU)
驗證數據
Western blot
All lanes: DPP3 antibody at 1.39µg/ml + MCF-7 whole cell lysate
Secondary
Goat polyclonal to rabbit IgG at 1/10000 dilution
Predicted band size: 83, 36, 70, 80 kDa
Observed band size: 83 kDa
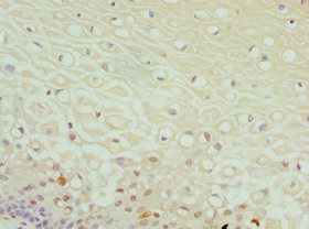
Immunohistochemistry of paraffin-embedded human cervical cancer using CSB-PA868352ESR2HU at dilution of 1:100
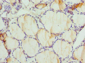
Immunohistochemistry of paraffin-embedded human thyroid tissue using CSB-PA868352ESR2HU at dilution of 1:100
DPP3 Antibodies
DPP3 for Homo sapiens (Human)
| 產品貨號 | 產品名稱 | 種屬反應性 | 應用類型 |
|---|---|---|---|
| CSB-PA007138GA01HU | DPP3 Antibody | Human,Mouse,Rat | ELISA |
| CSB-PA868352ESR2HU | DPP3 Antibody | Human | ELISA, WB, IHC |
DPP3 Proteins
DPP3 Proteins for Homo sapiens (Human)
| 產品貨號 | 產品名稱 | 來源 |
|---|---|---|
| CSB-YP868352HU CSB-EP868352HU CSB-BP868352HU CSB-MP868352HU CSB-EP868352HU-B |
Recombinant Human Dipeptidyl peptidase 3 (DPP3) | Yeast E.coli Baculovirus Mammalian cell In Vivo Biotinylation in E.coli |






