QKI Recombinant Monoclonal Antibody
-
中文名稱:QKI Recombinant Monoclonal Antibody
-
貨號:CSB-RA797567A0HU
-
規格:¥1320
-
圖片:
-
Flow cytometric analysis of QKI expression in C2C12 cells using QKI antibody. Green, isotype control; red, QKI.
-
Immunocytochemical staining of C2C12 cells with QKI antibody. Nuclei were stained blue with DAPI; QKI was stained magenta with Alexa Fluor? 647. Images were taken using Leica stellaris 5. Protein abundance based on laser Intensity and smart gain: Medium. Scale bar, 20 μm.
-
Immunohistochemistry was performed on paraffin-embedded human glioblastoma using QKI antibody. Antigen retrieval was done in sodium citrate buffer (pH 6.0). DAB was used for detection, with hematoxylin counterstaining. Images were acquired using a Nikon Ci-L Plus microscope (40× objective). Scale bar: 25 μm.
-
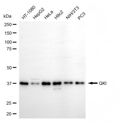
Western blotting analysis using QKI antibody. Total cell lysates (30 μg) from various cell lines were loaded and separated by SDS-PAGE. The blot was incubated with QKI antibody and HRP-conjugated goat anti-rabbit secondary antibody respectively.
-
-
其他:
產品詳情
-
Uniprot No.:
-
基因名:QKI
-
別名:QKI; QKI, KH Domain Containing RNA Binding; QK3; KH Domain-Containing RNA-Binding Protein QKI; HqkI; Hqk; Homolog Of Mouse Quaking QKI (KH Domain RNA Binding Protein); Quaking Homolog, KH Domain RNA Binding (Mouse); Quaking Homolog, KH Domain RNA Binding; QKI/LOC100132735 Fusion; RNA Binding Protein HQK; Protein Quaking; QK1; HKQ; QK
-
反應種屬:Human, Mouse, Rat
-
免疫原:Recombinant Human QKI protein
-
免疫原種屬:Homo sapiens (Human)
-
標記方式:Non-conjugated
-
克隆類型:Monoclonal
-
抗體亞型:Rabbit IgG
-
純化方式:Affinity-chromatography
-
克隆號:16B1
-
濃度:It differs from different batches. Please contact us to confirm it.
-
保存緩沖液:Rabbit IgG in PBS (pH 7.4) containing 50% glycerol, and 0.02% sodium azide.
-
產品提供形式:Liquid
-
應用范圍:ELISA, WB, FC, ICC, IHC
-
推薦稀釋比:
Application Recommended Dilution WB 1:1000-1:5000 FC 1:200-1:2000 ICC 1:100-1:1000 IHC 1:100-1:200 -
Protocols:
-
儲存條件:Upon receipt, store at -20°C or -80°C. Avoid repeated freeze.
-
貨期:Basically, we can dispatch the products out in 1-3 working days after receiving your orders. Delivery time maybe differs from different purchasing way or location, please kindly consult your local distributors for specific delivery time.
-
用途:For Research Use Only. Not for use in diagnostic or therapeutic procedures.
相關產品
靶點詳情
-
功能:RNA-binding protein that plays a central role in myelinization. Binds to the 5'-NACUAAY-N(1,20)-UAAY-3' RNA core sequence. Regulates target mRNA stability. In addition, acts by regulating pre-mRNA splicing, mRNA export and protein translation. Required to protect and promote stability of mRNAs such as MBP and CDKN1B. Regulator of oligodendrocyte differentiation and maturation in the brain that may play a role in myelin and oligodendrocyte dysfunction in schizophrenia. Participates in mRNA transport by regulating the nuclear export of MBP mRNA. Also involved in regulation of mRNA splicing of MAG pre-mRNA. Acts as a translational repressor.
-
基因功能參考文獻:
- Study examined if QKI6B expression can predict the outcome of GFAP, and several oligodendrocyte-related genes, in the prefrontal cortex of brain samples of schizophrenic individuals. QKI6B significantly predicts the expression of GFAP, but does not predict oligodendrocyte-related gene outcome, as previously seen with other QKI isoforms. PMID: 28552414
- The results of this study have found an upregulation of QKI and its isoforms (QKI5, QKI6 and QKI7) in Sporadic Alzheimer's Disease patients compared to controls PMID: 27163826
- QKI5 could inhibit gastric cancer cell proliferation, migration, and invasion in vitro and in vivo, which might be due to the altered splicing pattern of macroH2A1 pre-mRNA, leading to the accumulation of macroH2A1.1 isoform. PMID: 27092877
- several splicing variants with functional relevance in lung cancer largely regulated by the splicing factor QKI, were identified. PMID: 27555542
- QKI underexpression is associated with glioma. PMID: 27841882
- Our results demonstrate that miR-143-3p acts as a tumor-suppressor by targeting QKI-5 in ESCC, suggesting that miR-143-3p is a potential therapy for the treatment of ESCC. PMID: 27358073
- Methylation of the QKI promoter and concomitant reduced expression of QKI mRNA may be important for CRC initiation and progression. PMID: 28179294
- quaking is essential in maintaining endothelial barrier function. PMID: 26905650
- QKI-7 recruits PAPD4 to regulate post-transcriptional polyadenylation of target mRNAs. PMID: 26926106
- QKI has a role in posttranscriptionally guiding macrophage identity and function. PMID: 27029405
- MYB-QKI rearrangements promote tumorigenesis through three mechanisms: MYB activation by truncation, enhancer translocation driving aberrant MYB-QKI expression and hemizygous loss of the tumor suppressor QKI PMID: 26829751
- Data implicate QKI in the pathophysiology of inflammation and leukemoogenesis where miR-155 is involved. PMID: 26337206
- miR-155 regulates the cell cycle and invasion ability of colon cancer cells via the modulation of QKI expression PMID: 25420938
- miR-29a promotes scavenger receptor A expression by targeting QKI during monocyte-macrophage differentiation. PMID: 26056009
- QKI is a novel Cancer stem cells (CSC) inhibitor and impaired multiple oral CSC properties via partial repression of SOX2. PMID: 24918581
- Using circScreen, study identified the RNA binding protein Quaking (QKI) as a major regulator of circRNA biogenesis in epithelial-mesenchymal transition (EMT) and show that introduction of consensus binding sequences for QKI into the flanking introns is sufficient to cause circRNAs to be produced from exons that normally only undergo canonical linear splicing. PMID: 25768908
- QKI as a key regulator of alternative splicing in lung cancer. PMID: 24722255
- QKI-mediated repression of FOXO1 may be one of the factors contributing to the oncogenesis and progression of breast carcinoma. PMID: 24398626
- the QKI-5 expression may be a novel, independent factor in the prognosis of prostate cancer patients. PMID: 24153116
- Propose that QKI is a central regulator of VSMC phenotypic plasticity and that intervention in QKI activity can ameliorate pathogenic, fibroproliferative responses to vascular injury. PMID: 23963726
- Data showed that like QKI5/6/7 proteins, QKI7b protein was also significantly downregulated in most human colorectal cancer tissues. PMID: 23440637
- QKI is a hub regulator of glia function in humans. PMID: 23321059
- This work provides the first evidence that QK is a global regulator of splicing during muscle development in vertebrates and shows how overlapping splicing regulatory networks contribute to gene expression programs during differentiation. PMID: 23525800
- Findings suggest that miR-574-5p is a potent ribo-regulator for Qkis and that aberrant miR-574-5p upregulation can be oncogenic. PMID: 22490519
- The RNA-binding protein QKI5 is a direct target of C/EBPalpha and delays macrophage differentiation. PMID: 22398723
- establish that p53 directly regulates Quaking (QKI) gene expression, and QKI protein associates with and leads to the stabilization of miR-20a PMID: 22751500
- Multivariate analysis showed QKI expression was an independent prognostic factor for patient survival. PMID: 22569043
- The QKI RNA-binding proteins regulate oligodendrocyte differentiation by modulating the expression of AIP-1. PMID: 20631256
- E2F1 directly transcribes QKI, which, in turn, negatively regulates the cell cycle by targeting multiple cell cycle regulators, forming an E2F1-QKI-pRb/E2F1 negative feedback loop. PMID: 21768773
- QKI, regulates the alternative splicing of macroH2A1 pre-mRNA, resulting in increased levels of macroH2A1.1. PMID: 21844227
- HSV-1 infection promotes quaking RNA binding protein production and induces nuclear-cytoplasmic shuttling of quaking I-5 isoform in human hepatoma cells PMID: 21467216
- QKI-7 regulates expression of interferon-related genes in human astrocyte glioma cells. PMID: 20927331
- QKI functions as a principal regulator in the differentiation of colon epithelium and a suppressor of carcinogenesis through coordinately targeting multiple genes associated with cell growth and differentiation PMID: 19686745
- QKI as a possible target for functional studies related to the role of myelination in schizophrenia. PMID: 16342280
- QKI levels may regulate oligodendrocyte differentiation and maturation in human brain PMID: 16641098
- Since QKI plays a fundamental role in oligodendrocyte differentiation and in myelination, its underexpression may be pivotal to, and upstream of, other myelin-associated gene expression abnormalities in schizophrenia. PMID: 17012699
- QKI-6 is the major protein isoform responsible for central nervous system (CNS) myelination, which promotes myelin basic protein expression in oligodendrocytes. PMID: 17079655
- biological functions attributed to this KH-type RNA binding protein and the recent achievements linking it to human disorders PMID: 17787018
- we examined expression of QKI and several putative mRNA targets of QKI in human PFC and hippocampus at different ages PMID: 17918747
- variants within the promoter region of QKI gene are unlikely to play a major role in susceptibility to schizophrenia in the Chinese population PMID: 18938205
- The observation of consistent reductions in multiple isoforms of QKI mRNA in depressed suicide victims supports the growing body of evidence for a role of myelination-related deficits in the etiology of psychiatric disorders PMID: 19545858
- There are many isoforms of this RNA binding protein. QKI-6 has been shown to be a translational repressor. PMID: 10535969
顯示更多
收起更多
-
亞細胞定位:Nucleus. Cytoplasm.
-
組織特異性:Expressed in the frontal cortex of brain. Down-regulated in the brain of schizophrenic patients.
-
數據庫鏈接:
Most popular with customers
-
-
YWHAB Recombinant Monoclonal Antibody
Applications: ELISA, WB, IHC, IF, FC
Species Reactivity: Human, Mouse, Rat
-
Phospho-YAP1 (S127) Recombinant Monoclonal Antibody
Applications: ELISA, WB, IHC
Species Reactivity: Human
-
-
-
-
-















