CFL1 Recombinant Monoclonal Antibody
-
中文名稱:CFL1 Recombinant Monoclonal Antibody
-
貨號:CSB-RA912925A0HU
-
規格:¥1320
-
圖片:
-
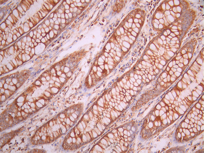
IHC image of CSB-RA912925A0HU diluted at 1:100 and staining in paraffin-embedded human colorectal cancer performed on a Leica BondTM system. After dewaxing and hydration, antigen retrieval was mediated by high pressure in a citrate buffer (pH 6.0). Section was blocked with 10% normal goat serum 30min at RT. Then primary antibody (1% BSA) was incubated at 4°C overnight. The primary is detected by a Goat anti-rabbit polymer IgG labeled by HRP and visualized using 0.05% DAB.
-
-
其他:
產品詳情
-
Uniprot No.:
-
基因名:
-
別名:18 kDa phosphoprotein antibody; CFL 1 antibody; CFL antibody; CFL1 antibody; COF1_HUMAN antibody; Cofilin 1 antibody; Cofilin 1 non muscle antibody; Cofilin antibody; Cofilin non muscle isoform antibody; Cofilin-1 antibody; epididymis secretory protein Li 15 antibody; HEL-S-15 antibody; non-muscle isoform antibody; p18 antibody
-
反應種屬:Human
-
免疫原:A synthesized peptide from human CFL1 protein
-
免疫原種屬:Homo sapiens (Human)
-
標記方式:Non-conjugated
-
克隆類型:Monoclonal
-
抗體亞型:Rabbit IgG
-
純化方式:Affinity-chromatography
-
克隆號:22A1
-
濃度:It differs from different batches. Please contact us to confirm it.
-
保存緩沖液:Rabbit IgG in 10mM phosphate buffered saline , pH 7.4, 150mM sodium chloride, 0.05% BSA, 0.02% sodium azide and 50% glycerol.
-
產品提供形式:Liquid
-
應用范圍:ELISA, IHC
-
推薦稀釋比:
Application Recommended Dilution IHC 1:50-1:200 -
Protocols:
-
儲存條件:Upon receipt, store at -20°C or -80°C. Avoid repeated freeze.
-
貨期:Basically, we can dispatch the products out in 1-3 working days after receiving your orders. Delivery time maybe differs from different purchasing way or location, please kindly consult your local distributors for specific delivery time.
-
用途:For Research Use Only. Not for use in diagnostic or therapeutic procedures.
相關產品
靶點詳情
-
功能:Binds to F-actin and exhibits pH-sensitive F-actin depolymerizing activity. In conjunction with the subcortical maternal complex (SCMC), plays an essential role for zygotes to progress beyond the first embryonic cell divisions via regulation of actin dynamics. Required for the centralization of the mitotic spindle and symmetric division of zygotes. Plays a role in the regulation of cell morphology and cytoskeletal organization in epithelial cells. Required for the up-regulation of atypical chemokine receptor ACKR2 from endosomal compartment to cell membrane, increasing its efficiency in chemokine uptake and degradation. Required for neural tube morphogenesis and neural crest cell migration.
-
基因功能參考文獻:
- In conclusion, deregulation of cytoskeleton dynamics through TESK1/CFL1 pathway underlies epithelial intestinal dysfunction in the small bowel mucosa of diarrhea-predominant irritable bowel syndrome, particularly in female patients. PMID: 29396473
- High CFL1 expression is associated with malignant pancreatic lesions. PMID: 29347944
- High CFL1 expression is associated with epithelial-mesenchymal transition of gastric cancer. PMID: 28388575
- Cofilin-1 plays a dominant role in angiotensin-(1-7)-induced G0/G1 arrest and autophagy to maintain cellular homeostasis in human aortic endothelial cells PMID: 27748441
- NKCC1 not only controls cell volume and Cl- concentration, but it can also regulate the actin cytoskeleton through Cofilin 1. PMID: 28679472
- The enhancement of cancer cells invasion is dependent on CFL1, a known regulator of invadopodia maturation. PMID: 28446539
- The present study demonstrates that miR-145 plays an important role in inhibiting cell migration by directly targeting PAK4, and identifies miR-145-PAK4-LIMK1-cofilin as a novel regulatory pathway that contributed to colorectal cancer metastasis. PMID: 28440035
- Our results revealed that CKS1 is involved in normal glutamatergic synapse development and dendritic spine maturation in adult hippocampus through modulating p27 stability. PMID: 28365778
- Our study indicates that Cofilin 1 holds an important position in the development and progression of human bladder cancer PMID: 27768223
- Results suggest that the immune-complex (IC) of cofilin-1 in sera is a potentially attractive serum biomarker for the prognosis of pancreatic ductal adenocarcinoma (PDAC). PMID: 28161904
- High cofilin expression is associated with adrenocortical tumor. PMID: 28826686
- In advance urothelial cancer, overexpression of nuclear cofilin correlates with bladder cancer progression. PMID: 27402302
- Report structural basis for noncanonical substrate recognition of cofilin-1/LIMK1 to regulation actin cytoskeleton dynamics. PMID: 27153537
- STMN1,COF1 and PAIRBP1 thus represent proteins associated with proliferative and aggressive tumors of high grades, while TSP2 and POSTN were connected to low grade tumors with better prognosis PMID: 28216224
- We observed marked increases in LIM kinase 2 (LIMK2) and cofilin 1 (CFL1) gene expressions in metabolic syndrome patients. PMID: 26956845
- Therefore, miR-138/LIMK1/cofilin may be considered a potential therapeutic target for the treatment of non-small cell lung cancer PMID: 27665963
- These findings indicate that inhibition of the Rac1WAVE2Arp2/3 signaling pathway may promote radiosensitivity, which may partially result from the downregulation of CFL1 in U251 human glioma cells. PMID: 27052944
- The present findings demonstrated that the anticancer effect of docetaxel induces the apoptosis of prostate cancer via the suppression of the cofilin1 and paxillin signaling pathways, which will assist in setting a stage for the clinical treatment of prostate cancer. PMID: 27035282
- VEGFA induced phosphorylation of Pak1 and its effector cofilin in a manner that was dependent on time as well as p38MAPKbeta. PMID: 26857814
- CFL1 itself does not translocate actin into the cell nucleus but this transport requires the functional expression of IPO9. PMID: 26934847
- Abnormal CFL1 expression may affect vulvar carcinogenesis and subsequent progression. PMID: 26936386
- PAK1-cofilin phosphorylation mechanism to mediate lung adenocarcinoma cells migration promoted by apelin-13 PMID: 26918678
- Progesterone (P4) increases human astrocytoma cells migration and invasion through its intracellular receptor, and that cofilin activation by P4 is independent of progesterone receptor action. PMID: 26639431
- the presence of the actin-severing protein, cofilin, in human sperm, is reported. PMID: 26085344
- Aurora kinase A has a role in inducing papillary thyroid cancer lymph node metastasis by promoting cofilin-1 activity PMID: 27003257
- analysis of human Cof1, Cof2, and ADF effects on actin filament severing and turnover PMID: 26996939
- Cofilin 1 activation prevents the defects in axon elongation and guidance induced by extracellular alpha-synuclein PMID: 26558842
- novel roles for actin-depolymerizing factor and cofilin-1 in regulating the remodeling and permeability of epithelial junctions PMID: 26878213
- cofilin1 is involved in hypertensive nephropathy by modulating the nuclear translocation of NF-kappaB and the expression of its downstream inflammatory factors in renal tubular epithelial cells PMID: 26450610
- Cofilin-1 and transgelin may play roles in the carcinogenesis and development of esophageal squamous cell carcinoma PMID: 26344167
- results demonstrate that in VSMCs mechanical stimulation activates cofilin by a Nox4-dependent mechanism and that this pathway is required for cytoskeleton reorganization and cell reorientation PMID: 25998423
- Cor1B, Cof1 and AIP1 work in concert through a temporally ordered pathway to induce highly efficient severing and disassembly of actin filaments. PMID: 25995115
- the results of the present study suggested that miR-429 inhibits the migration and invasion of colon cancer cells, partly at least, by mediating the expression of PAK6, as well as the activity of cofilin signaling PMID: 26058485
- These results indicated that cofilin might be involved in the modulation of Aspergillus fumigatus internalization into type II alveolar epithelial cells through the RhoA-ROCK-LIM kinase pathway. PMID: 26268695
- Increasing radiosensitivity with the downregulation of cofilin-1 in U251 human glioma cells PMID: 25529407
- estradiol-17beta (E2beta) stimulates S-nitrosylation of CFL1 via eNOS-derived nitric oxide. PMID: 25635941
- Chronophin has a role in coordinating cell leading edge dynamics by controlling active cofilin levels PMID: 26324884
- cofilin-1 quantification in clinical samples in combination with presence/absence of EGFR mutation could be used to select patients that would benefit from TKI's treatment. PMID: 25784483
- Actin-modulating protein cofilin is involved in the formation of measles virus ribonucleoprotein complex at the perinuclear region. PMID: 26269174
- Novel signaling pathway consisting of chemoattractant GPCR/Galphai protein, PLC, PKCbeta and PKDs that regulates SSH2/cofilin activity, F-actin polymerization and directional assembly of actin cytoskeleton in neutrophil chemotaxis was identified. PMID: 25568344
- Overexpression of wt-cofilin-1 inhibited VEGF-induced F-actin formation PMID: 25056928
- Data indicate that knockdown of let-7b or let-7e could recover the growth rate and the invasion of cofilin-1 over-expressing cells. PMID: 25597880
- High-speed atomic force microscopy was employed to observe structural changes in actin filaments induced by cofilin binding. PMID: 25642645
- Data indicate that gamma-secretase is a negative regulator of Cofilin 1 activation. PMID: 25315299
- Actin filament severing by vertebrate cofilin is driven by the linked dissociation of a single, site-specific cation that controls filament structure and mechanical properties, and that filament severing is an essential function of cofilin in cells. PMID: 25468977
- ERK5 acted in concert with the actin remodeling protein, CFL1, and upon hormone exposure, both localized to active nuclear transcriptional hubs. PMID: 24505128
- We have also defined in the actin-binding protein cofilin-1 a link between PP2A, actin cytoskeleton, and necrotic death PMID: 25096578
- It provides a brief overview of the current knowledge about the central role of cofilin/actin rods formation, where its dysregulation and malfunction might be the trigger to neurodegeneration. PMID: 24813767
- Brain phosphorylated cofilin is downregulated in transgenic mice by RanBP9 overexpression, accelerating amyloid plaque accumulation. PMID: 24254706
- The CFL-1-dependent recruitment of actin to SPCA1 following calcium influx is critical for secretory cargo sorting. PMID: 25179631
顯示更多
收起更多
-
亞細胞定位:Nucleus matrix. Cytoplasm, cytoskeleton. Cell projection, ruffle membrane; Peripheral membrane protein; Cytoplasmic side. Cell projection, lamellipodium membrane; Peripheral membrane protein; Cytoplasmic side. Cell projection, lamellipodium. Note=Colocalizes with the actin cytoskeleton in membrane ruffles and lamellipodia. Detected at the cleavage furrow and contractile ring during cytokinesis. Almost completely in nucleus in cells exposed to heat shock or 10% dimethyl sulfoxide.
-
蛋白家族:Actin-binding proteins ADF family
-
組織特異性:Widely distributed in various tissues.
-
數據庫鏈接:
Most popular with customers
-
-
YWHAB Recombinant Monoclonal Antibody
Applications: ELISA, WB, IHC, IF, FC
Species Reactivity: Human, Mouse, Rat
-
Phospho-YAP1 (S127) Recombinant Monoclonal Antibody
Applications: ELISA, WB, IHC
Species Reactivity: Human
-
-
-
-
-















